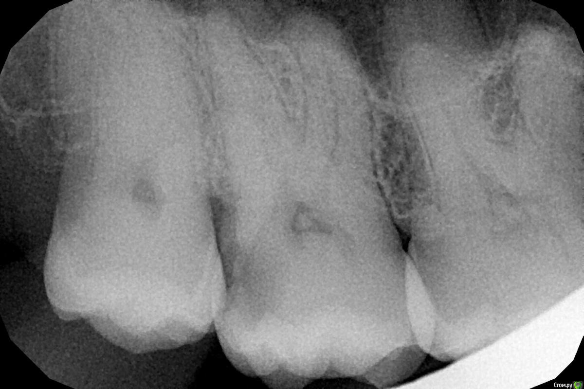
legoz1 Опубликовано 9 апреля, 2017 Поделиться Опубликовано 9 апреля, 2017 Здравствуйте. Болела подолгу десна после еды, сделал снимок. Предложили сверлить каналы и ставить пломбу за очень приличную сумму, но я ничего ужасающего на снимке не вижу. После чистки от камня десна беспокоит, но значительно меньше. Подскажите, есть ли здесь действительно зуб, требующий капремонта? Спасибо. Ссылка на комментарий
Stomart Опубликовано 9 апреля, 2017 Поделиться Опубликовано 9 апреля, 2017 Зуб по центру требует капремонта срочного. Ссылка на комментарий
legoz1 Опубликовано 9 апреля, 2017 Автор Поделиться Опубликовано 9 апреля, 2017 Спасибо за добрый совет, уважаемый! А ведь на вид даже и не подумаешь - стоит целехонький, как свежий огурчик.Собственно, они все у меня с виду абсолютно здоровые, что теперь настораживает как-то. Ссылка на комментарий
red_butler Опубликовано 9 апреля, 2017 Поделиться Опубликовано 9 апреля, 2017 Седьмой лечить, восьмой удалить. Ссылка на комментарий
legoz1 Опубликовано 10 апреля, 2017 Автор Поделиться Опубликовано 10 апреля, 2017 Седьмой лечить, восьмой удалить.С 7-м понятно, а зачем 8-й удалять? Ссылка на комментарий
red_butler Опубликовано 10 апреля, 2017 Поделиться Опубликовано 10 апреля, 2017 С 7-м понятно, а зачем 8-й удалять?Он создает проблемы с осуществлением индивидуальной гигиеной и по сути явился причиной кариеса. Ссылка на комментарий
legoz1 Опубликовано 10 апреля, 2017 Автор Поделиться Опубликовано 10 апреля, 2017 (изменено) Он создает проблемы с осуществлением индивидуальной гигиеной и по сути явился причиной кариеса.Дельный совет. Спасибо.Надо будет все свои 7-ки и 8-ки проверить. С виду здоровые, а что внутри - неизвестно. Прежде никогда кариеса не было. И еще вопрос: 8-ку лучше удалить до или после лечения 7-ки? Изменено 10 апреля, 2017 пользователем legoz1 Ссылка на комментарий
red_butler Опубликовано 10 апреля, 2017 Поделиться Опубликовано 10 апреля, 2017 И еще вопрос: 8-ку лучше удалить до или после лечения 7-ки? возможны оба варианта Ссылка на комментарий
legoz1 Опубликовано 16 апреля, 2017 Автор Поделиться Опубликовано 16 апреля, 2017 И все-таки не могу понять, почему после чистки камня вдруг ушли все прежде беспокоящие меня болевые ощущения и регулярные, послеобеденные распухания десны? Может это все же не кариес, а нечто инородное, которое на снимке дает сходство с кариесом, но удаленное обильной пескоструйкой?! Сейчас эта 7-ка меня абсолютно не беспокоит. Даже как-то странно. Ссылка на комментарий
red_butler Опубликовано 16 апреля, 2017 Поделиться Опубликовано 16 апреля, 2017 Если подождать, то первая Ваша бессонная ночь, снимет все вопросы 1 Ссылка на комментарий
legoz1 Опубликовано 19 апреля, 2017 Автор Поделиться Опубликовано 19 апреля, 2017 На Ваш взгляд, можно ли в моем случае сохранить пульпу? Мне предложили залечить пульпит только с ее полным и однозначным удалением. Спасибо. Ссылка на комментарий
red_butler Опубликовано 19 апреля, 2017 Поделиться Опубликовано 19 апреля, 2017 На Ваш взгляд, можно ли в моем случае сохранить пульпу? Мне предложили залечить пульпит только с ее полным и однозначным удалением. Спасибо.только по снимку не ответить, решение примет врач после препарирования кариозной полости. Ссылка на комментарий
legoz1 Опубликовано 19 апреля, 2017 Автор Поделиться Опубликовано 19 апреля, 2017 (изменено) Все опрошенные врачи настроены на поточную методу, а сам себя я препарировать,к сожалению, не могу. Изменено 19 апреля, 2017 пользователем legoz1 Ссылка на комментарий
legoz1 Опубликовано 20 апреля, 2017 Автор Поделиться Опубликовано 20 апреля, 2017 Для меня так и осталось загадкой, почему после чистки от камня в этой 7-ке вдруг исчезли все болевые ощущения. Кстати, после этой процедуры врач посоветовал использовать определенную марку зубной пасты. Может, в совокупности, чистка плюс новая паста, и дали такой положительный эффект?! Ссылка на комментарий
St. Опубликовано 20 апреля, 2017 Поделиться Опубликовано 20 апреля, 2017 Разрушение зуба близко к десне. Скорее всего после чистки и пасты для десен воспаление десны там уменьшилось, поэтому и не беспокоит.Но проблема с зубом все равно осталась и чем больше затягивать, тем больше вероятность что он начнет болеть. Тогда придется 100% "уборать нерв", и искать стоматолога как припечет после бессонной ночи с зубной болью. 1 Ссылка на комментарий
legoz1 Опубликовано 21 апреля, 2017 Автор Поделиться Опубликовано 21 апреля, 2017 (изменено) После вскрытия полости, врачом было принято решение наложить на пораженный участок фторсодержащий состав и установить пломбу - нервы не удалять. При возникновении болей - депульпация, без вариантов. Благодарю всех за помощь! Изменено 21 апреля, 2017 пользователем legoz1 Ссылка на комментарий
red_butler Опубликовано 25 апреля, 2017 Поделиться Опубликовано 25 апреля, 2017 Благодарю всех за помощь! Тему можно закрывать? Ссылка на комментарий
Рекомендуемые сообщения
Для публикации сообщений создайте учётную запись или авторизуйтесь
Вы должны быть пользователем, чтобы оставить комментарий
Создать аккаунт
Зарегистрируйте новый аккаунт в нашем сообществе. Это очень просто!
Регистрация нового пользователяВойти
Уже есть аккаунт? Войти в систему.
Войти