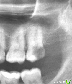
Xealer Опубликовано 20 апреля, 2017 Поделиться Опубликовано 20 апреля, 2017 (изменено) Здравствуйте! Меня зовут Руслан, мне 31 год.Меня 2 месяца назад стал беспокоить зуб 27.Моя цель: вылечить зуб 27 с минимальным вмешательством, сохранить нервы в пульпе. После этого вылечить зуб 17.Предыстория в спойлере:удалено администраторомТеперь зуб частично разрушен, видимо пломба отвалилась. Диагноз - пульпит.До этого боль была ноющая, сильно не беспокоила.Вчера полчаса болел сильно, сейчас снова утихла.Вопрос 1: Означает ли это, что пломба была установлена плохо?Стал ходить по разным стоматологам, с хорошей репутацией(подробности в спойлере) удалено администраторомудалено администраторомбыл только на консультациях: удалено администратором Сказал, что нужно сделать 3d томографию всех зубов и ставить коронку на 27. Цена 10 тыс руб. удалено администратором(стаж более 25 лет, высокая репутация в интернете): Посмотрел 3d томографию, сказал, что лучше поставить коронку, но можно поставить пломбу! Когда, я спросил про материалы для коронки, сказал, что можно поставить: - металлокерамическую коронку (CoCr) - титан Стал немного путаться в цене. Отправил к стоматологу-терапевту удалено администратором, на первоначальное лечение перед установкой коронки. Цена 12 - 15 тыс руб. Про зуб 17 сказал, что коронку ставить не надо, можно поставить пломбу.удалено администратором удалено администраторомРассказал про лечение подробнее, чем остальные, показал фотографию разрушенного зуба. Сделал 3d томографию. Назвал высокие цены, сославшись на то, что в других стоматогиях некачественные материалы, а у них качественные немецкие материалы. Цена 34-50 тыс руб включает: Сумма в руб Изготовление культевой вкладки разборной либо за 8000, либо за 15000 Изготовление металлокерамической коронки (CoCr) - Некая стандартная цена 14000 (видимо стандарная цена в моём случае не использовалась, была на бланке) - Литьевой метод 20000 - Фрезерный метод 30000 и т д Про зуб 17 сказал, что коронку ставить надо, и ставить пломбу на него неграмотно с медицинской точки зрения, так как стенка до пульпы всего 1 мм. Остальные вопросы:2. Могут ли такие цены, которые мне предложили в удалено администратором за "качественные немецкие материалы", быть честными?3. Можно ли поставить пломбу на 27, сохранив пульпу?4. Если ставить коронку на 27, то какой материал выбрать? нужен ли титан?5. Достаточно ли на 17, поставить пломбу?6. Какого стоматолога порекомендуете? Во вложении я сделал скриншот срезов 27 и 17, где расстояние до пульпы минимально. Если надо могу выложить весь файл с 3d томографией. Изменено 25 апреля, 2017 пользователем red_butler Ссылка на комментарий
St. Опубликовано 20 апреля, 2017 Поделиться Опубликовано 20 апреля, 2017 27 зуб. Теперь зуб частично разрушен, видимо пломба отвалилась. Диагноз - пульпит. До этого боль была ноющая, сильно не беспокоила. Вчера полчаса болел сильно, сейчас снова утихла. Вопрос 1: Означает ли это, что пломба была установлена плохо? Нет, непосредственной очевидной связи с предыдущей пломбой нет.По диагнозу да, пульпит, т.е. зуб разрушился глубоко , микробы попали в "нерв", он воспалился и поэтому болит. Теперь нужно "убирать нерв", чистить и пломбировать каналы, потом делать коронку или накладку. В зависимости от того что останется от стенок зуба после чистки кариеса и лечения каналов. 