Перейти к содержанию
Стоматология для всех

Помогите найти причину


Katerina-86

Рекомендуемые сообщения

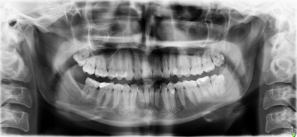
Добрый день! Подскажите пожалуйста,в феврале обратилась к стоматологу,залечили 5,6,7 зуб справа. 8-на удаление. снимок не делали.

Через несколько дней 6 или 7 зуб стал реагировать на сладкое,холодное. от сладкого сводит всю челюсть верхнюю. Боли проходят,если прополоскать теплой водой.Через неделю мне удалять 8-ку ,если дело не в ней,хотелось бы разобраться сначала с этими зубами. В каком зубе причина?

post-51277-0-74225400-1492005802_thumb.jpg

Ссылка на комментарий

Для публикации сообщений создайте учётную запись или авторизуйтесь

Вы должны быть пользователем, чтобы оставить комментарий

Создать аккаунт

Зарегистрируйте новый аккаунт в нашем сообществе. Это очень просто!

Регистрация нового пользователя

Войти

Уже есть аккаунт? Войти в систему.

Войти
×
×
  • Создать...
Вверх