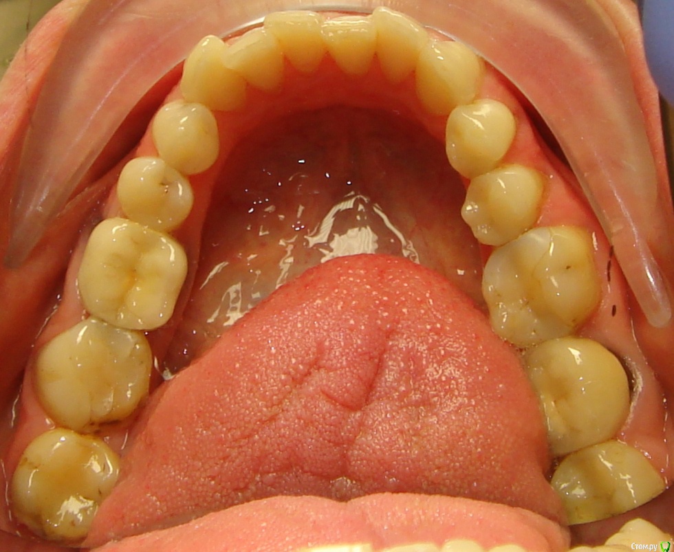
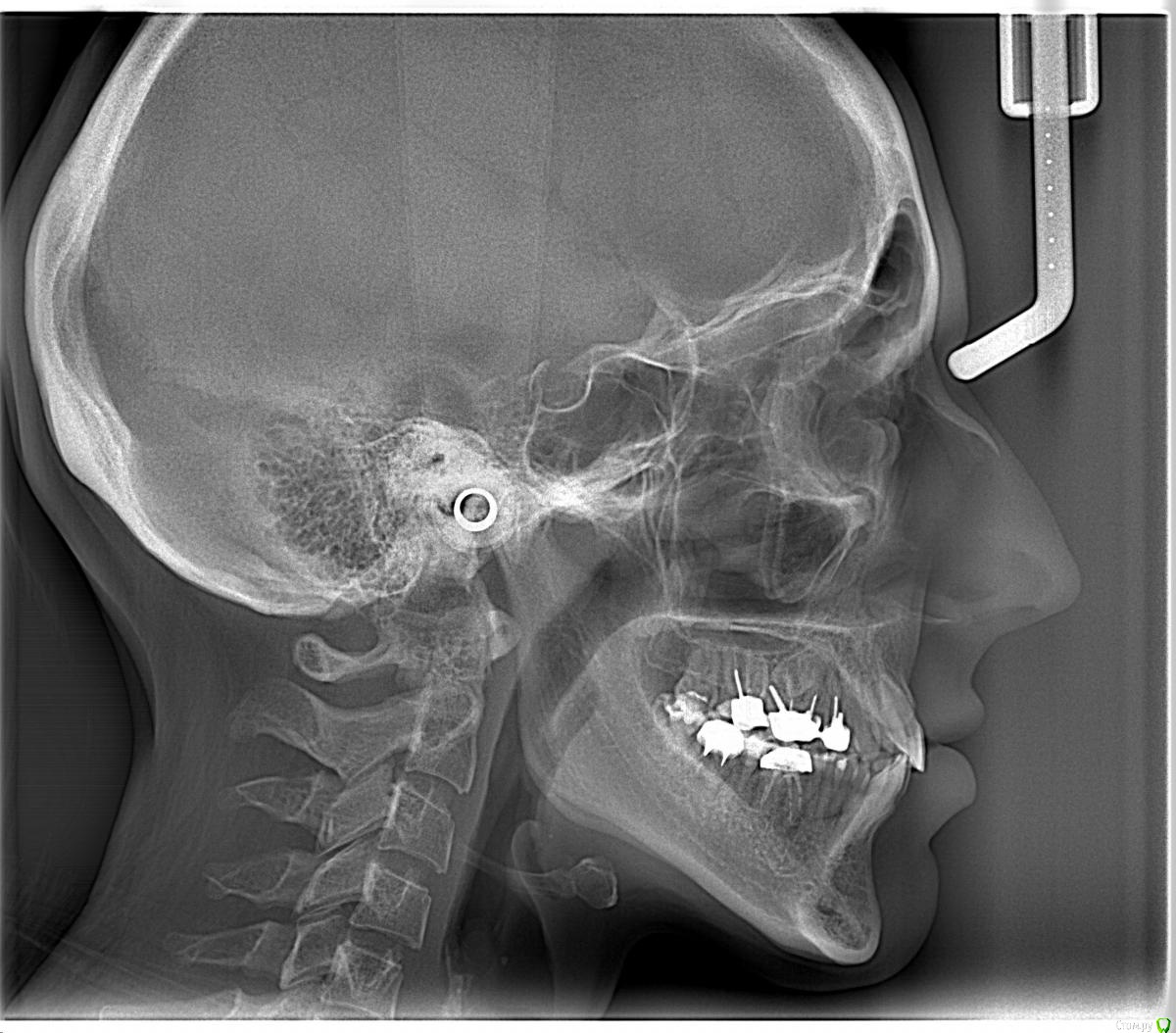
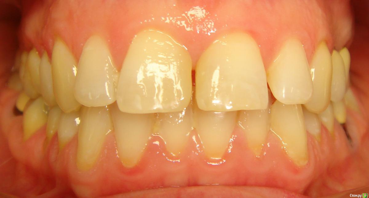
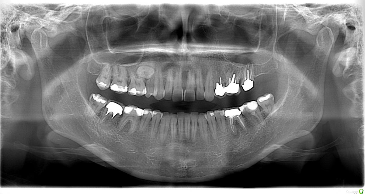
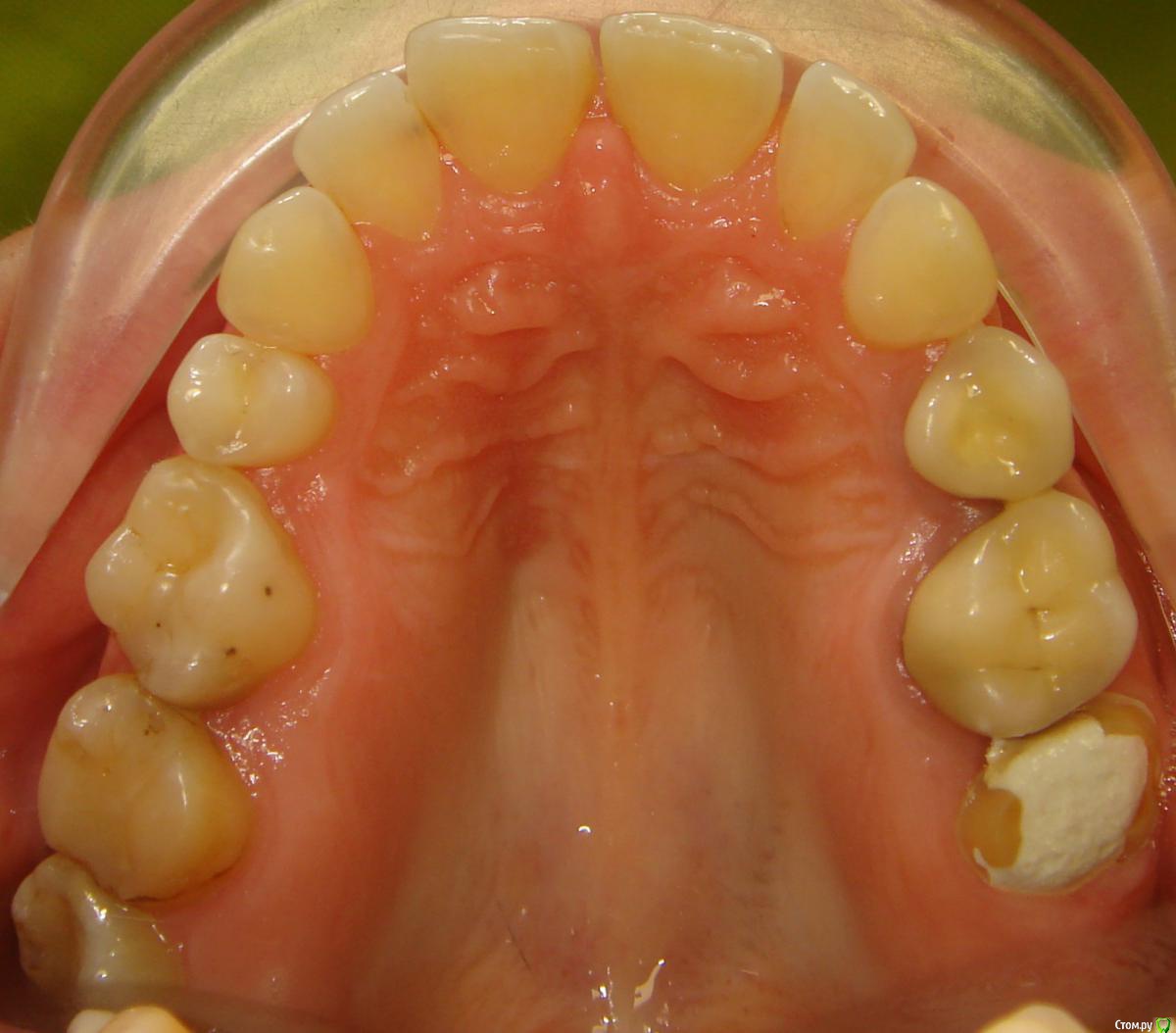
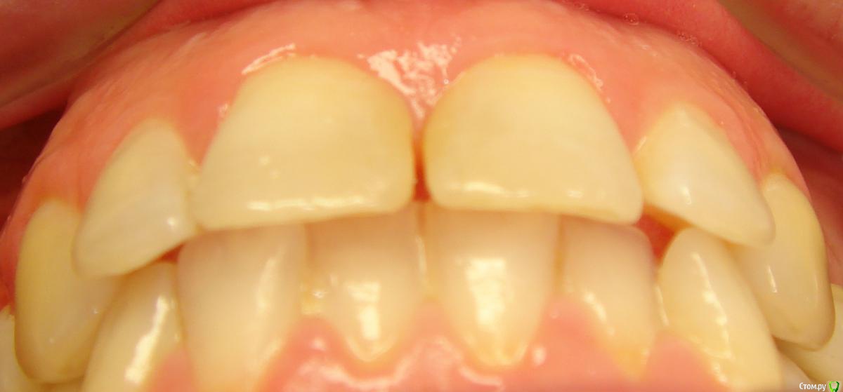
Opdihatop Опубликовано 16 апреля, 2017 Поделиться Опубликовано 16 апреля, 2017 Здравствуйте, коллеги! Что вы думаете по поводу этого случая? Объективно: вертикальный рост, первый костный класс. Незначительная протрузия резцов в/ч, нормальный наклон резцов н/ч. 15 зуб ретенирован. Значительное сужение в/ч, сужение н/ч.Вопросов 2: 1) Тянуть ли 15 зуб? 2) Планирую расширять при помощи SARPE, что делать с образовавшимся местом (которое и так сейчас уже есть)? Мне кажется такие большие реставрации будут некрасивыми. Ссылка на комментарий
