Перейти к содержанию
Стоматология для всех

Третий класс и минимум опоры


Opdihatop

Рекомендуемые сообщения

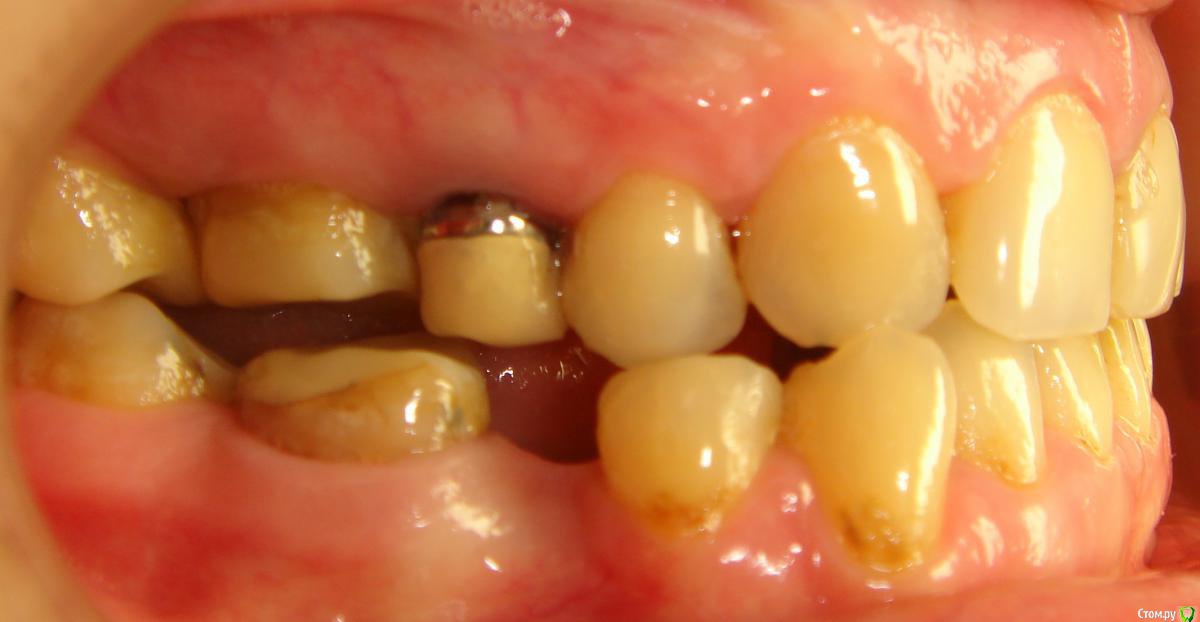
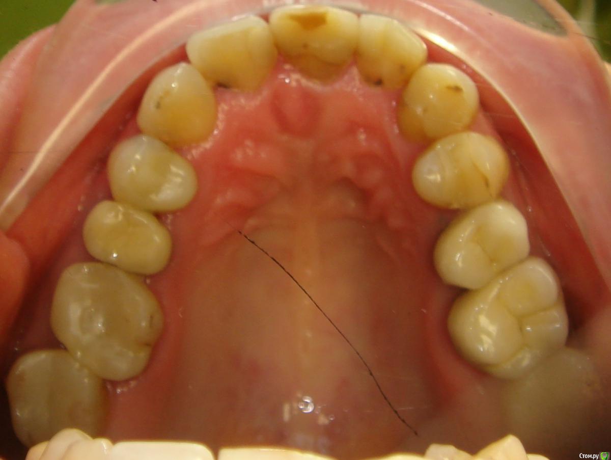
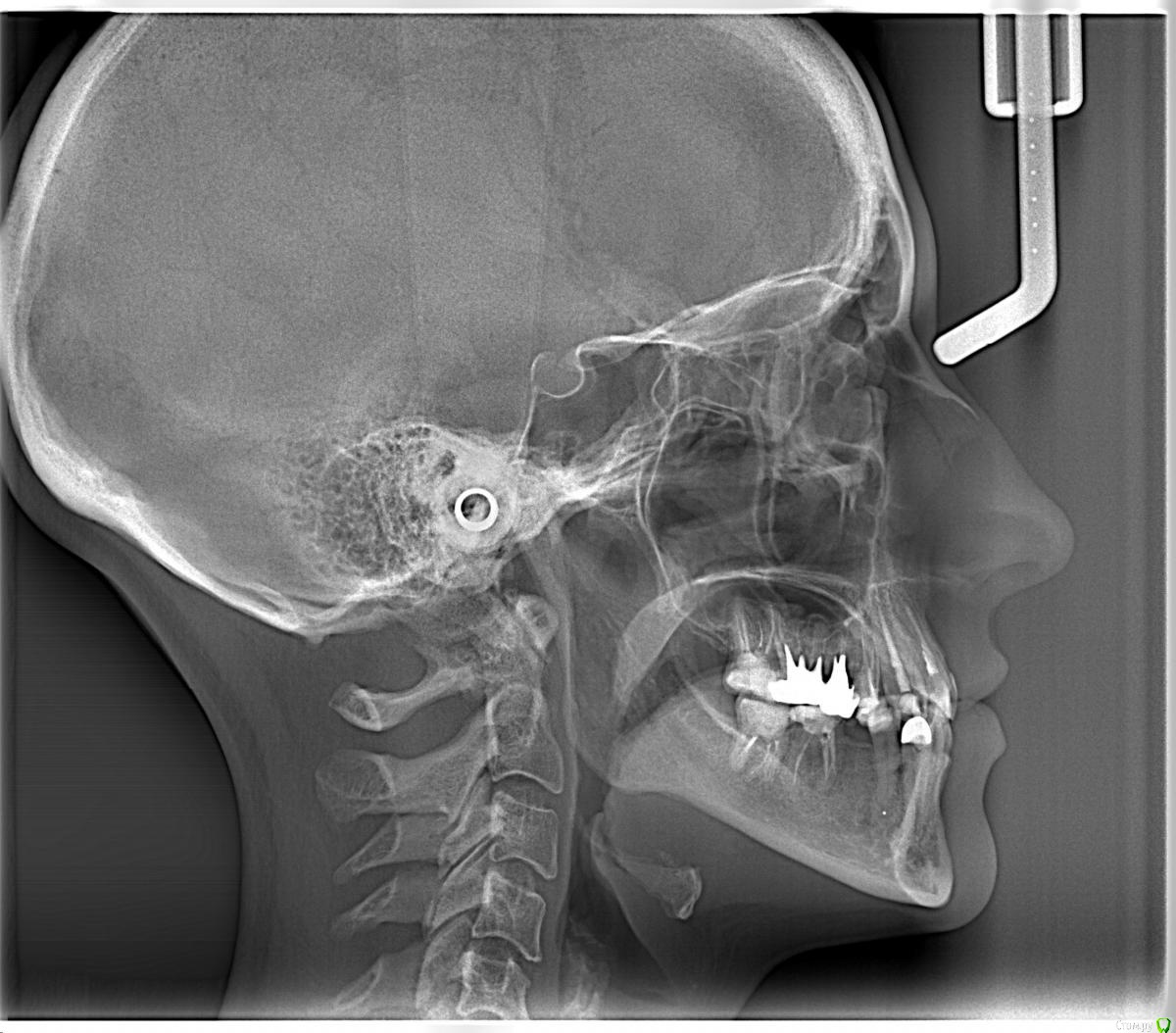
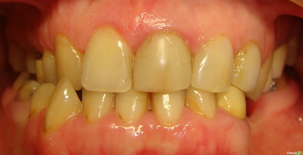
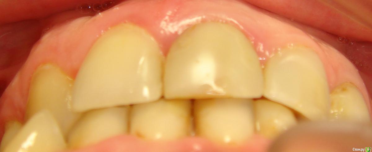
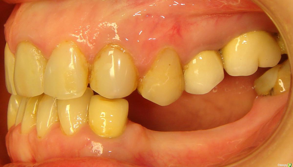
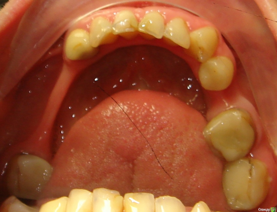
Здравствуйте, Коллеги! Хочу спросить совета по такому случаю. Пациентка 33 года. В детстве удалили 12 зуб, пространство закрыли на съемном аппарате. В подростковом возрасте удалили все остальные отсутствующие зубы. Сейчас носит бюгель. Вопрос такой: заниматься ли мне, как ортодонту формированием полноценного межчелюстного соотношения, или просто решить локальные проблемы и отдать на функциональную реабилитацию ортопеду? И если все-таки заниматься мне, то как??? Лечение такого третьего класса - элементарно для многопетлевой при наличии адекватной опоры, но вот такая адентия заставляет меня сомневаться. Заранее спасибо за ответы!

post-43383-0-02310000-1494804738_thumb.jpg

post-43383-0-28458300-1494804739_thumb.jpg

post-43383-0-23576900-1494804741_thumb.jpg

post-43383-0-73580800-1494804742_thumb.jpg

post-43383-0-34226700-1494804744_thumb.jpg

post-43383-0-64853400-1494804745_thumb.jpg

post-43383-0-61272400-1494804750_thumb.jpg

post-43383-0-95283500-1494804756_thumb.jpg

post-43383-0-64555900-1494804762_thumb.jpg

post-43383-0-35359200-1494804768_thumb.jpg

post-43383-0-11917700-1494804771_thumb.jpg

Ссылка на комментарий

это секретный 3й или вынужденное положение?

 

Прошу прощения, трг не увидела с телефона..

Изменено пользователем Brigita
Ссылка на комментарий

Для публикации сообщений создайте учётную запись или авторизуйтесь

Вы должны быть пользователем, чтобы оставить комментарий

Создать аккаунт

Зарегистрируйте новый аккаунт в нашем сообществе. Это очень просто!

Регистрация нового пользователя

Войти

Уже есть аккаунт? Войти в систему.

Войти
×
×
  • Создать...
Вверх