2. Могут ли такие цены, за "качественные немецкие материалы", быть честными? Ценообразование вещь весьма субъективная и на этом форуме не обсуждается по правилам. 3. Можно ли поставить пломбу на 27, сохранив пульпу? нет 4. Если ставить коронку на 27, то какой материал выбрать? нужен ли титан? Титан сейчас не является лучшим материалом выбора для коронок. 5. Достаточно ли на 17, поставить пломбу? Будет ясно когда уберут все разрушенные ткани, не исключено лечение каналов. 2 Ссылка на комментарий
Xealer Опубликовано 20 апреля, 2017 Автор Поделиться Опубликовано 20 апреля, 2017 (изменено) Я рад, что вы мне ответили. Большое спасибо за оперативный ответ.Но хотелось бы уточнить 4ый вопрос.Непонятно, есть ли большая разница в качестве металлокерамики (CoCr) в различных клиниках. Действительно ли есть большая разница между литиевым и фрезерным методом.Логика мне подсказывает, что нету разницы между металлокерамикой (CoCr) за 8, за 20 и за 30 тыс руб..Непонятно к какому материалу мне стремиться.Ну и буду рад, если кто-нибудь ещё ответит на остальные вопросы и подтвердит ваше мнение о титане.Или скиньте пожалуйста ссылку, чтобы я сам почитал про материалы для коронки. Изменено 20 апреля, 2017 пользователем Xealer Ссылка на комментарий
Pan Опубликовано 22 апреля, 2017 Поделиться Опубликовано 22 апреля, 2017 Ваш зуб требует эндодонтического лечения, требует ли Ваш зуб ортопедического лечения( коронки) трудно оценить по представленным снимкам. Даже если учитывать утрату тканей для эндо доступа, следует оценить оставшиеся ткани для возможной реставрации зуба без применения ортопедической конструкции. 1 Ссылка на комментарий
Xealer Опубликовано 24 апреля, 2017 Автор Поделиться Опубликовано 24 апреля, 2017 Спасибо, за ваш комментарий. Я немного почитал про материалы и решил пока сфокусироваться на эндодонтическом лечении. Значит искать опытного стоматолога с микроскопом? Ссылка на комментарий
Xealer Опубликовано 15 мая, 2017 Автор Поделиться Опубликовано 15 мая, 2017 Сходил к двум микроскопистам. Один стоматолог предлагает лечение каналов, после лечения год наблюдения за зубом и потом коронку. Другой стоматолог предлагает лечение каналов и сразу поставить коронку, так как после лечения получится "эффект клина", который может повредить зуб(может я не точно выражаюсь).Нужно ли ставить коронку сразу после лечения, или можно понаблюдать за зубом? Ссылка на комментарий
M@estro Опубликовано 24 мая, 2017 Поделиться Опубликовано 24 мая, 2017 (изменено) А смысл наблюдать? Или доктор не уверен в том,что делает? Поверьте,на 90 процентов любой специалист может быть уверен в своей эндодонтии,если работает на уровне. Если он зашел в зуб-то сделал все возможное,и дальше- удаление. Да,у любого в практике бывают проколы,но если доктор хороший-проколы редки,и при наличии такой ошибки доктор может себе позволить снять коронку и выполнить повторное лечение/протезирование за свой счет,благо это бывает крайне редко. И да,коронки за 8,20 и 30 могут отличаться,а могут и нет. Потому что выбирать надо врача,надёжно,тщательно,чтобы было 100 % доверие. На форум за советом не набегаетесь Изменено 24 мая, 2017 пользователем M@estro 1 Ссылка на комментарий
Xealer Опубликовано 24 мая, 2017 Автор Поделиться Опубликовано 24 мая, 2017 А мне нравятся не уверенные в себе, но хорошие специалисты. Ссылка на комментарий
