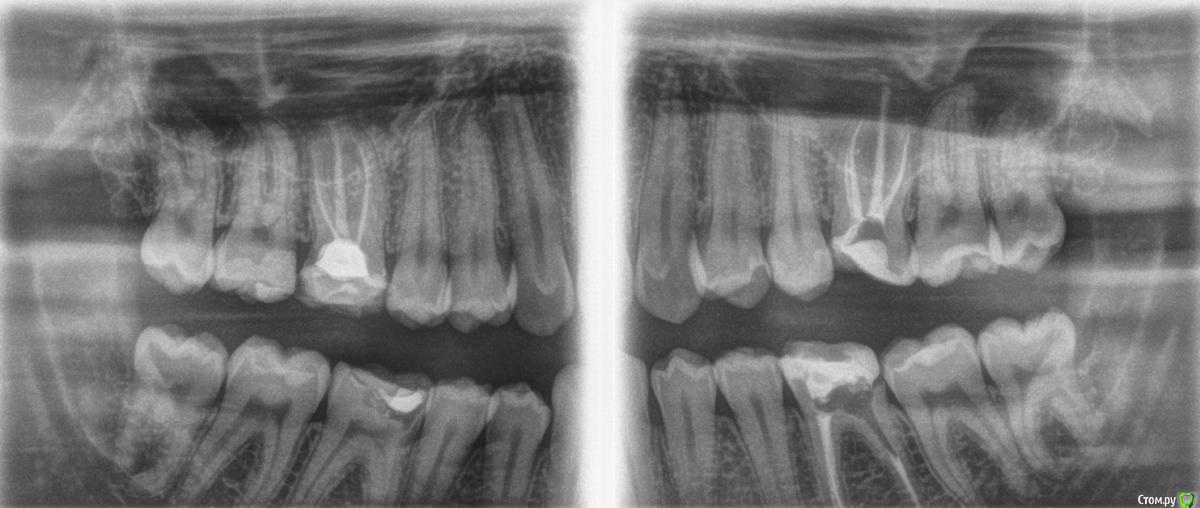
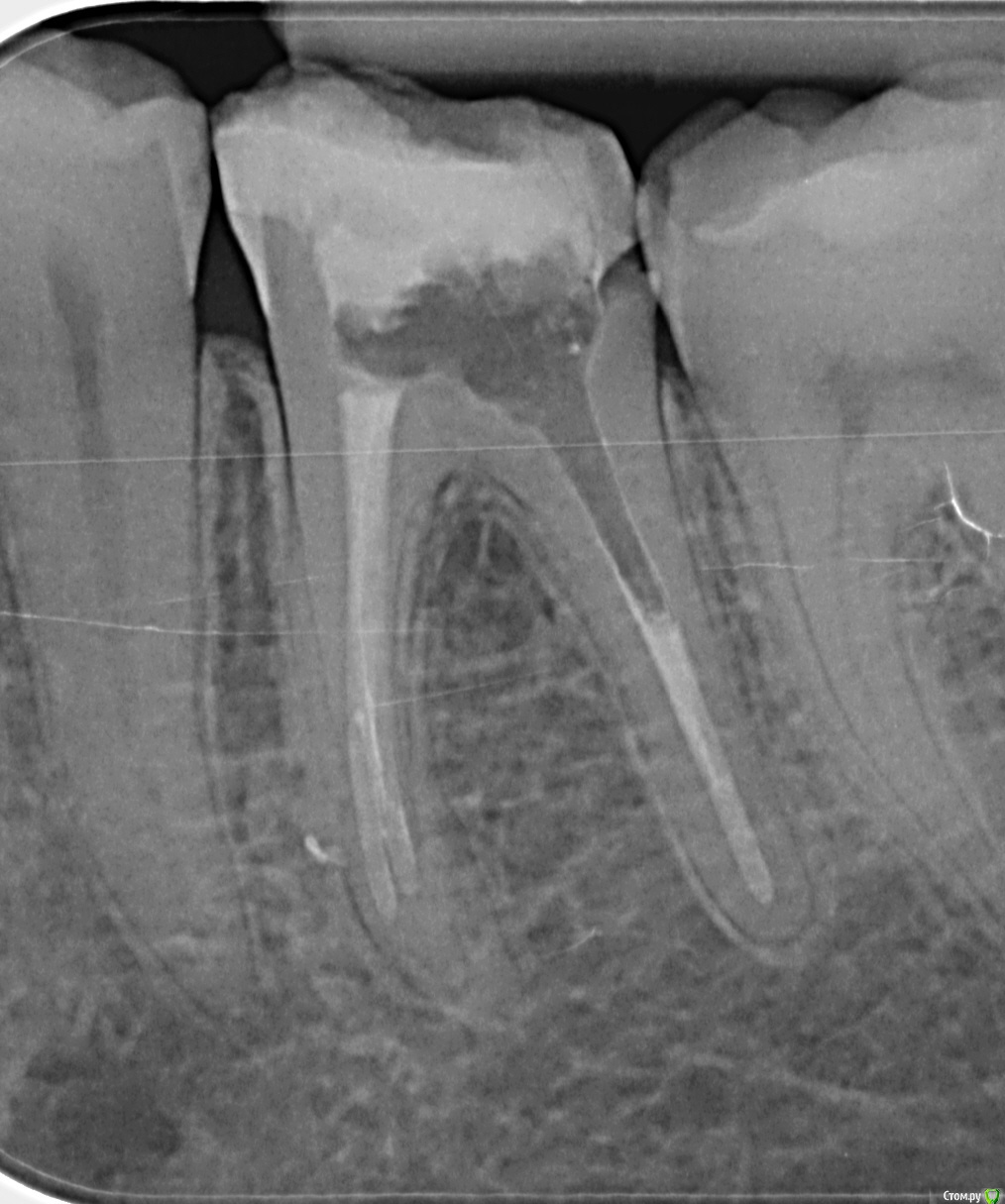
son-leta Опубликовано 19 апреля, 2017 Поделиться Опубликовано 19 апреля, 2017 Добрый вечер! Прошу рекомендаций по поводу лечения всех четырёх 6-к (если ещё что-то, то тоже). Зубы 1.6, 2.6 и 3.6 подготавливаются под покрытие коронками, нужно ли что-то перелечивать? И что делать с 4.6? Мы живём в Германии, врачи говорят разное. Ссылка на комментарий
Pan Опубликовано 22 апреля, 2017 Поделиться Опубликовано 22 апреля, 2017 По моему скромному мнению перелечивания не требуется, если с момента первичного лечения прошло не менее 2-х лет . Ссылка на комментарий
son-leta Опубликовано 22 апреля, 2017 Автор Поделиться Опубликовано 22 апреля, 2017 По моему скромному мнению перелечивания не требуется, если с момента первичного лечения прошло не менее 2-х лет .Спасибо за ответ. 3.6 лечили 1,5 года назад, остальные зубы раньше Ссылка на комментарий
Рекомендуемые сообщения
Для публикации сообщений создайте учётную запись или авторизуйтесь
Вы должны быть пользователем, чтобы оставить комментарий
Создать аккаунт
Зарегистрируйте новый аккаунт в нашем сообществе. Это очень просто!
Регистрация нового пользователяВойти
Уже есть аккаунт? Войти в систему.
Войти