Перейти к содержанию
Стоматология для всех

Синус-шминус и фперде


Рекомендуемые сообщения

В общем, решил я разбавить крутые работы гуру форума чем-то обыденным от новичка

 

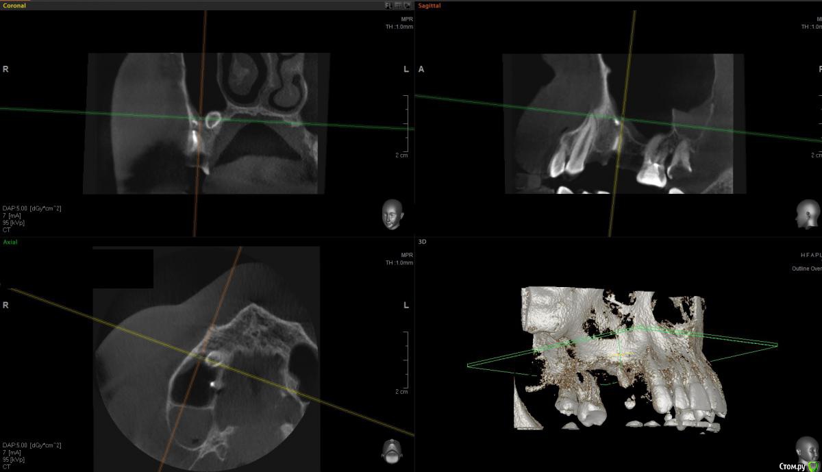
Пришел пациент с вопросом о 1.5. Поговорили о варианте одномоментного всего. Ушел на КТ. Принес такое.

 

Я сначала решил, что в пазухе новообразование. Посмотрев внимательнее подумал что корень. Оказалось нечто среднее - недоформировавшийся корень, вросший в стенки пазухи.

 

post-39476-0-31248400-1491829081_thumb.jpg

 

В день вмешательства обрадовала ассистент - оказывается заказ "открытый синус лифт" еще не предполагает заказа на комплект гладилок. Сетевые клиники такие сетевые. Пришлось дедовским способом - турбинка, серповидная и распатор.

 

post-39476-0-67965500-1491829216_thumb.png

post-39476-0-00686400-1491829301_thumb.pngpost-39476-0-85244100-1491829322_thumb.pngpost-39476-0-63176400-1491829348_thumb.pngpost-39476-0-14452000-1491829365_thumb.pngpost-39476-0-89346000-1491829393_thumb.pngpost-39476-0-77935100-1491829416_thumb.png

post-39476-0-95784500-1491829515_thumb.png

 

 

В начале планировал три имплантата, между зубами - 18,5 мм, в притык. Когда делал анестезию посмотрел наконец-то в рот (не смейтесь, внимательно посмотрел) - подумал, что моляр и два премоляра ортопед может не всунуть. Короче, передумал и решил ставить два и если че - пусть мостик или консоль делает.

 

 

post-39476-0-20587600-1491829543_thumb.pngpost-39476-0-72650200-1491829557_thumb.pngpost-39476-0-01103300-1491829573_thumb.pngpost-39476-0-55620900-1491829587_thumb.png

 

 

За качество некоторых фото прошу прощения, что мог делал сам, но в гуще событий доверил камеру второму ассистенту. Уговорить человека не прожимать спуск без задержки на автофокус не удалось, как и заставить приблизиться ближе чем на метр. Радует что когда закупался то выбрал макросотку - на 60мм которую мне предлагали вообще нифига не видно было бы.

 

Ну и, ессно, жду замечаний и критику. Есть что-то что знаю сам, но не будет лишним услышать это из чужих уст, да и расширить мой кругозор ошибок никто не запрещает.

 

Спасибо!

  • Поддерживаю 6
Ссылка на комментарий

Ах да, забыл совсем. Удалил по ходу действия 1.8, обратите внимание на пазуху по КТ - септа в проекции 1.7 так удачно отделила отекшую слизистую от области синуса)

Ссылка на комментарий

а почему в позицию 14 то не поставили?

Фотки хоть обрабатывайте, очень тяжелые и не кадрированные. Есть очень простые программы типа ACDSEE

  • Поддерживаю 1
Ссылка на комментарий

а почему в позицию 14 то не поставили?

Фотки хоть обрабатывайте, очень тяжелые и не кадрированные. Есть очень простые программы типа ACDSEE

Это я косанул. Хотел ровнехонько в 1.4 а вышло немного дистальнее. Ортопед, правда, уже одобрил, я немного волновался в первые дни.

 

А по поводу обработки фоток не очень понял. Я их на планшете режу в редакторе, стараюсь оставлять только самое нужное (те, где в кадр попала щетина и т.п. просто сняты с большого расстояния, если кадрировать больше они вообще мелкие будут), только чего-то не покрутил их нормально, за это извиняюсь.

Изменено пользователем Irouil
Ссылка на комментарий

а почему в позицию 14 то не поставили?

Фотки хоть обрабатывайте, очень тяжелые и не кадрированные. Есть очень простые программы типа ACDSEE

Есть еще Fast Stone, мне нравиться

  • Поддерживаю 1
Ссылка на комментарий

Для публикации сообщений создайте учётную запись или авторизуйтесь

Вы должны быть пользователем, чтобы оставить комментарий

Создать аккаунт

Зарегистрируйте новый аккаунт в нашем сообществе. Это очень просто!

Регистрация нового пользователя

Войти

Уже есть аккаунт? Войти в систему.

Войти
×
×
  • Создать...
Вверх