lunatik--26 Опубликовано 11 апреля, 2017 Поделиться Опубликовано 11 апреля, 2017 Добрый день!Беспокоит 47 зуб, но есть предыстория:- В январе этого года несколько дней были сильные боли в районе этого зуба, но было непонятно, какой зуб болит. Обезболивающее не помогало, были длительные боли на горячее (аж слезы наворачивались) и ночью в лежачем положении боль усиливалась. Ничего не помогало от боли кроме холодной воды, взятой в рот. Но т.к. в это время резался зуб мудрости рядом, я подумала, что это он болит, и удалила его. Провела несколько дней на кетаноле и антибиотиках (т.к. удаление было непростым – ретинированная восьмерка) и боли не беспокоили потом.- Потом острых болей не было в 47 зубе, но при накусывании и при пережевывании пищи был дискомфорт. - Сейчас боль при нажатии на зуб усилилась, могу есть только мягкую пищу. Поняла, что проблема всё-таки в 47 зубе и пошла к стоматологу. - Мне сделали 2 раза ЭОД, но до 100 зуб не реагировал. Если по нему постукивать тупым концом зонда, то возникают неприятные ощущения. На холод не проверяли реакцию. Сделали снимок, но сказали, что зуб здоров и лечить его не надо. Я в этом сомневаюсь, поэтому прошу Вашего совета. Прилагаю свежий снимок. Может под пломбой процессы пошли или в корнях зуба? Пломбу ставили мне лет 10 назад, а 2 года назад на ней сбоку надставили новую пломбу, т.к. было отслоение от зуба. Ссылка на комментарий
St. Опубликовано 11 апреля, 2017 Поделиться Опубликовано 11 апреля, 2017 Снимок так-себе по качеству, но из описания похоже что нерв сначала воспалился, а сейчас уже умер.Чтобы узнать наверняка можно начать убирать старую пломбу без заморозки, если будет чувствительно, то уколоть заморозку и поставить пломбу, если нет - лечить каналы. 1 Ссылка на комментарий
DmitrySH Опубликовано 11 апреля, 2017 Поделиться Опубликовано 11 апреля, 2017 Да, по описанию периодонтит. Лечение примерно одинаковое что пульпит что периодонтит. Но как уже сказали, лечение лучше начать без анестезии, тогда точно будет понятно. Ссылка на комментарий
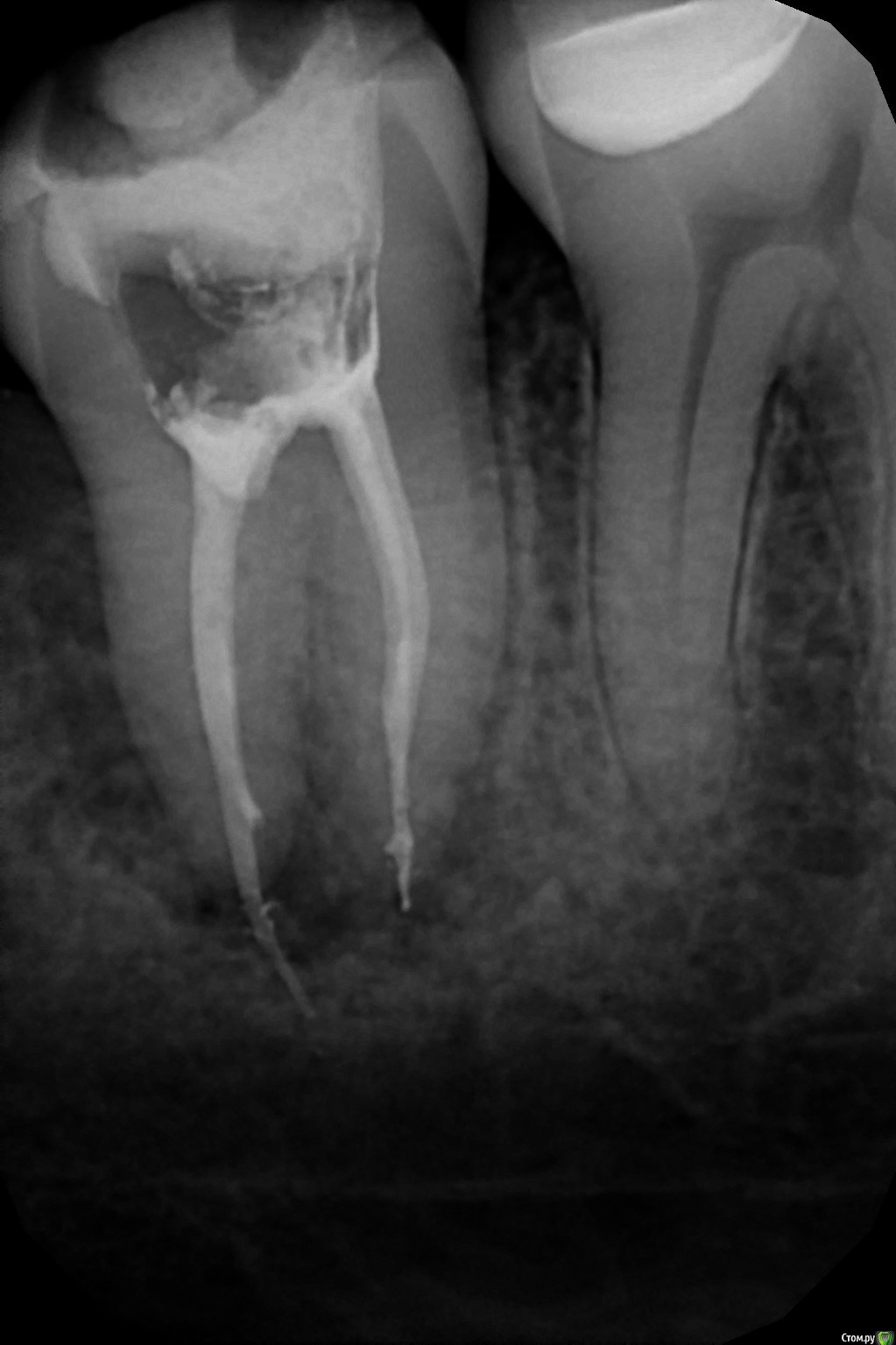
lunatik--26 Опубликовано 3 мая, 2017 Автор Поделиться Опубликовано 3 мая, 2017 (изменено) Полечила зуб. Диагноз поставили периодонтит. Прочистили каналы (2 шт.), положили лекарство и 2 недели с временной пломбой сказали ходить. Потом промыли и запломбировали каналы и опять поставили временную пломбу. Я сделала снимок и на нем видно, что часть пломбировочного материала вышла за пределы зуба. Но боли нет, каналы пломбировали дней 5 назад. Как считаете, надо ли переделывать пломбировку канала? Изменено 3 мая, 2017 пользователем lunatik--26 Ссылка на комментарий
St. Опубликовано 3 мая, 2017 Поделиться Опубликовано 3 мая, 2017 По последнему снимку точно периодонтит))Из описания все сделано верно. Да, есть избыточный материал за пределами корня, однако острой необходимости что-либо переделывать я не вижу. Тем более если ничего не болит. Понаблюдайте за зубом. Через 6 и 12 мес нужно будет сделать контрольные снимки Ссылка на комментарий
Рекомендуемые сообщения
Для публикации сообщений создайте учётную запись или авторизуйтесь
Вы должны быть пользователем, чтобы оставить комментарий
Создать аккаунт
Зарегистрируйте новый аккаунт в нашем сообществе. Это очень просто!
Регистрация нового пользователяВойти
Уже есть аккаунт? Войти в систему.
Войти