Перейти к содержанию
Стоматология для всех

Штифт или культевая вкладка + коронка?


StarWars

Рекомендуемые сообщения

Доброго времени суток всем.
 

Предыстория    сильно разрушенная пятерка справа на верхней челюсти. 

Шестерка  - кариес на контактной поверхности. которая примыкала когда-то к пятерке.

Боли не было , ничего не беспокоило, но решил пойти полечить.

Врач работал без коффердама в дорогой клинике. ( ну это я после лечения уже начал читать чего и как должно быть - теперь расстроен)

 

полечили-с:( в связи с чем вопросы:

 

1)  на шестерке поставили пломбу сбоку, но судя по снимку - на уровне десны или чуть ниже.

По описаниям  в нете  композит на уровне десны или ниже  - 100% вторичный кариес через какое-то время.

В связи с этим вопрос -  приведет ли это к развитию вторичного кариеса или все же  нет ?
Если приведет, то может быть стоит  сразу вместо этой пломбы установить  вкладку или коронку  без депульпации?

 

2) Когда начали сверлить наполовину разрушенную пятерку, сверлили очень долго, и  как оказалось пульпа была жива .
При подходе к ней появилась чувствительность, я  спросил - может можно  что-то сделать без депульпации .

 Врач настоял на удалении и установке штифта.

 В общем поверил ему. Добавили анастезии вскрыли и удалили нерв. Нерв был не воспаленный ни гноя ничего не было -  живое красивое мясо %) Да и по рентгену видно , что  никакого воспаления нет.

Теперь врач предлагает установить  конический титановый штифт и на него наляпать композиту.
Опять-же все это будет ниже уровня десны, и почитав форум и статьи в нете  - это вроде как хана остаткам корня в течение 2-3 лет и далее только удаление.

Верно ли я понимаю , что в данном случае лучше установить культевую вкладку и коронку ?

 Врач против вкладки и коронки , но если сильно хочется мне то отправит к ортопеду.
 Но почему-то врач говорит , что культевая вкладка + коронка - это еще хуже  чем штифт и  вероятность перелома корня еще выше.

 

3) У этого же врача  лечил четверку и пятерку слева на верхней челюсти .

там был небольшой кариес. В общем после всех этих лечений , у меня кажется еще и  с прикусом что-то стало - челюсти смыкаются на  верхних клыках. Хотя в клинике когда пломбы подтачивали ,  такого не было и контакт  был   дальше.
Почему такое происходит ?

 

4) Если все это  так плохо действует на прикус, может быть в случае глубокого кариеса лучше устанавливать  вкладки керамические или из того же композита у ортопеда ?  пусть это дороже , но вроде как  пишут что прикус остается  практически без изменений.

 

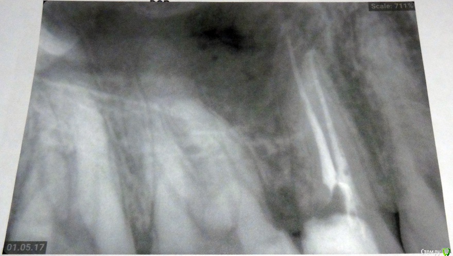
Ниже прилагаю два снимка один - это вроде бы снимок   перед пломбировкой каналов с инструменами.
Второй  -это после пломбировки каналов + временная пломба.
 Нормально ли каналы запломбировали?

post-51488-0-63782200-1494045826_thumb.jpg
post-51488-0-55161800-1494045828_thumb.jpg

Ссылка на комментарий

Еще дополнительный вопрос.
 После этого лечения повышенная чувствительность  соседних и нижних зубов.
Может ли это быть следствием  попадания на них  протравочного геля  ?
Если это следствие попадания этого геля , то что делать , чтобы и они тоже не  начали портиться?

Ссылка на комментарий

Для публикации сообщений создайте учётную запись или авторизуйтесь

Вы должны быть пользователем, чтобы оставить комментарий

Создать аккаунт

Зарегистрируйте новый аккаунт в нашем сообществе. Это очень просто!

Регистрация нового пользователя

Войти

Уже есть аккаунт? Войти в систему.

Войти
×
×
  • Создать...
Вверх