pin-up Опубликовано 21 мая, 2017 Поделиться Опубликовано 21 мая, 2017 (изменено) Здравствуйте!С зубами мне не везет. Врач три года назад сделал пломбу ( 4-ка), стала замечать что зуб ноет время от времени. Сделала рентген, мой стоматолог сказал, что нужно перелечивать и нерв уже не спасти. Это меня очень расстроило, так как мне 28 лет, а зубы уже латаные перелатаные и два отсутствуют. Поэтому хочу спросить мнение других специалистов, есть ли у меня хоть какой -то шанс спасти нерв зуба? Изменено 21 мая, 2017 пользователем pin-up Ссылка на комментарий
dok1 Опубликовано 22 мая, 2017 Поделиться Опубликовано 22 мая, 2017 Ваш доктор прав. Нужно вмешиваться. Ссылка на комментарий
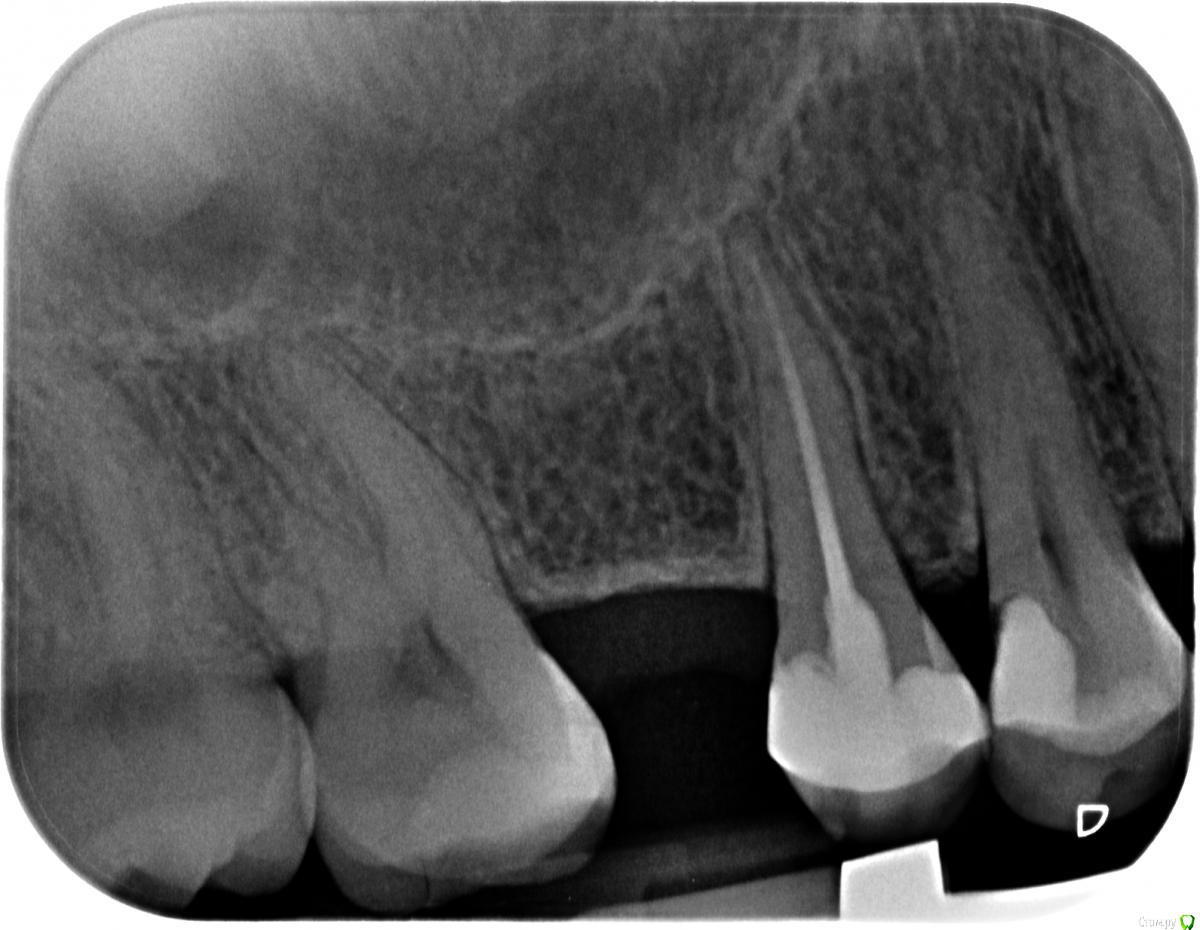
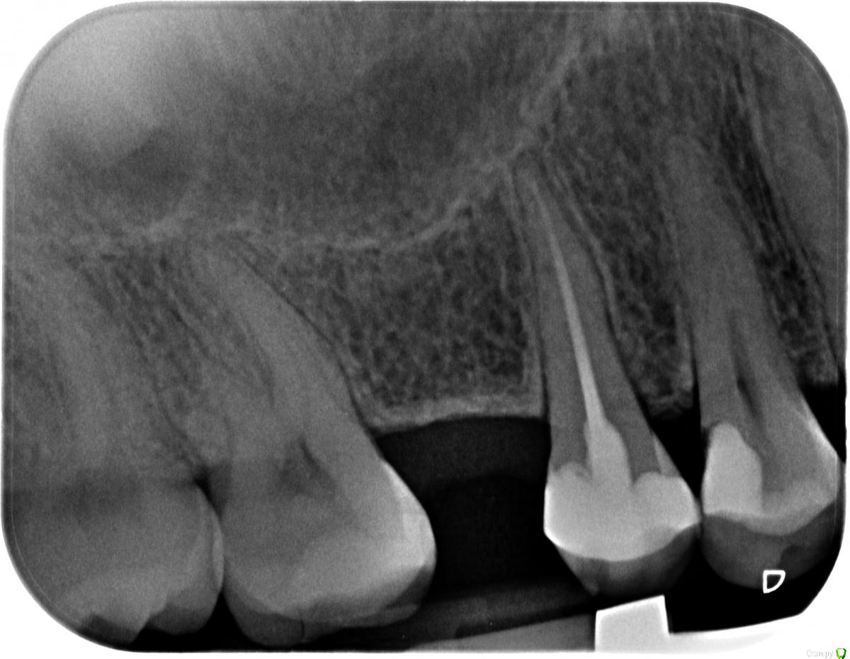
Zlata-doctor Опубликовано 22 мая, 2017 Поделиться Опубликовано 22 мая, 2017 Я бы не была столь категорична. Клинически обследовать 4. Разобраться с 5-может быть он беспокоит. Удалить эту дефектную пломбу на 4. Тогда в совокупности окончательно и решить. Но вы должны понимать, что вероятность эндодонтического лечения очень высока. Ссылка на комментарий
DmitrySH Опубликовано 22 мая, 2017 Поделиться Опубликовано 22 мая, 2017 Да, пломбу на 4-том зубе точно надо переделывать. И разбираться какой беспокоит. В 5-том тоже не все благополучно на снимке Ссылка на комментарий
pin-up Опубликовано 25 мая, 2017 Автор Поделиться Опубликовано 25 мая, 2017 Скажите, а вокруг пломбы на четвертом зубе есть затемнение, это кариес? Ссылка на комментарий
DmitrySH Опубликовано 25 мая, 2017 Поделиться Опубликовано 25 мая, 2017 Скажите, а вокруг пломбы на четвертом зубе есть затемнение, это кариес? Возможно.На границе под десной точно разрушается Ссылка на комментарий
Рекомендуемые сообщения
Для публикации сообщений создайте учётную запись или авторизуйтесь
Вы должны быть пользователем, чтобы оставить комментарий
Создать аккаунт
Зарегистрируйте новый аккаунт в нашем сообществе. Это очень просто!
Регистрация нового пользователяВойти
Уже есть аккаунт? Войти в систему.
Войти