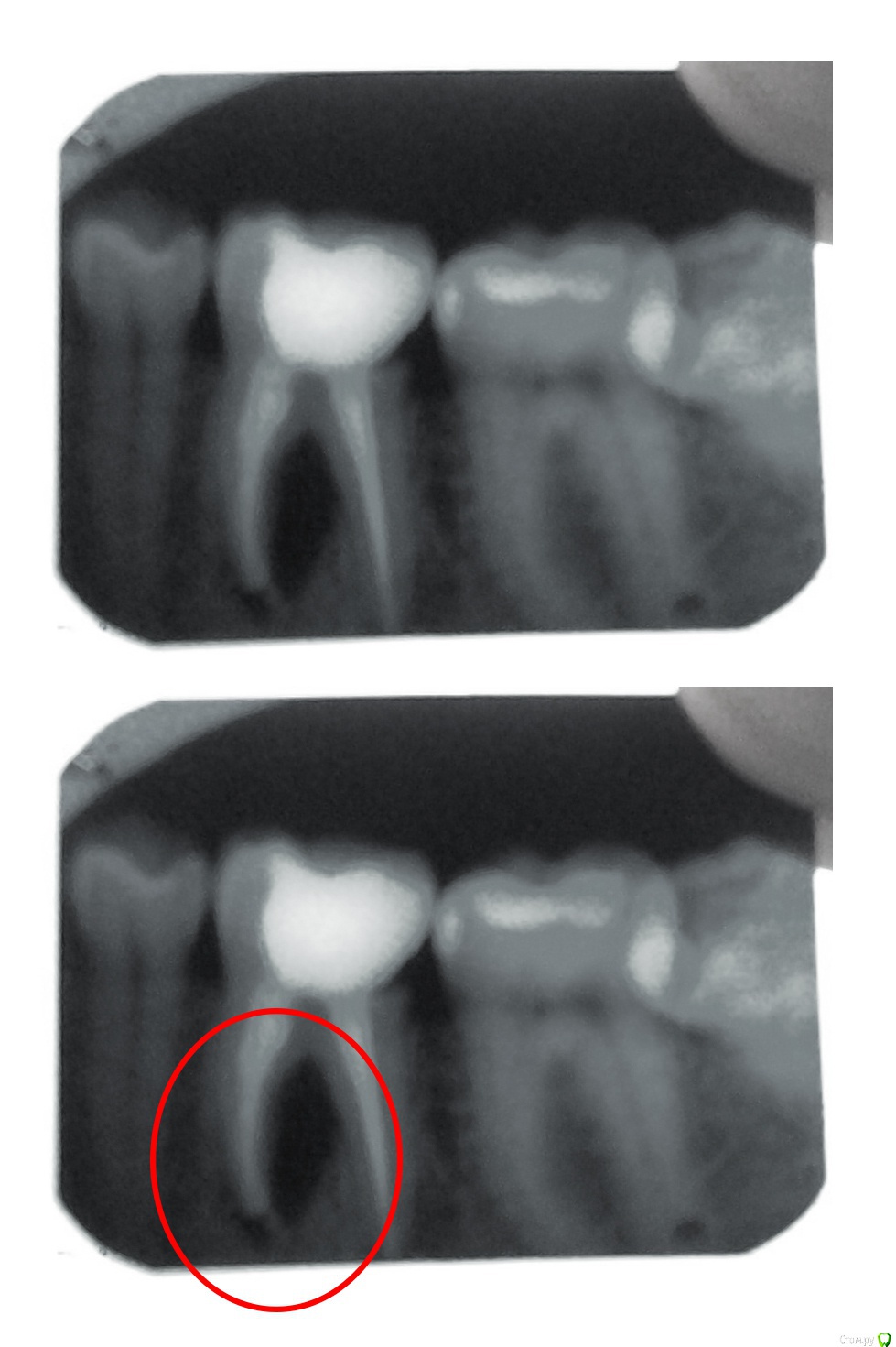
Alex1990 Опубликовано 7 мая, 2017 Поделиться Опубликовано 7 мая, 2017 Здравствуйте мне 26 лет. 8 лет назад мне пролечили зуб (46-й если не ошибаюсь), удалили нерв и запломбировали. Около 2-х месяцев назад на десне под зубом появился жёлтый пузырёк, потом пропал, через неделю опять появился, потом снова пропал, при этом ни зуб, ни десна не болели и не болят. Через некоторое время ранка на десне стала постоянным явлением периодически из неё сочился гной. Я обратился к стоматологу, мне сделали рентген и определили, что у меня уже длительное время присутствует воспаление между корнями этого зуба и как результат этого воспаления на десне образовался свищевой ход. Также врач сказала, что каналы зуба были пролечены хорошо. Мне посоветовали удалить зуб. Подскажите, можно ли спасти зуб, ведь он совершенно не болит, не болит и десна? Ссылка на комментарий
inSight Опубликовано 7 мая, 2017 Поделиться Опубликовано 7 мая, 2017 клкт, перелечивание, обязательно коронка. Реинфецирование вследствие потери герметизма пломбы. 1 Ссылка на комментарий
Alex1990 Опубликовано 7 мая, 2017 Автор Поделиться Опубликовано 7 мая, 2017 клкт, перелечивание, обязательно коронка. Реинфецирование вследствие потери герметизма пломбы.Спасибо за совет. Ссылка на комментарий
St. Опубликовано 7 мая, 2017 Поделиться Опубликовано 7 мая, 2017 Подскажите, можно ли спасти зуб, ведь он совершенно не болит, не болит и десна? Не болит потому что есть свищ, это увы не показатель здоровья.Вариантов с зубом 3:1. пробовать перелечить2. удалить и имплант3. ничего не делать ( самый непрогнозируемый вариант, потому что в любой момент может начато болеть или припухнуть). Если есть желание и найдете доктора можно пробовать перелечить каналы. Процедура сложная и без гарантии, но если все получится, то удастся сохранить родной зубЕсли хотите гарантий - удаление и имплант. Ссылка на комментарий
Рекомендуемые сообщения
Для публикации сообщений создайте учётную запись или авторизуйтесь
Вы должны быть пользователем, чтобы оставить комментарий
Создать аккаунт
Зарегистрируйте новый аккаунт в нашем сообществе. Это очень просто!
Регистрация нового пользователяВойти
Уже есть аккаунт? Войти в систему.
Войти