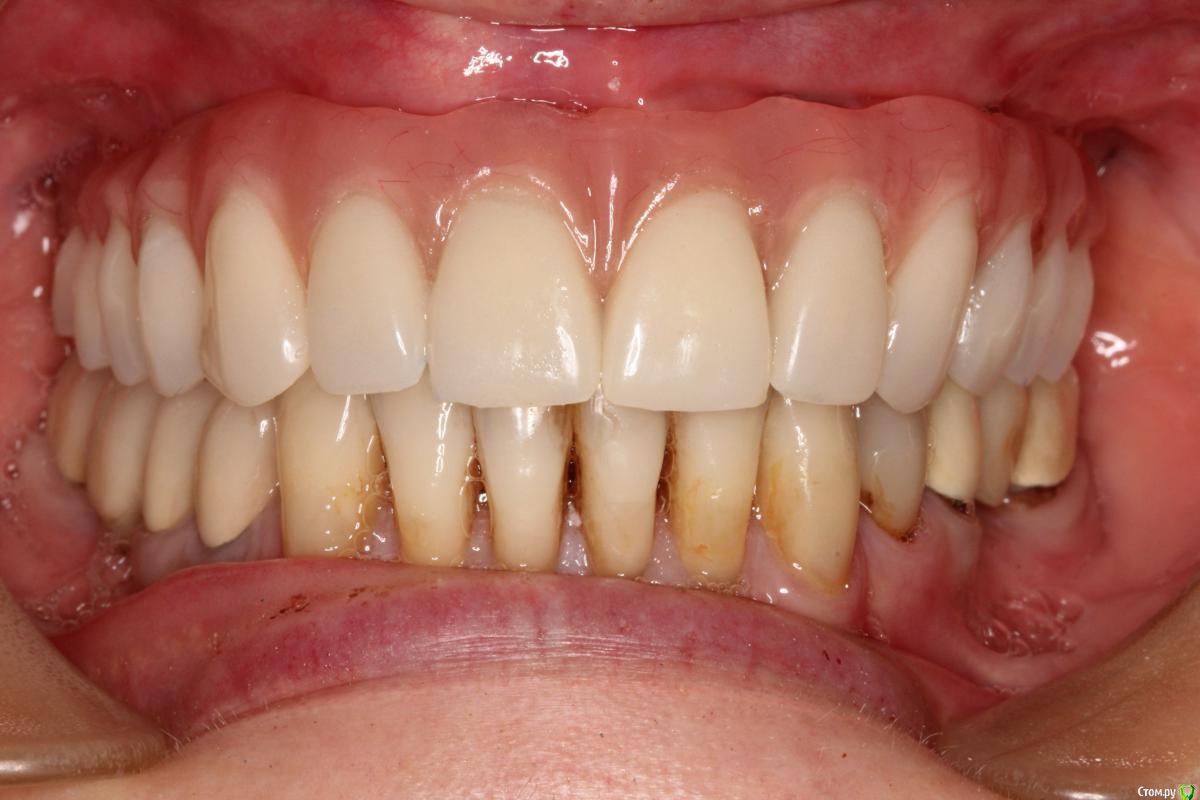
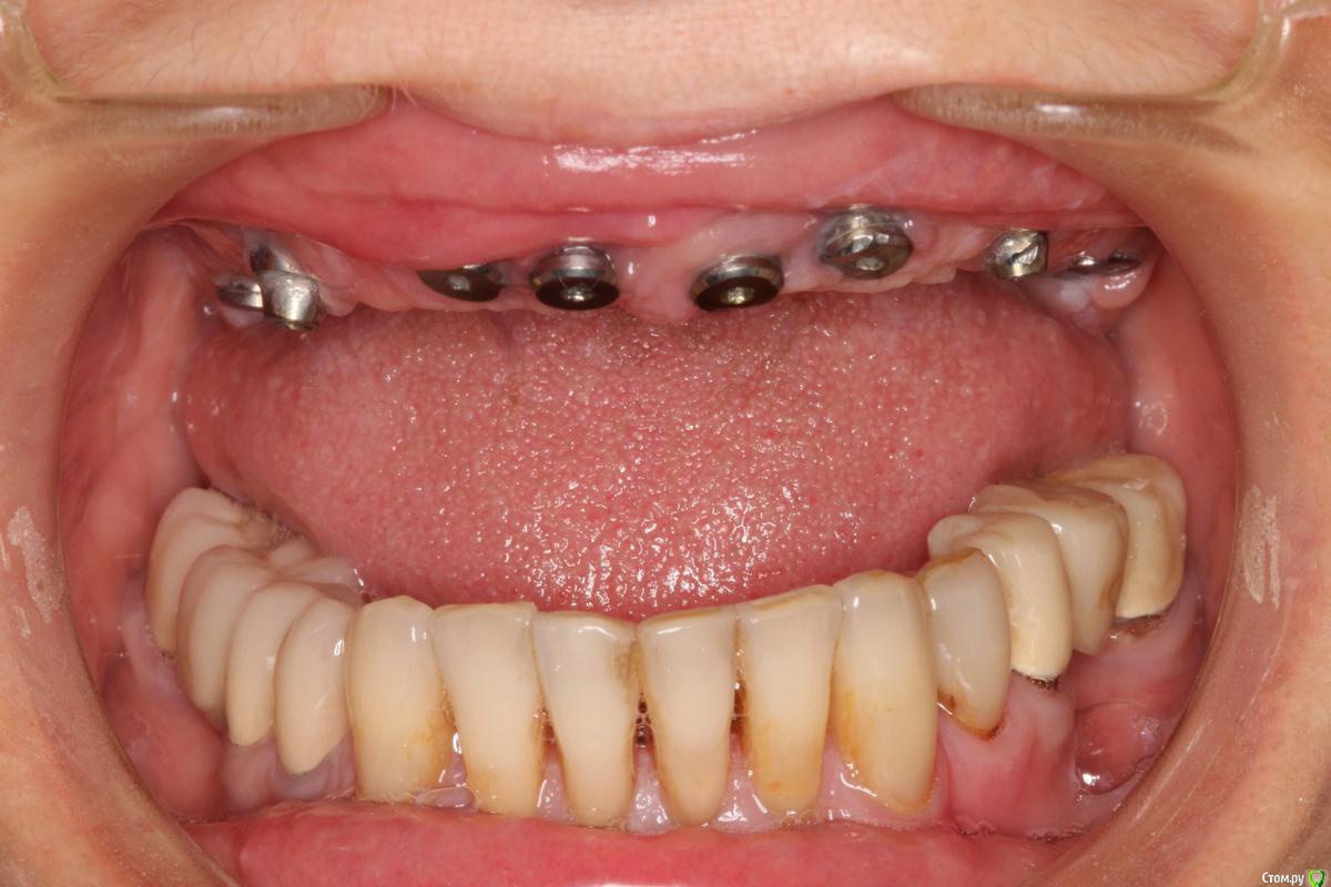
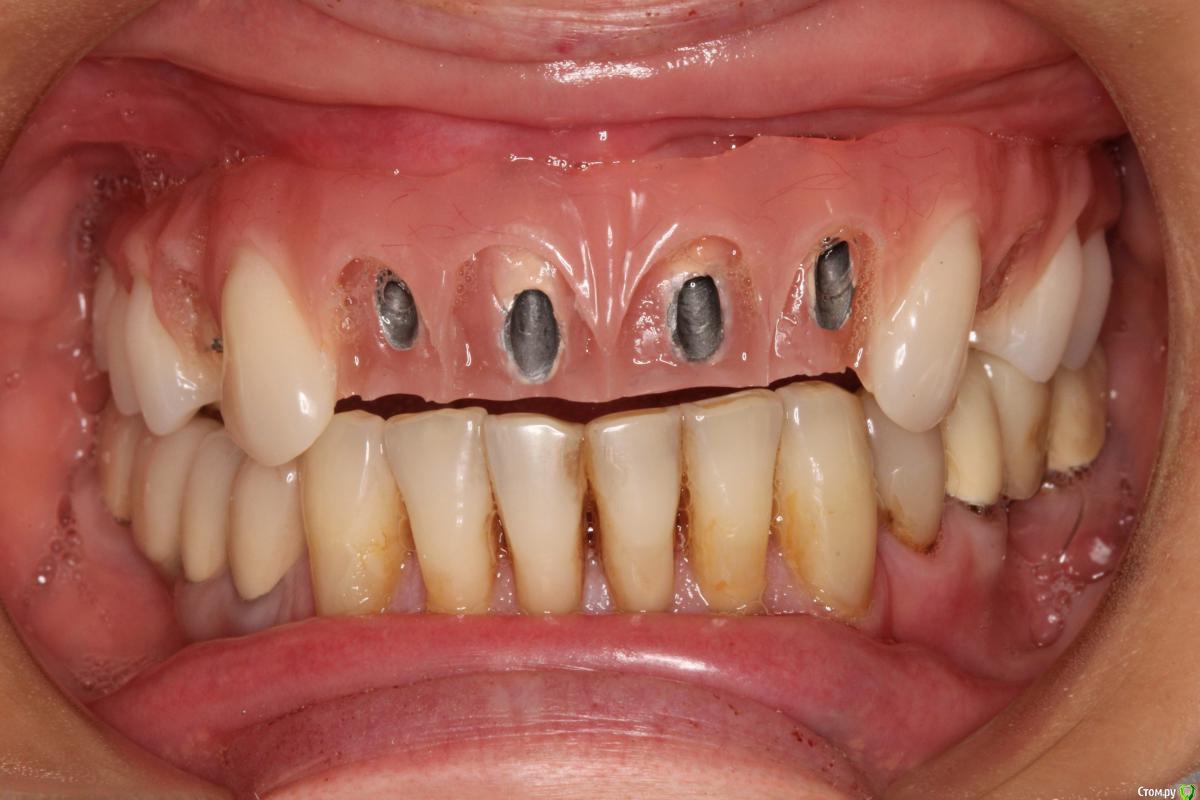
an_ver Опубликовано 3 мая, 2017 Поделиться Опубликовано 3 мая, 2017 Удаление,имплантация, временный условно сьемный на винтовой 3 Ссылка на комментарий
Mailze Опубликовано 3 мая, 2017 Поделиться Опубликовано 3 мая, 2017 Удаление,имплантация, временный условно сьемный на винтовой Интересно. За счет чего виниры держаться в условно съемном? Как извлекаются? Ссылка на комментарий
an_ver Опубликовано 3 мая, 2017 Автор Поделиться Опубликовано 3 мая, 2017 Интересно. За счет чего виниры держаться в условно съемном? Как извлекаются?Путь введения один,как у виниров,тут окклюзионно-гингивально вставляются.Держиться на флоу Ссылка на комментарий