Xealer Опубликовано 24 мая, 2017 Автор Поделиться Опубликовано 24 мая, 2017 (изменено) Когда был у стоматолога, она коснулась нерва в 27, я почувствовал боль. Видимо нерв ещё жив.Мне не хотелось бы его лечитьдепульпировать пока он подаёт признаки жизни. + Сложная ситуация на 17 стоматологи говорят, что скорее всего пульпа вскроется и придётся депульпировать.Никак не могу найти хорошего стоматолога, который согласится на моё условие:Если пульпа вскроется, то оставить нерв живым - то есть либо поставить пломбу на открытую пульпу, либо оставить пульпу открытой. Изменено 24 мая, 2017 пользователем Xealer Ссылка на комментарий
St. Опубликовано 24 мая, 2017 Поделиться Опубликовано 24 мая, 2017 И не найдете! хорошие стоматологи не идут на поводу у пациентов, которым чего-то там хочется или не хочется.На все есть свои показания и протокол работы. 2 Ссылка на комментарий
red_butler Опубликовано 25 мая, 2017 Поделиться Опубликовано 25 мая, 2017 Никак не могу найти хорошего стоматолога, который согласится на моё условие: это путь в никуда, и не забывайте, что врач тоже имеет право выбирать пациента 2 Ссылка на комментарий
Xealer Опубликовано 27 мая, 2017 Автор Поделиться Опубликовано 27 мая, 2017 (изменено) Спасибо за ценные советы, это помогает мне лучше разобраться. Сегодня из вики узнал про методы витальной ампутации(статья "Пульпит").Попробую поискать стоматолога, который это умеет, ну и с хорошей оптикой. Ещё немного поборюсь за зуб 17. Но пока, больше всего понравилось лечиться у стоматолога из обычной поликлиники без ничего (без оптики, компьютера и ассистента)... Изменено 27 мая, 2017 пользователем Xealer Ссылка на комментарий
dok1 Опубликовано 27 мая, 2017 Поделиться Опубликовано 27 мая, 2017 Ну и слава Богу. Лишь бы в радость. 1 Ссылка на комментарий
Xealer Опубликовано 4 декабря, 2018 Автор Поделиться Опубликовано 4 декабря, 2018 (изменено) Всем привет! Сделал новый снимок зубов в августе(справа просто вырезал кусок с первого снимка).С зубом 27 ничего не делал всё это время.Подскажите пожалуйста, нужно ли что-то делать с ним теперь? Можно ли просто оставить как есть?Или может можно вернуться к первоначальному плану - запломбировать каналы и надеятся, что инфекция ещё не успела проникнуть под корень? Можно ли по снимку определить, если проблемы под корнем зуба(периодондит и прочее)?Зуб особо не беспокоит и пульпа уже не реагирует. Изменено 4 декабря, 2018 пользователем Xealer Ссылка на комментарий
St. Опубликовано 4 декабря, 2018 Поделиться Опубликовано 4 декабря, 2018 Можно ли просто оставить как есть? Если оставить как есть, то очень скоро корень "сгниет" совсем и придется его удалить совсем Или может можно вернуться к первоначальному плану - запломбировать каналы и надеятся, что инфекция ещё не успела проникнуть под корень? Да, лечение каналов и коронка сверху. Но если отложите еще на год, то лечить будет, увы нечего... 1 Ссылка на комментарий
Xealer Опубликовано 5 декабря, 2018 Автор Поделиться Опубликовано 5 декабря, 2018 (изменено) Если оставить как есть, то очень скоро корень "сгниет" совсем и придется его удалить совсем Да, лечение каналов и коронка сверху. Но если отложите еще на год, то лечить будет, увы нечего... Спасибо за быстрый ответ!Дело в том, что мой стоматалог уже не даёт гарантий при лечении каналов. Говорит, что надёжнее удалить. Вот и думаю стоит ли рисковать. Изменено 5 декабря, 2018 пользователем Xealer Ссылка на комментарий
