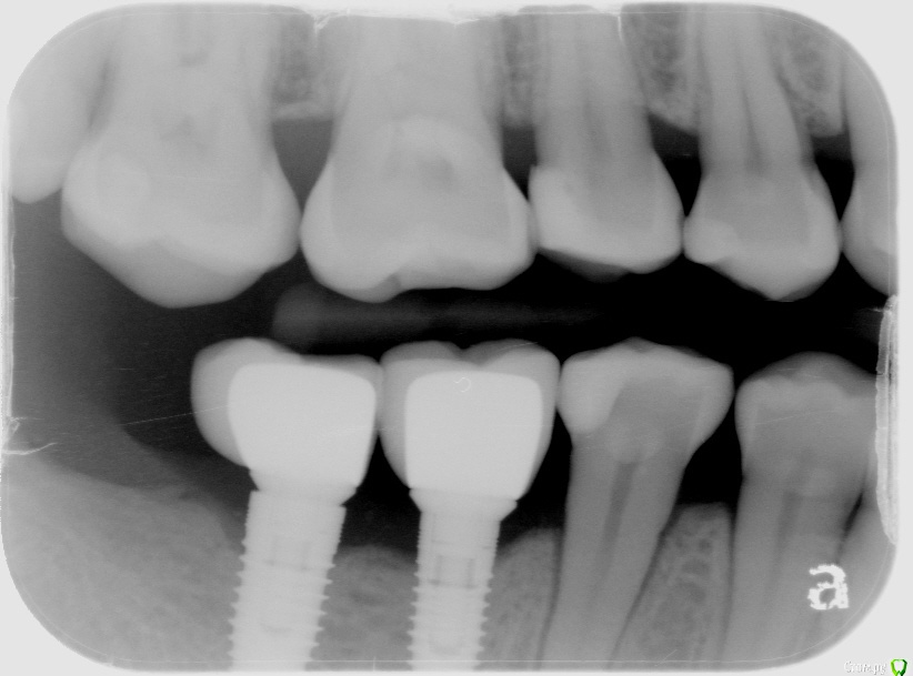
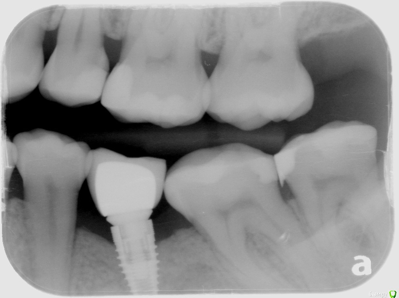
Natalia105 Опубликовано 6 апреля, 2017 Поделиться Опубликовано 6 апреля, 2017 Здравствуйте уважаемые врачи. У меня установлены три импланта в июне 2016 года - на зубы 19, 30 и 31, прижились хорошо. При попытке установки коронок выяснилось, что коронки слишком маленького размера (импланты 30 и 31 стоят слишком близко друг к другу и нет достаточно места чтобы сделать коронки крупнее). Между десной и коронками в глаза бросается металл. Выглядит все это ужасно некрасиво и неестественно. Доктор уверяет меня, что красота в молярах это не главное, а главное это функциональность. Но разве одно с другим несовместимо? Тем более за такие деньги... Да и маленькие коронки тоже ведь снижают функциональность. Коронки сделали только в марте, потому что ждали снятия брекетов. Я пока отказалась от установки таких коронок до выяснения следующих вопросов: 1. Размеры коронок 30 и 31 зубов слишком маленькие, так как недостаточно места. Импланты стоят слишком близко друг к другу, что это - ошибка доктора? Он делал операцию "на глазок" без шаблона (возможно потому, что у меня в тот момент были брекеты). На мои претензии доктор ответил, что кость в том месте мягкая и он не мог поставить 31 имплант дальше. Хотя другой доктор до этого говорил, что с костью у меня там все в порядке (я делала 3D рентген)... Но ведь если кость там действительно мягкая - доктор должен был нарастить ее, не так ли? Потом поставить туда широкий имплант + индивидуальный абатмент, и в итоге коронку нормального размера (это ведь моляр). Так ведь, или я ошибаюсь? 2. В моей ситуации (если не удалять импланты) можно и нужно ли сделать на 31 зуб широкий индивидуальный абатмент и более длинную коронку? При этом с нормальной нагрузкой на имплант (чтобы не расшатался) и чтобы коронка не сломалась под нагрузкой? Или как вариант - одну большую длинную коронку на два импланта? 3. На рентгене видно, что импланты 30 и 31 недостаточно покрыты костью - нужно ли нарастить кость? Или и так сойдет? Если оставить так - не будет ли рецессия кости и не приведет ли в скором времени к потере импланта? 4. Между десной и коронками в глаза бросается металл. Доктор уверял меня, что наращивать десну мне не нужно, потому что там будут скапливаться бактерии (между коронкой и десной), что приведет к воспалению десны и другим неприятным последствиям. Так ли это? Но ведь если десну не нарастить, то на торчащий абатмент будет наматываться еда (особенно мясо) - что тоже неприятно и возможно больно. Да и выглядит неэстэтично... Что же мне делать - наращивать десну или нет? 5. Если оставить 30 и 31 коронки такими маленькими, то имеет ли смысл тогда сделать еще один имплант на 32-й зуб? Во-первых, чтобы продлить зубной ряд - жевательная способность улучшится, во-вторых, нагрузка на 30 и 31 уменьшится (меньше вероятности, что коронка 31-го зуба сломается или расшатается сам имплант 31-го зуба). Ссылка на комментарий
АнтонТЛТ Опубликовано 7 апреля, 2017 Поделиться Опубликовано 7 апреля, 2017 Десной и костью тут особо не помочь. Эстетику можно сделать цельно-цирконевыми абатментами (если они есть на эту систему). Еще один имплантат можно доставить. Ссылка на комментарий
red_butler Опубликовано 7 апреля, 2017 Поделиться Опубликовано 7 апреля, 2017 есть и еще один вариант, радикальный... Ссылка на комментарий