dentikl Опубликовано 3 мая, 2017 Поделиться Опубликовано 3 мая, 2017 Путь введения один,как у виниров,тут окклюзионно-гингивально вставляются.Держиться на флоуэта красота в керамике или пластмассе? Ссылка на комментарий
an_ver Опубликовано 4 мая, 2017 Автор Поделиться Опубликовано 4 мая, 2017 эта красота в керамике или пластмассе?Это условно-сьемный,временный, акрил Ссылка на комментарий
TIGER Опубликовано 4 мая, 2017 Поделиться Опубликовано 4 мая, 2017 Удаление,имплантация, временный условно сьемный на винтовойКто навтыкал болтов? мдаа....пичалька Ссылка на комментарий
an_ver Опубликовано 4 мая, 2017 Автор Поделиться Опубликовано 4 мая, 2017 Кто навтыкал болтов? мдаа....пичалькаТак я , с синусами проблема(((, не захотела делать,фронт учавствовал в акте дыхания))), синусы обошел под углом,во фронте подстраховался))) Ссылка на комментарий
red_butler Опубликовано 4 мая, 2017 Поделиться Опубликовано 4 мая, 2017 можно ОПГ поглядеть? Ссылка на комментарий
an_ver Опубликовано 4 мая, 2017 Автор Поделиться Опубликовано 4 мая, 2017 можно ОПГ поглядеть?Поруюсь,кт то точно есть до ОПГ точно не было Ссылка на комментарий
Рекомендуемые сообщения
Для публикации сообщений создайте учётную запись или авторизуйтесь
Вы должны быть пользователем, чтобы оставить комментарий
Создать аккаунт
Зарегистрируйте новый аккаунт в нашем сообществе. Это очень просто!
Регистрация нового пользователяВойти
Уже есть аккаунт? Войти в систему.
Войти