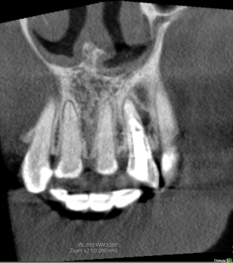
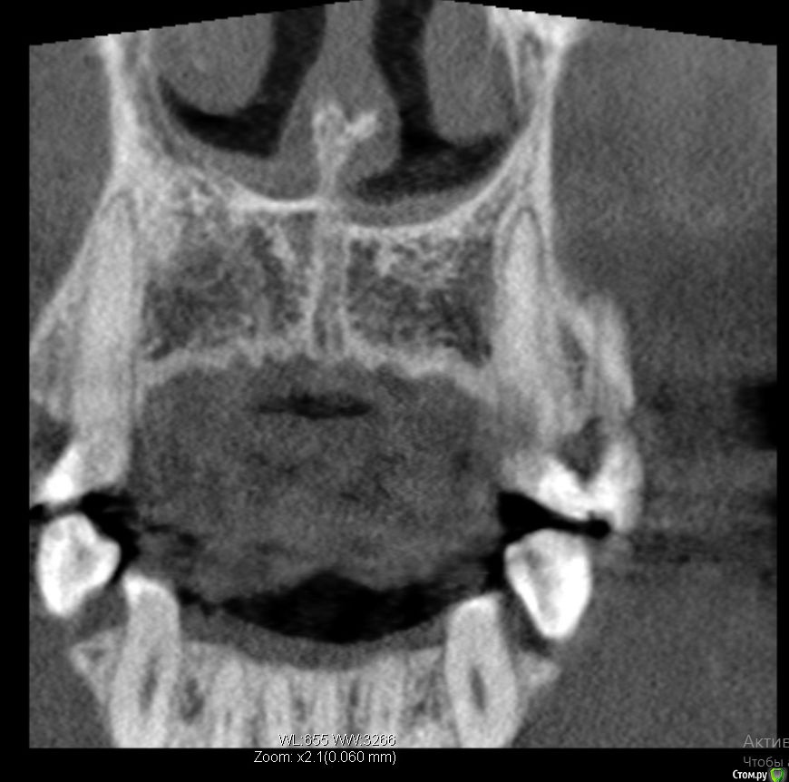
Lanasvlisa Опубликовано 21 апреля, 2017 Поделиться Опубликовано 21 апреля, 2017 Добрый вечер, уважаемые врачи! Вопрос по зубу 22, он леченый-перелеченный, сейчас на корне обнаружена киста, на десне над зубом свищевой ход. Какое ваше мнение: 1) удалять зуб и вместе с ним уйдет воспаление, прочищать все и заниматься имплантацией; или 2) можно каким-то образом удалить кисту, отсечь корень (читала о таком), но сам зуб не удалять? Если всё-таки 1), то можно ли осуществить в данном случае одномоментную имплантацию с нагрузкой? или можно одномоментную, но без нагрузки...? Спасибо огромное всем, кто посмотрит снимки и выразит свое экспертное мнение! С уважением, PS: прикрепляю скриншот из программы, но если этого недостаточно для определения диагноза и плана вмешательства, то скину ссылку на весь архив. Ссылка на комментарий
Bier Опубликовано 21 апреля, 2017 Поделиться Опубликовано 21 апреля, 2017 3д реконструкция нам не подходит. Хотя по ней все довольно печально выглядит.покажите скриншоты срезов. Ссылка на комментарий
колесников Опубликовано 21 апреля, 2017 Поделиться Опубликовано 21 апреля, 2017 Резецировать там нечего,во время эндодонтического лечения произошла перфорация стенки корня зуба,вокруг этого участка очаг деструкции костной ткани. Это не лечится.По выставленной вами картинке объём деструкции не понятен. Решить возможность одномоментной имплантации и тем более немедленной нагрузки может только ваш лечащий доктор ,по результатам кт и в соответствии со своим опытом. Ссылка на комментарий
Lanasvlisa Опубликовано 22 апреля, 2017 Автор Поделиться Опубликовано 22 апреля, 2017 Здравствуйте, уважаемые врачи, и спасибо большое вам за оперативные ответы! Я не знаю, как найти срезы, полагаю, проекции - это то же самое, что и срезы? Я сделала их скриншоты+ еще три фото. А если я все-таки отправлю ссылку на весь архив, вы бы могли оценить объем разрушения костной ткани, чтобы предположить, насколько реально провести имплантацию в день удаления? У меня еще такие вопросы: если имплантацию удается провести сразу, то 1) через какой срок можно в моем случае заняться установкой коронки; 2) какая она должна быть; 3) если придется пользоваться "бабочкой" (я так понимаю, это единственный вариант, все временные коронки, в том числе клеевые, - это нагрузка, а каппа сюда тоже не подойдет?), то как потом происходит восстановление формы десны? Можно ли как-то сохранить десневые сосочки в случае отсроченной имплантации? Спасибо большое! Ссылка на комментарий
Bier Опубликовано 22 апреля, 2017 Поделиться Опубликовано 22 апреля, 2017 если свища с гноем нет, надо одномоментно имплантировать. Ссылка на комментарий
Lanasvlisa Опубликовано 22 апреля, 2017 Автор Поделиться Опубликовано 22 апреля, 2017 (изменено) Свищ появился недавно. В марте порядка 45 дней назад я обратилась с этим зубом на осмотр к терапевту, тк в межзубном пространстве было потемнение, он обнаружил кариес и герметично запломбировал. А спустя несколько дней, на десне над этим зубом образовался шарик, теперь это уже свищ, оттуда гной иногда выходит. А до замены пломбы всё, получается, просачивалось через сам зуб..в общем инфекция там есть. Изменено 22 апреля, 2017 пользователем Lanasvlisa Ссылка на комментарий
Bier Опубликовано 22 апреля, 2017 Поделиться Опубликовано 22 апреля, 2017 ну ситуация у вас сложная. Единого мнения тут нет и не будет. Одномоментная операция в вашем случае возможна, но рискованна. Ищите профи. 2 Ссылка на комментарий
колесников Опубликовано 23 апреля, 2017 Поделиться Опубликовано 23 апреля, 2017 Свищ и гной не проблема. Сосочки сохранить-необходима десневая пластика и адекватное протезирование Ссылка на комментарий
