Перейти к содержанию
Стоматология для всех

Удалять или лечить?


Рекомендуемые сообщения

Здравствуйте.

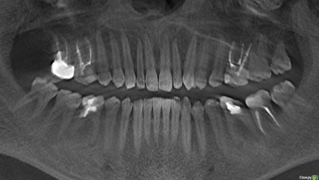
7 зуб с культевой вкладкой. Есть возможность бесплатно перелечить или удалить и поставить имплант (бесплатно). Что выбрать?

post-44930-0-05936700-1492162251_thumb.png

post-44930-0-37922100-1492162255_thumb.png

post-44930-0-63755100-1492162273_thumb.png

Ссылка на комментарий

Качество снимков не позволяет их интерпретировать

 

 

Есть возможность бесплатно перелечить или удалить и поставить имплант (бесплатно).

это как? 

Ссылка на комментарий

Как сказали выше, качество снимков плохое. Подобие культевой вкладки на снимке еле улавливаю, не исключено что можно перелечить. Если говорить об импланте, нужно сделать КТ.

P.S. Бесплатный только сыр в мышеловке.

Ссылка на комментарий

Для публикации сообщений создайте учётную запись или авторизуйтесь

Вы должны быть пользователем, чтобы оставить комментарий

Создать аккаунт

Зарегистрируйте новый аккаунт в нашем сообществе. Это очень просто!

Регистрация нового пользователя

Войти

Уже есть аккаунт? Войти в систему.

Войти
×
×
  • Создать...
Вверх