Natalia105 Опубликовано 7 апреля, 2017 Автор Поделиться Опубликовано 7 апреля, 2017 Спасибо! Радикальный - значит все переделать? Ссылка на комментарий
АнтонТЛТ Опубликовано 7 апреля, 2017 Поделиться Опубликовано 7 апреля, 2017 Спасибо! Радикальный - значит все переделать? Да 1 Ссылка на комментарий
red_butler Опубликовано 7 апреля, 2017 Поделиться Опубликовано 7 апреля, 2017 Спасибо! Радикальный - значит все переделать? ага Ссылка на комментарий
Natalia105 Опубликовано 7 апреля, 2017 Автор Поделиться Опубликовано 7 апреля, 2017 Если все переделывать - это значит делать еще две операции (т. е. сначала удалить 2 имплантата (или только один - 31-й?) и добавить искусственную кость, ждать 4 месяца пока зарастет, потом заново ставить имплантаты - опять ждать пока приживется 4 месяца. Опять делать рентгены, принимать антибиотики, противовоспалительное, еще есть риск что не приживется... Стоит ли овчинка выделки? Ссылка на комментарий
Bier Опубликовано 8 апреля, 2017 Поделиться Опубликовано 8 апреля, 2017 удалить 1 имплантат и сразу поставить рядом другой. Но металлическая полоска возможно останется, а может и возможно еще отфрезеровать абатмент.антибиотики можно не принимать, не тот объем чтобы их прием был обязателен. Ссылка на комментарий
Natalia105 Опубликовано 8 апреля, 2017 Автор Поделиться Опубликовано 8 апреля, 2017 Спасибо за советы, буду думать... Стоит ли переделывать у того же доктора, или высока вероятность что он опять напортачит? Ссылка на комментарий
Bier Опубликовано 8 апреля, 2017 Поделиться Опубликовано 8 апреля, 2017 у вас кстати выдвинулся верхний зуб и есть вероятность, что под ним нет места для коронки. И надо его внедрять. Может проще оставить все как есть. Ссылка на комментарий
Natalia105 Опубликовано 10 апреля, 2017 Автор Поделиться Опубликовано 10 апреля, 2017 у вас кстати выдвинулся верхний зуб и есть вероятность, что под ним нет места для коронки. И надо его внедрять. Может проще оставить все как есть.Верхний зуб выдвинулся, но потом его подняли с помощью брекетов, сейчас он более-менее нормально стоит, место для коронки чуть-чуть есть (просто рентген "пано" годовой давности). Вот даже и не знаю... Переделывать не очень хочется, а оставлять как есть тоже как-то не очень... Я съездила в лабораторию, которая делала коронки, поговорила с мастером, он сейчас корректирует коронки, делает их крупнее насколько это возможно (в ширину и чуть-чуть вниз, чтобы прикрыть абатменты). Посмотрю как получится и тогда уже приму решение - переделывать или оставить как есть. Ссылка на комментарий
Natalia105 Опубликовано 10 апреля, 2017 Автор Поделиться Опубликовано 10 апреля, 2017 удалить 1 имплантат и сразу поставить рядом другой. Но металлическая полоска возможно останется, а может и возможно еще отфрезеровать абатмент.антибиотики можно не принимать, не тот объем чтобы их прием был обязателен.Что такое "отфрезеровать абатмент"? Ссылка на комментарий
Bier Опубликовано 10 апреля, 2017 Поделиться Опубликовано 10 апреля, 2017 у вас виден край абатмента на котором сидит коронка. По снимкам не очень ясно, можно ли еще спилить 1мм на абатменте, чтобы коронка доходила до десны (разумеется коронку нужно будет новую делать) Ссылка на комментарий
Рекомендуемые сообщения
Для публикации сообщений создайте учётную запись или авторизуйтесь
Вы должны быть пользователем, чтобы оставить комментарий
Создать аккаунт
Зарегистрируйте новый аккаунт в нашем сообществе. Это очень просто!
Регистрация нового пользователяВойти
Уже есть аккаунт? Войти в систему.
Войти