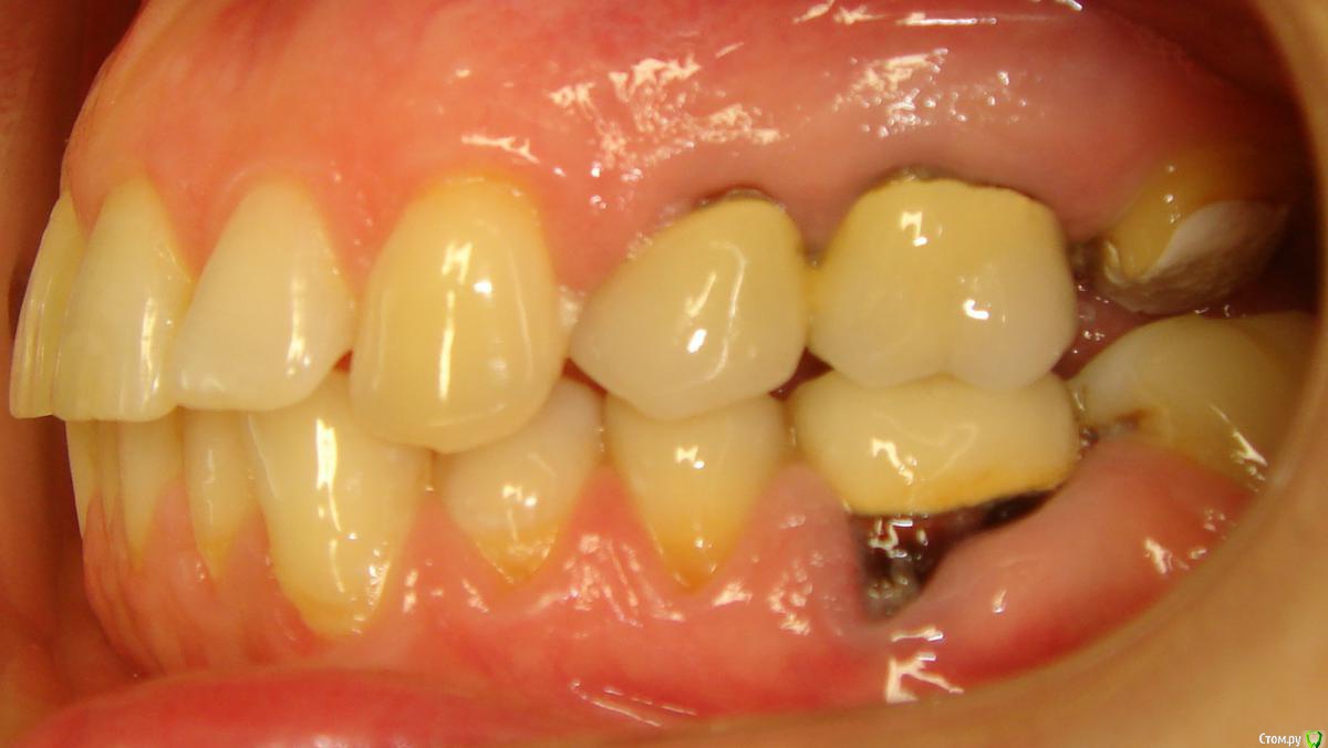
Brigita Опубликовано 16 апреля, 2017 Поделиться Опубликовано 16 апреля, 2017 (изменено) Здравствуйте, коллеги! Что вы думаете по поводу этого случая? Объективно: вертикальный рост, первый костный класс. Незначительная протрузия резцов в/ч, нормальный наклон резцов н/ч. 15 зуб ретенирован. Значительное сужение в/ч, сужение н/ч.Вопросов 2: 1) Тянуть ли 15 зуб? 2) Планирую расширять при помощи SARPE, что делать с образовавшимся местом (которое и так сейчас уже есть)? Мне кажется такие большие реставрации будут некрасивыми.1) а куда его?2)Реставрации