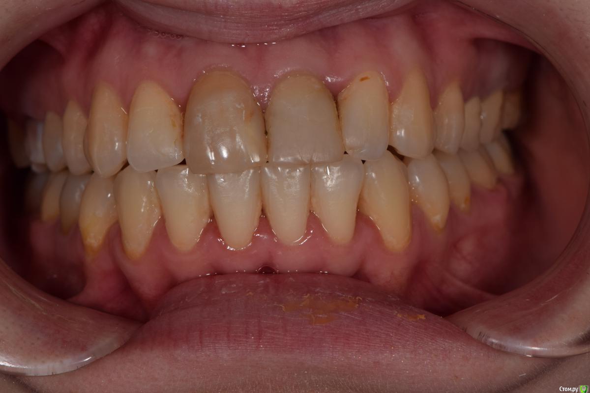
Петр Бриньковский Опубликовано 2 мая, 2017 Поделиться Опубликовано 2 мая, 2017 Реставрации из цельной керамики и на основе диоксида циркония 7 Ссылка на комментарий
Fibez Опубликовано 2 мая, 2017 Поделиться Опубликовано 2 мая, 2017 сколько времени и в какое число заходов занял преп? 1 Ссылка на комментарий
Modern Doctor Опубликовано 2 мая, 2017 Поделиться Опубликовано 2 мая, 2017 Классная работа!!! 1 Ссылка на комментарий
Arini Опубликовано 3 мая, 2017 Поделиться Опубликовано 3 мая, 2017 Создаётся ощущение, что в готовой работе нет клыков на верхней челюсти 1 Ссылка на комментарий
Петр Бриньковский Опубликовано 3 мая, 2017 Автор Поделиться Опубликовано 3 мая, 2017 сколько времени и в какое число заходов занял преп?Верхняя челюсть с лечением кариеса билдапами 2-х центральных резцов , препом и времянками- где-то 3 часа, нижняя челюсть -часа 2 Ссылка на комментарий
Петр Бриньковский Опубликовано 3 мая, 2017 Автор Поделиться Опубликовано 3 мая, 2017 Классная работа!!!Спасибо! Ссылка на комментарий
Петр Бриньковский Опубликовано 3 мая, 2017 Автор Поделиться Опубликовано 3 мая, 2017 Создаётся ощущение, что в готовой работе нет клыков на верхней челюстиФорма зубов моделировалась согласно пожеланиям пациентки ) Ссылка на комментарий
Dman Опубликовано 3 мая, 2017 Поделиться Опубликовано 3 мая, 2017 Чем обусловлен выбор диоксида для виниров? на что клеите - адгезии же нет к тканям зуба.. Ссылка на комментарий
Arini Опубликовано 3 мая, 2017 Поделиться Опубликовано 3 мая, 2017 Форма зубов моделировалась согласно пожеланиям пациентки )Да, к сожалению , приходится считаться с желаниями пациентов. Ссылка на комментарий
Петр Бриньковский Опубликовано 3 мая, 2017 Автор Поделиться Опубликовано 3 мая, 2017 Чем обусловлен выбор диоксида для виниров? на что клеите - адгезии же нет к тканям зуба..Диоксидом пришлось закрывать большую часть зубного ряда из-за сильных разрушений, рефракторные виниры были изготовлены на нижние 6 фронтальных зубов. Соответственно реставрации приходилось изготавливать с механической ретенцией либо в полную анатомию ,либо в 3/4, фиксирую на Fuji Cem. Цельнокерамические реставрации по адгезивному протоколу на Variolink Ссылка на комментарий
an_ver Опубликовано 3 мая, 2017 Поделиться Опубликовано 3 мая, 2017 Реставрации из цельной керамики и на основе диоксида цирконияОслепил))), красивая работа 1 Ссылка на комментарий
Паращук Роман Опубликовано 3 мая, 2017 Поделиться Опубликовано 3 мая, 2017 Интересная окклюзионная анатомия... 4 Ссылка на комментарий
Bratok Опубликовано 4 мая, 2017 Поделиться Опубликовано 4 мая, 2017 (изменено) Интересная окклюзионная анатомия...Зато ничего не мешает может просто фисуры не прокрашены Изменено 4 мая, 2017 пользователем Bratok Ссылка на комментарий
bilal Опубликовано 5 мая, 2017 Поделиться Опубликовано 5 мая, 2017 зубы остались живыми под циркон? Ссылка на комментарий
Петр Бриньковский Опубликовано 5 мая, 2017 Автор Поделиться Опубликовано 5 мая, 2017 зубы остались живыми под циркон?Все что было живым -таким и осталось) Стараюсь максимально оставлять зубы витальными , даже под металлокерамику 1 Ссылка на комментарий
Рекомендуемые сообщения
Для публикации сообщений создайте учётную запись или авторизуйтесь
Вы должны быть пользователем, чтобы оставить комментарий
Создать аккаунт
Зарегистрируйте новый аккаунт в нашем сообществе. Это очень просто!
Регистрация нового пользователяВойти
Уже есть аккаунт? Войти в систему.
Войти