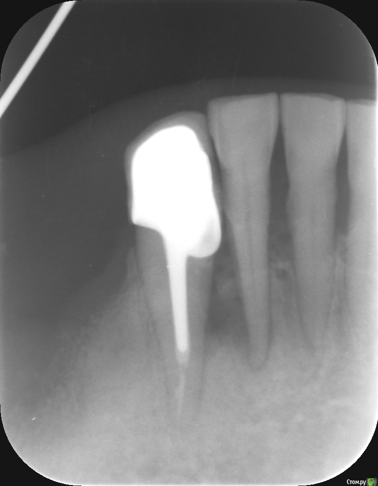
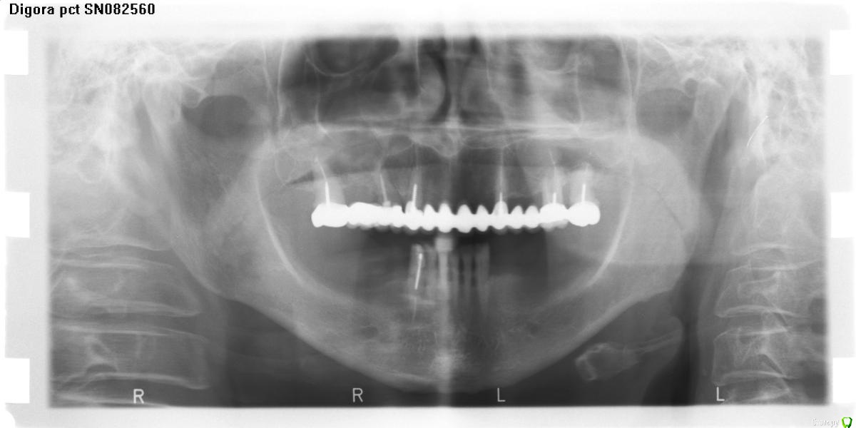
jsvc Опубликовано 17 апреля, 2017 Поделиться Опубликовано 17 апреля, 2017 Здравствуйте. подскажите пожалуйста. На очередном осмотре стоматолог сказал имеется воспаление между 42 и 43. Надо удалять 42.Предыстория такова: год назад перелечен 43 и поставлена вкладка+коронка как опора под бюгельный протез.Что-то не согласен с удалением. Мне кажется что причина воспаления в 43 (произошел скол стенки корня + нависающая коронка).Можно ли как-нибудь вылечить данную ситуацию и сохранить 42 и 43? Ни 43 ни 42 не болят.Заранее спасибо за ответ.Приолжение: панорамный февраль 2016 (качество правда никакое)прицельный март 2017 Ссылка на комментарий
shishok Опубликовано 17 апреля, 2017 Поделиться Опубликовано 17 апреля, 2017 Я бы проверила 42 на витальность.Если "мертвый"-перелечить. Ссылка на комментарий
jsvc Опубликовано 17 апреля, 2017 Автор Поделиться Опубликовано 17 апреля, 2017 (изменено) Спасибо. А с 43 что делать? Ведь лечение 42 не уберет воспалительный процесс между 42 и 43. Изменено 17 апреля, 2017 пользователем jsvc Ссылка на комментарий
колесников Опубликовано 17 апреля, 2017 Поделиться Опубликовано 17 апреля, 2017 Оптг до протезирования 43? У Вас ещё проблемные 32,31. Надо в комплексе решать. Ссылка на комментарий
jsvc Опубликовано 18 апреля, 2017 Автор Поделиться Опубликовано 18 апреля, 2017 (изменено) Да, ОПТГ перед протезированием год назад. В ходе протезирования установлена коронка+вкладка на 43 и коронка на 33. На них опирается бюгельный протез. Но что делать с воспалением между 43 и 42?Про 32 и 31 врач при осмотре ничего не сказал. Изменено 18 апреля, 2017 пользователем jsvc Ссылка на комментарий
shishok Опубликовано 18 апреля, 2017 Поделиться Опубликовано 18 апреля, 2017 Ведь лечение 42 не уберет воспалительный процесс между 42 и 43.А почему нет?Если источник воспаления 42 зуб,то вполне возможно,что после его лечения воспалительный очаг уменьшится или исчезнет. Ссылка на комментарий
jsvc Опубликовано 18 апреля, 2017 Автор Поделиться Опубликовано 18 апреля, 2017 (изменено) Я конечно не стоматолог, но как мне кажется прицельный снимок однозначно указывает на то что источником воспаления является 43 (см. форму очага воспаления во вложении).А увеличенная периодонтальная щель у 42 это следствие инфицирования периодонта из очага воспаления. Изменено 18 апреля, 2017 пользователем jsvc Ссылка на комментарий
jsvc Опубликовано 18 апреля, 2017 Автор Поделиться Опубликовано 18 апреля, 2017 (изменено) Оптг до протезирования 43? У Вас ещё проблемные 32,31. Надо в комплексе решатьРешать в комплексе если правильно понимаю = 1. удаляем все зубы 2. полный съемный протез либо условно съемный All-On-4 Изменено 18 апреля, 2017 пользователем jsvc Ссылка на комментарий
Рекомендуемые сообщения
Для публикации сообщений создайте учётную запись или авторизуйтесь
Вы должны быть пользователем, чтобы оставить комментарий
Создать аккаунт
Зарегистрируйте новый аккаунт в нашем сообществе. Это очень просто!
Регистрация нового пользователяВойти
Уже есть аккаунт? Войти в систему.
Войти