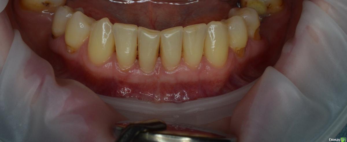
Dr.Safiullin Опубликовано 12 мая, 2017 Поделиться Опубликовано 12 мая, 2017 (изменено) Добрый вечер всем, решил тоже свой первый, небольшой кейс выложитьСильно не ругайте, полгода как получил диплом) Вопрос: 1)Нужно ли подшивать губу? Я не подшил, потому что в гос. времени мало на приём, да и испугался надкостницу травмировать лишний раз. А то боялся получить рубец, хотя не получил его!) 2) на 5 фотке это десквамация? Приветствуются конструктивная критика! Спасибо Изменено 12 мая, 2017 пользователем Dr.Safiullin Ссылка на комментарий
Bier Опубликовано 12 мая, 2017 Поделиться Опубликовано 12 мая, 2017 Доктор, вы прекрасно провели ненужную и бесполезную операцию )) Тут не было показаний для вестибулопластики. 16 Ссылка на комментарий
krokomot Опубликовано 12 мая, 2017 Поделиться Опубликовано 12 мая, 2017 Согласен, возможно пластика десны и требуется, но только в области 3.4 и 4.2 Ссылка на комментарий
Dman Опубликовано 12 мая, 2017 Поделиться Опубликовано 12 мая, 2017 Доктор, вы прекрасно провели ненужную и бесполезную операцию )) Тут не было показаний для вестибулопластики.а главное комфортную и безболезненную Ссылка на комментарий
Dr.Safiullin Опубликовано 13 мая, 2017 Автор Поделиться Опубликовано 13 мая, 2017 Доктор, вы прекрасно провели ненужную и бесполезную операцию )) Тут не было показаний для вестибулопластики.Может быть, но а как же преддверие 1.5-2мм, тонкий биотип десны, рецессия по 3 классу по Миллеру в области фронтальных зубов? Из за скученность тоже убыль, но все же. Вот тут может быть информативнее будет Ссылка на комментарий
колесников Опубликовано 13 мая, 2017 Поделиться Опубликовано 13 мая, 2017 (изменено) Прелестное было преддверие. Обратить внимание следовало на особенности прикуса, выявить в анамнезе бруксизм, местно -суперконтакты. Думаю причина рецессии в перегрузке.Кстати подшивать лоскут надо было к кератинизированой слизистой,тогда не было бы диссонанса в цвете в виде зебры ,в окончательном варианте Изменено 13 мая, 2017 пользователем колесников Ссылка на комментарий
Bier Опубликовано 13 мая, 2017 Поделиться Опубликовано 13 мая, 2017 у зубов по 2мм кератинизированной десны. Причина не в ее дефиците. Преддверие было нормальным. Ссылка на комментарий
Рекомендуемые сообщения
Для публикации сообщений создайте учётную запись или авторизуйтесь
Вы должны быть пользователем, чтобы оставить комментарий
Создать аккаунт
Зарегистрируйте новый аккаунт в нашем сообществе. Это очень просто!
Регистрация нового пользователяВойти
Уже есть аккаунт? Войти в систему.
Войти