Перейти к содержанию
Стоматология для всех

Дистальный прикус


Олечка111

Рекомендуемые сообщения

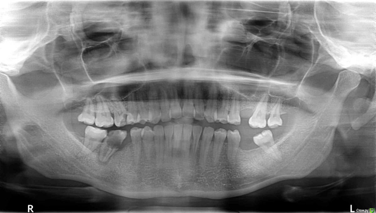
Здраствуйте.меня зовут Ольга.мне 26 лет.брекеты ношу 2 г и 7 м.Подскажите мне пожалуйста что можно сделать в моей ситуации.У меня дистальный прикус.был 11 мм.Не было одного шестого зуба на в.ч с одной стороны.и под удаление был уже второй.поэтому врач перетенул 5,4 и все остальные зубы на место 6.сагитальная щель осталась 5 мм.но врач сказал что сделать ничего со мной нельзя тут только операция...чего я очень сильно боюсь.и предложила сделать наклон нижних передних зубов чтоб хоть как то было смыкание...Стабилен ли будет такой вариант или что можно сделать?!пожалуйста подскажите.Снимки и фото прилогаю.снимки сделаны перед брекет системой.почему то последние фото загрузились перевёрнутыми

post-51383-0-66975400-1492962775_thumb.jpg

post-51383-0-06626600-1492962803_thumb.jpg

post-51383-0-18380500-1492962890_thumb.jpg

post-51383-0-85696000-1492962912_thumb.jpg

post-51383-0-48153500-1492966760_thumb.jpg

post-51383-0-70176000-1492966788_thumb.jpg

post-51383-0-06969100-1492966842_thumb.jpg

post-51383-0-06791300-1492966866_thumb.jpg

Ссылка на комментарий
  • 2 недели спустя...

Стабилен ли будет такой вариант или что можно сделать?!

 

правильный вопрос заедет - а будет ли это стабильно? 

НЕТ. наклонять нижние резцы до смыкания  при щели в 5 мм нельзя ! 

в идеале - выравнивание окклюзионной плоскости (у Вас  боковой отдел на взлет идет)  и постановка нижней челюсти в правильное положение (либо аппараты по типу Гербста либо операция - решается при расчете снимков, либо оставлять как есть)  

Ссылка на комментарий

Спасибо за ответ!)))а как понять"боковой отдел на взлет идёт? Если оставить прикус как есть,не вернётся ли мой прежний прикус?

Ссылка на комментарий

Для публикации сообщений создайте учётную запись или авторизуйтесь

Вы должны быть пользователем, чтобы оставить комментарий

Создать аккаунт

Зарегистрируйте новый аккаунт в нашем сообществе. Это очень просто!

Регистрация нового пользователя

Войти

Уже есть аккаунт? Войти в систему.

Войти
×
×
  • Создать...
Вверх