передних зубов имеется ввиду? Не такой большой промежуток, можно и реставрацию, если виниры не может позволить. расширение на SARPE - в таком возрасте без хирургии маловероятно, Вы же сами знаете, получите зубоальвеолярное небольшое расширение и наклон. Такой тонкий биотип, что там еще с кортикалкой будет. Мосты спаянные, вкладки. Чтобы узнать положение 5го надо КТ сделать, где у него корень - пойдет ли. Он видимо в небной костиА вообще - отдайте ее ортопедам. Она сама то что хочет? Изменено 16 апреля, 2017 пользователем Brigita Ссылка на комментарий
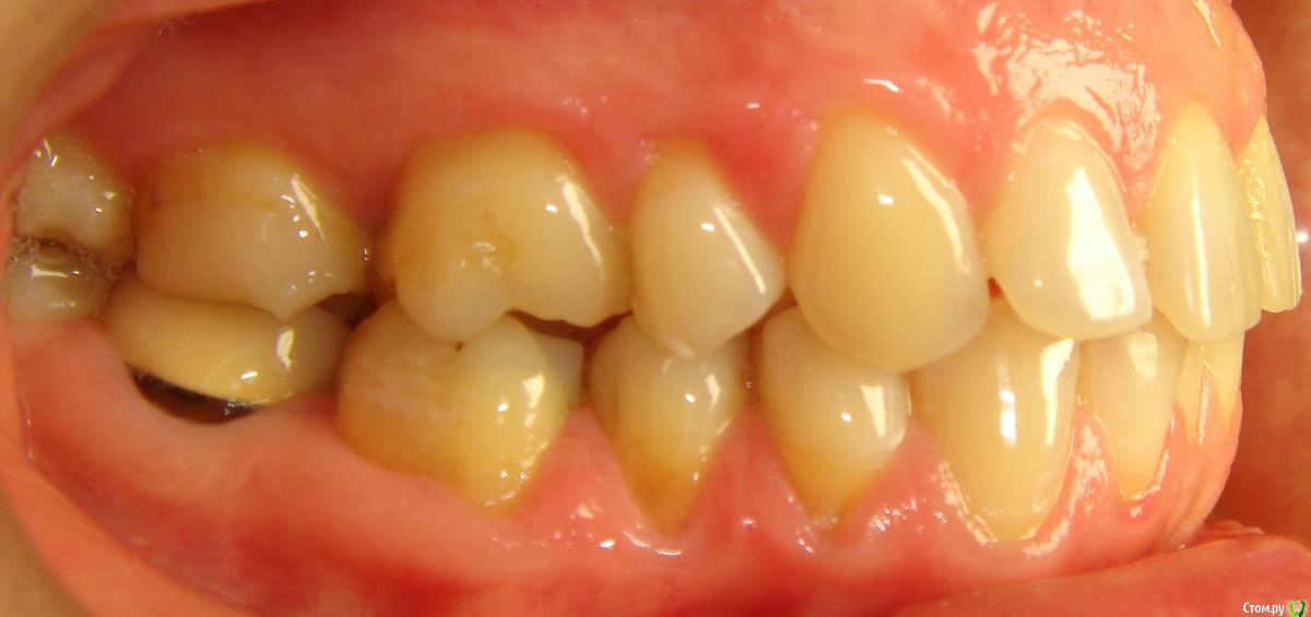