Xealer Опубликовано 5 декабря, 2018 Автор Поделиться Опубликовано 5 декабря, 2018 (изменено) То есть, насколько я понял, даже если не удалять, то, возможно, придётся лечить периодондит. Поэтому стоматолог, говорит, что лучше удалить. Изменено 5 декабря, 2018 пользователем Xealer Ссылка на комментарий
St. Опубликовано 5 декабря, 2018 Поделиться Опубликовано 5 декабря, 2018 Дело в том, что мой стоматалог уже не даёт гарантий при лечении каналов. Гарантии на лечение каналов не существует как таковой. Процент успеха при лечении пульпита и периодонтита отличается, но не сильно. 1 Ссылка на комментарий
Xealer Опубликовано 7 декабря, 2018 Автор Поделиться Опубликовано 7 декабря, 2018 А если запломбирую каналы, как потом определить, что нужно удалять, ждать пока начнёт болеть? Ссылка на комментарий
St. Опубликовано 7 декабря, 2018 Поделиться Опубликовано 7 декабря, 2018 А если запломбирую каналы, как потом определить, что нужно удалять, ждать пока начнёт болеть?Удалять если повторно начнет болеть или на рентген снимках появится воспаление за пределами корня после лечения. Задайте все интересующие вопросы своему стоматологу перед началом лечения 1 Ссылка на комментарий
Xealer Опубликовано 20 декабря, 2018 Автор Поделиться Опубликовано 20 декабря, 2018 Поговорил со стоматологом, она говорит, что высокая вероятность перодондита, и коронку поставить будет сложно, потому что задняя стенка зуба разрушена. Что скажите? Можно лечить каналы? Ссылка на комментарий
red_butler Опубликовано 20 декабря, 2018 Поделиться Опубликовано 20 декабря, 2018 Меня 2 месяца назад стал беспокоить зуб 27. С зубом 27 ничего не делал всё это время. Что скажите? удаляйте Ссылка на комментарий
red_butler Опубликовано 20 декабря, 2018 Поделиться Опубликовано 20 декабря, 2018 http://forum.stom.ru/topic/27807-mozhno-li-postavit-plombu-na-zub-s-kistoj/?view=findpost&p=472997&hl=stomthttp://forum.stom.ru/topic/30108-otvalilas-plomba-litco-i-desna-napukhla-mozhno-l/?view=findpost&p=512200&hl=stomthttp://forum.stom.ru/topic/31569-spetcificheskoe-oschuschenie-posle-nazhatie-i-otpusk/?view=findpost&p=542174&hl=stomthttp://forum.stom.ru/topic/35244-vozmozhno-li-spiliat-stenku-zuba-s-otlomannym-os/?view=findpost&p=583470&hl=stomthttp://forum.stom.ru/topic/37129-vozmozhno-li-chto-to-sdelat-s-korniami-krajnego-ni/http://forum.stom.ru/topic/37890-lecheniia-korennogo-zuba-kogda-ostalas-menshaia/почитайте, надеюсь Вы не пойдете по этому пути.... Ссылка на комментарий
Xealer Опубликовано 8 ноября, 2020 Автор Поделиться Опубликовано 8 ноября, 2020 Посмотрите пожалуйста изображения с новой компьютерной томографией зуба 27.Не появился ли периодондит?https://gitlab.com/sputn/health_dataЗуб(если его ещё можно так назвать) не беспокоит. Ссылка на комментарий
Xealer Опубликовано 9 ноября, 2020 Автор Поделиться Опубликовано 9 ноября, 2020 И нужно ли переделывать каналы в зубе и заполнять пустоты в них? Ссылка на комментарий
Рекомендуемые сообщения
Для публикации сообщений создайте учётную запись или авторизуйтесь
Вы должны быть пользователем, чтобы оставить комментарий
Создать аккаунт
Зарегистрируйте новый аккаунт в нашем сообществе. Это очень просто!
Регистрация нового пользователяВойти
Уже есть аккаунт? Войти в систему.
Войти