Lanasvlisa Опубликовано 24 апреля, 2017 Автор Поделиться Опубликовано 24 апреля, 2017 (изменено) Свищ и гной не проблема. Сосочки сохранить-необходима десневая пластика и адекватное протезированиеУважаемый Игорь Николаевич, то есть в моем случае выбор ортопеда не менее важен, чем выбор имплантолога? В интернете прочитала, что десневую пластику проводит пародонтолог, если это не так, поправьте, пожалуйста. Пародонтологов вообще не знаю. Вне зависимости от того, будет проводиться одномоментная или отсроченная имплантация, мне сказали, что нужно будет носить съемный протез...Читаю разные форумы, а в моем случае нельзя сначала подсадить костную ткань, а спустя какое-то время уже удалять зуб и имплантировать? Или из-за воспаления такое невозможно? Спасибо большое! Изменено 24 апреля, 2017 пользователем Lanasvlisa Ссылка на комментарий
Lanasvlisa Опубликовано 24 апреля, 2017 Автор Поделиться Опубликовано 24 апреля, 2017 И еще такой вопрос возник: съемный протез в моем случае - это единственный выход? а временный зуб (может, даже мой), крепящийся к соседним на клей, может быть альтернативой? Насколько я поняла, это лучше для десны, чем съемный протез. Спасибо большое! Ссылка на комментарий
Bier Опубликовано 24 апреля, 2017 Поделиться Опубликовано 24 апреля, 2017 И еще такой вопрос возник: съемный протез в моем случае - это единственный выход? а временный зуб (может, даже мой), крепящийся к соседним на клей, может быть альтернативой? Насколько я поняла, это лучше для десны, чем съемный протез. Спасибо большое!вам нужна одномоментная имплантация. Все хирургические этапы должен сделать один врач. Временный зуб можно подвесить к соседним или сделать каппу. Съемный протез - нельзя. Ссылка на комментарий
колесников Опубликовано 24 апреля, 2017 Поделиться Опубликовано 24 апреля, 2017 Полностью поддерживаю. Имплантировать лучше одномоментно и с пластикой десны. Делать отсрочено ,с консервацией лунки,тоже возможно,но мне лично не очень нравится. Если в первом варианте имплант контактирует с вашей костью,то во втором -с искусственной,что иногда приводит к неудачам. Также частенько происходит усадка десны у соседних зубов,исчезает сосочек. Съёмный протез-бабочка только усугубляет эту усадку. Ссылка на комментарий
Lanasvlisa Опубликовано 26 апреля, 2017 Автор Поделиться Опубликовано 26 апреля, 2017 Олег Юрьевич, Игорь Николаевич, спасибо огромное! Я теперь забегаю вперед, но это хотелось бы тоже сейчас понимать, чтобы правильно выбрать клинику. Абатмент и коронка (уже постоянная) какими должны быть? На дальний зуб сейчас мне ставят металлокерамическую на цемент. Не знаю, какие у нее преимущества, кроме цены. На передний лучше цельнолитую или на диоксиде циркония? Какую из двух? Тоже на цементе или на винте? Или врач смотрит и в зависимости от условий решает, можно ли на винт закрепить?Спасибо еще раз! Ссылка на комментарий
red_butler Опубликовано 26 апреля, 2017 Поделиться Опубликовано 26 апреля, 2017 На передний лучше цельнолитую Вы описались, цельнолитая это металлическая коронка Ссылка на комментарий
Lanasvlisa Опубликовано 26 апреля, 2017 Автор Поделиться Опубликовано 26 апреля, 2017 Вы описались, цельнолитая это металлическая коронка ой, спасибо! Сегодня мне сказали, что я много всего начиталась, забиваю светлую голову=) оказывается, мало! Спасибо вам большое! Ссылка на комментарий
Рекомендуемые сообщения
Для публикации сообщений создайте учётную запись или авторизуйтесь
Вы должны быть пользователем, чтобы оставить комментарий
Создать аккаунт
Зарегистрируйте новый аккаунт в нашем сообществе. Это очень просто!
Регистрация нового пользователяВойти
Уже есть аккаунт? Войти в систему.
Войти