Nika07 Опубликовано 20 апреля, 2017 Поделиться Опубликовано 20 апреля, 2017 (изменено) Всем доброго дня! Рассказываю свою эпопею и заранее благодарю за советы.У меня такая ситуация: треснул 25 зуб.Зуб ранее леченый, без нерва, лет 7 назад удаляли нерв и ставили анкерный штифт.Во время еды - хрясь - и треснул вертикально. Побежала к врачу, выходной был - сделали рентген, врач отломал кусок зуба.Затем вроде собирались коронку делать, я согласилась. Потом в глубину сверлил врач и сказал, что трещина глубоко в корень уходит и коронку ставить не получится. Пришел другой врач - консилиум устроили - и посоветовал запломбировать зуб как клык - т.е. на одной стенке, и все.Потом, в будни, пошла к своему стоматологу, она говорит, лучше коронку делать. Насчет трещины сказала - что тогда болел бы, если б трещина в корне была. Зуб не болел абсолютно ни когда треснул, ни во время всех манипуляций с ним. Пошла к ортопеду - говорит, можно коронку, но тогда надо сначала его вытянуть брекетами, т.к. отлом под десной. Это около полугода брекет на нем носить, потом коронку делать. Вот, собственно вопрос - что лучше делать - брекет и коронку потом? Или пусть стоит сколько стоит, в виде клыка, а если вдруг сломается или еще что - (на одной стенке все-таки) - имплант тогда придется делать? С одной стороны, жаль зуб, с другой, вытягивания боюсь, не навредит ли это? Заранее спасибо за советы! Изменено 20 апреля, 2017 пользователем Nika07 Ссылка на комментарий
AndyAndy Опубликовано 20 апреля, 2017 Поделиться Опубликовано 20 апреля, 2017 На вашем месте я бы решал или вытягивание брекетом + коронка, или имплантация. Минусы первого варианта: время, укорочение длины корня зуба, стоимость перелечивание+культевая вкладка+коронка. Немедленная имплантация при удалении зуба: по стоимости не думаю что будет чересчур сильно отличаться от первого, по времени так же, по надежности - лучшая стабильность конструкции.Для оценки проведения имплантации необходимо КТ Однозначного ответа на ваш вопрос нет. Если есть невероятное желание сохранить зуб без гарантий, то занимайтесь им. Я за имплантацию 1 Ссылка на комментарий
Nika07 Опубликовано 21 апреля, 2017 Автор Поделиться Опубликовано 21 апреля, 2017 Спасибо за ответ. Если имплант - то нет ведь необходимости в немедленной имплантации, т.е. можно зуб оставить, пока стоит себе?И что такое КТ? Ссылка на комментарий
Nika07 Опубликовано 24 апреля, 2017 Автор Поделиться Опубликовано 24 апреля, 2017 Сходила к ортодонту, она сказала, что вытягивать нечего, смысла в этом нет. Сказала, брекеты носить надо на передние зубы Оказывается, у меня сверху пара зубов немного из ряда вперед выходят, говорит, это на десны плохо влияет, и они опускаются. А внизу немного скученность, тоже плохо.Так что вся в расстроенных чувствах, неужели на самом деле теперь нужно в брекетах ходить? Ссылка на комментарий
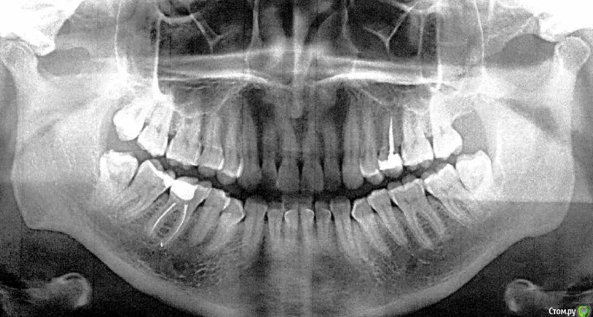
Nika07 Опубликовано 26 апреля, 2017 Автор Поделиться Опубликовано 26 апреля, 2017 Посоветуйте, пожалуйста, нужна ли на самом деле мне ортодонтия? Ссылка на комментарий
red_butler Опубликовано 26 апреля, 2017 Поделиться Опубликовано 26 апреля, 2017 Посоветуйте, пожалуйста, нужна ли на самом деле мне ортодонтия?Для ответа одного вашего снимка не достаточно http://forum.stom.ru/topic/4655-patcientam/ Ссылка на комментарий
Рекомендуемые сообщения
Для публикации сообщений создайте учётную запись или авторизуйтесь
Вы должны быть пользователем, чтобы оставить комментарий
Создать аккаунт
Зарегистрируйте новый аккаунт в нашем сообществе. Это очень просто!
Регистрация нового пользователяВойти
Уже есть аккаунт? Войти в систему.
Войти