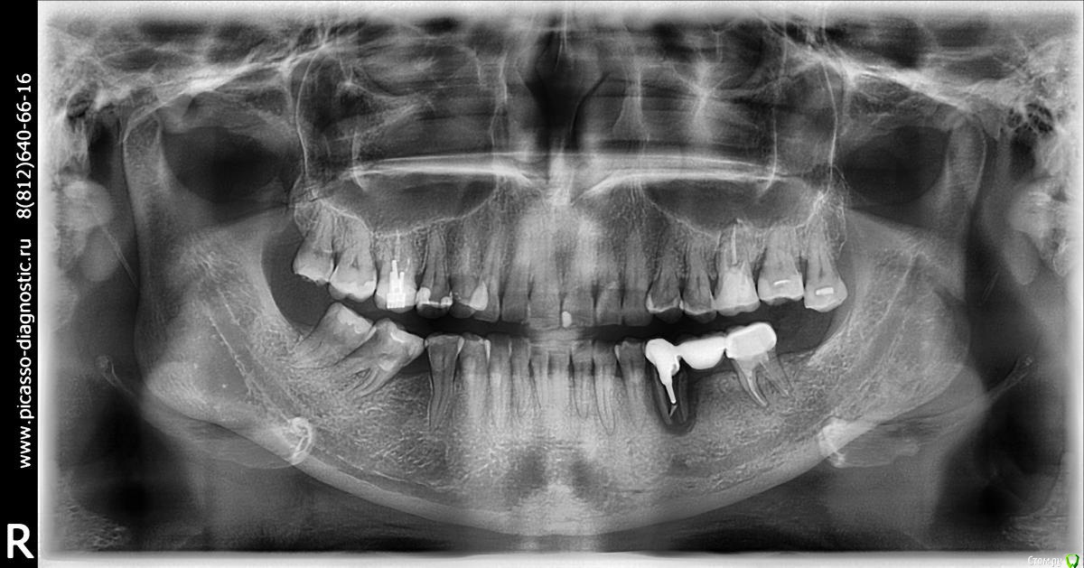
alboard Опубликовано 19 апреля, 2017 Поделиться Опубликовано 19 апреля, 2017 35 уже удален, вестибулярно кортикальная отсутствует. Планируется работа из разряда бюджетных. Соответственно вопрос: насколько будет актуальна конструкция на имплантате в области 36 с консолью в области 35го? 1 Ссылка на комментарий
zubovolok Опубликовано 19 апреля, 2017 Поделиться Опубликовано 19 апреля, 2017 (изменено) 35 уже удален, вестибулярно кортикальная отсутствует. Планируется работа из разряда бюджетных. Соответственно вопрос: насколько будет актуальна конструкция на имплантате в области 36 с консолью в области 35го? много раз на учебах видел консоли самые различные, уверяют что все хорошо. Из личного опыта- делал пару раз, но недавно, буду наблюдать. Изменено 19 апреля, 2017 пользователем zubovolok Ссылка на комментарий
TIGER Опубликовано 19 апреля, 2017 Поделиться Опубликовано 19 апреля, 2017 что с костью с дистальной 34?это тоже возьмите в о внимание Ссылка на комментарий
dok1 Опубликовано 20 апреля, 2017 Поделиться Опубликовано 20 апреля, 2017 Ставьте имплант в середину дефекта и в разные сторону будет свисать по половинке фасеток. Но жевательный отдел....? Ссылка на комментарий
руслан64 Опубликовано 20 апреля, 2017 Поделиться Опубликовано 20 апреля, 2017 37 ослаблен и раскачен. Может подумать о 36+37 с консолью на 35? Ссылка на комментарий
Macor Опубликовано 26 апреля, 2017 Поделиться Опубликовано 26 апреля, 2017 (изменено) 37 ослаблен и раскачен. Может подумать о 36+37 с консолью на 35?А если чз 3-4 мес имплант в 3.5 и 3.7? Изменено 26 апреля, 2017 пользователем Macor Ссылка на комментарий
Sampson Опубликовано 6 мая, 2017 Поделиться Опубликовано 6 мая, 2017 (изменено) Ничего хорошего вы от этой работы не получите. Имплант либо абатмент лопнет, у меня лопнул шестигранник абатмента alphabio. Изменено 7 мая, 2017 пользователем Sampson Ссылка на комментарий
Dman Опубликовано 12 мая, 2017 Поделиться Опубликовано 12 мая, 2017 (изменено) Что если просто снять мост, удалить 35, перелечить 37. через 3-4 месяца котрольное кт и установка 35,36+коронка на зубе 37. Долго, но надежно и гарантировано оп, 35 уже удален, значит просто контрольное кт и возможно установка с пластикой. Если совсем бюджет, то лучше мост на зубах Изменено 12 мая, 2017 пользователем Dman Ссылка на комментарий
Рекомендуемые сообщения
Для публикации сообщений создайте учётную запись или авторизуйтесь
Вы должны быть пользователем, чтобы оставить комментарий
Создать аккаунт
Зарегистрируйте новый аккаунт в нашем сообществе. Это очень просто!
Регистрация нового пользователяВойти
Уже есть аккаунт? Войти в систему.
Войти