Opdihatop Опубликовано 16 апреля, 2017 Автор Поделиться Опубликовано 16 апреля, 2017 Она сама то что хочет Черные треугольники заполнить и рецессии убрать. Ссылка на комментарий
Opdihatop Опубликовано 16 апреля, 2017 Автор Поделиться Опубликовано 16 апреля, 2017 Не такой большой промежуток, можно и реставрацию, если виниры совсем не хочет Я имел ввиду как заполнить место, которое образуется после САРПЕ. Ссылка на комментарий
Brigita Опубликовано 16 апреля, 2017 Поделиться Опубликовано 16 апреля, 2017 Черные треугольники заполнить и рецессии убрать. я вот чего то не понимаю наверно.. где треугольники, которые она хочет убрать? я вижу диастему, трему 22-21, кариес 11-12, многочисленные рецессии, плохие ортопедические коронки, неправильно выполненные вкладки ( а может правильно? я не ортопед), скученность нижних зубов. А вообще вот интересно - в каком возрасте максимально возможно расширение на SARPE, у кого какой опыт? Ссылка на комментарий
Opdihatop Опубликовано 17 апреля, 2017 Автор Поделиться Опубликовано 17 апреля, 2017 где треугольники Я имел ввиду щечные коридоры. Неправильно назвал, все-таки праздник был. Ссылка на комментарий
Рекомендуемые сообщения
Для публикации сообщений создайте учётную запись или авторизуйтесь
Вы должны быть пользователем, чтобы оставить комментарий
Создать аккаунт
Зарегистрируйте новый аккаунт в нашем сообществе. Это очень просто!
Регистрация нового пользователяВойти
Уже есть аккаунт? Войти в систему.
Войти