Kol1984 Опубликовано 7 апреля, 2017 Поделиться Опубликовано 7 апреля, 2017 (изменено) Добрый день коллеги! Обращаюсь за помощью! Ситуация такая: пациентка ранее протезировалась бюгельным протезом на вч, резковыраженная атрофия альвеолярного отростка, крючком расшатала 14 зуб, удалили, имеем 13,12,11,21,22,23,24 и концевые дефекты. Я три года назад протезирую 12,11,21,22- циркониевые коронки, и бюгельный протез на телескопах на 13,23,24 зубах, вторички гальвано, облицовка-композит. Перебазировка каждые полгода. Через год колется композит, и началось((, каждые 4 недели откол облицовки. В итоге переоблицовывали и коронки и протез около 15 раз. Вчера решили переделать протез, решил сделать 13,23,24 коронки мк и Бюгель на кламмерах. Есть страх что опять расшатает опорные зубы( Атрофия очень сильная, не удаётся поставить гарнитурные зубы по центру альвеолярного отростка(что я думаю и являлось причиной сколов облицовки композита). Да Чсп не хочет категорически, имплантация под огромным вопросом( в анамнезе сахарный диабет и проблемы с щитовидкой). Посоветуйте что делать??? Пожалуйста! Изменено 7 апреля, 2017 пользователем Kol1984 Ссылка на комментарий
Kol1984 Опубликовано 7 апреля, 2017 Автор Поделиться Опубликовано 7 апреля, 2017 Не могу добавить фото! Ссылка на комментарий
chervoncevdaniil Опубликовано 7 апреля, 2017 Поделиться Опубликовано 7 апреля, 2017 Терпеливая у вас пациентка,если 15 раз переоблицовывали протез и коронки.Попробуйте через radikal фото добавить и прислать вторую ссылку Ссылка на комментарий
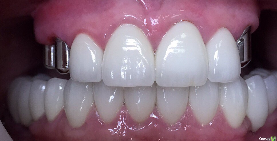
Kol1984 Опубликовано 7 апреля, 2017 Автор Поделиться Опубликовано 7 апреля, 2017 Фото самой работы Ссылка на комментарий
Kol1984 Опубликовано 7 апреля, 2017 Автор Поделиться Опубликовано 7 апреля, 2017 Ещё бы это ж МАМА!!! Ссылка на комментарий
DrNice Опубликовано 7 апреля, 2017 Поделиться Опубликовано 7 апреля, 2017 Вариант бюгеля на внутренних замках МК1 или Бредент не рассматриваете? Ссылка на комментарий
Kol1984 Опубликовано 8 апреля, 2017 Автор Поделиться Опубликовано 8 апреля, 2017 Вариант бюгеля на внутренних замках МК1 или Бредент не рассматриваете? я думаю замковый Бюгель при такой атрофии, убьёт опорные зубы за год. Ссылка на комментарий
DrNice Опубликовано 8 апреля, 2017 Поделиться Опубликовано 8 апреля, 2017 я думаю замковый Бюгель при такой атрофии, убьёт опорные зубы за год.Если сделать 13-24 МК коронки и бюгель на МК1 замках, с адекватным ложе и перебазировками вовремя, то проблем не будет. Ссылка на комментарий
chervoncevdaniil Опубликовано 8 апреля, 2017 Поделиться Опубликовано 8 апреля, 2017 Нормально вы решили с кламмерным бюгелем,при адекватном исполнении ничего он не расшатает,если не импланты,то это очень хороший выбор Ссылка на комментарий
Kol1984 Опубликовано 9 апреля, 2017 Автор Поделиться Опубликовано 9 апреля, 2017 Переживаю по поводу атрофии, кости практически нет( Ссылка на комментарий
gum Опубликовано 26 апреля, 2017 Поделиться Опубликовано 26 апреля, 2017 А Панорамный снимок есть? Ссылка на комментарий
Рекомендуемые сообщения
Для публикации сообщений создайте учётную запись или авторизуйтесь
Вы должны быть пользователем, чтобы оставить комментарий
Создать аккаунт
Зарегистрируйте новый аккаунт в нашем сообществе. Это очень просто!
Регистрация нового пользователяВойти
Уже есть аккаунт? Войти в систему.
Войти