Перейти к содержанию
Стоматология для всех

Начал беспокоить депульпированный много лет назад зуб.


tineola

Рекомендуемые сообщения

Добрый день, уважаемые врачи!

 

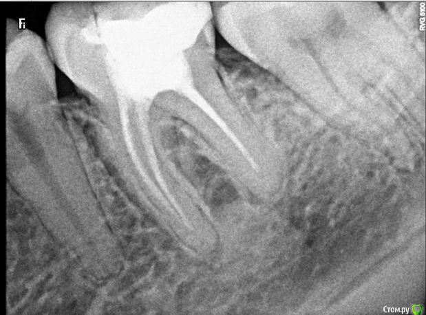
Нижний зуб 6-ка, депульпирован около 11 лет назад. Два года назад обновляли пломбу на нем.

Последние 2 месяца стала чувствовать зуб, неприятные ощущения в нем появились и ощущение как бы давления.

 

Посмотрите, пожалуйста, снимки.

Требуется перелечивать каналы? Похоже ли то, что я вижу у корней на кисту?

Заранее благодарю за ответы.

 

Свежий фрагмент ОПТГ

post-50922-0-16106800-1493654508_thumb.jpg

 

Снимок зуба 2 года назад

post-50922-0-21139200-1493654890_thumb.jpg

 

Ссылка на комментарий

Для публикации сообщений создайте учётную запись или авторизуйтесь

Вы должны быть пользователем, чтобы оставить комментарий

Создать аккаунт

Зарегистрируйте новый аккаунт в нашем сообществе. Это очень просто!

Регистрация нового пользователя

Войти

Уже есть аккаунт? Войти в систему.

Войти
×
×
  • Создать...
Вверх