Перейти к содержанию
Стоматология для всех

Проблемные 8-ки


Quit

Рекомендуемые сообщения

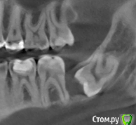
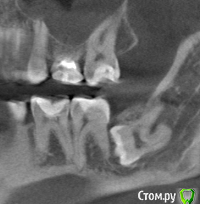
Здравствуйте.

 

Подскажите пожалуйста, как правильно поступить с моими 8-ками?
Их, действительно, надо срочно удалять? Мне 28 лет. Какова вероятность, что они меня вообще не побеспокоют?

Какие существуют риски их удалять и какие риски их не удалять ?

 

Какие советы Вы можете дать по моей проблеме?

 

Большое спасибо.

post-51158-0-93444800-1490961203_thumb.png

post-51158-0-42449500-1490961204_thumb.png

Изменено пользователем Quit
Ссылка на комментарий

Для публикации сообщений создайте учётную запись или авторизуйтесь

Вы должны быть пользователем, чтобы оставить комментарий

Создать аккаунт

Зарегистрируйте новый аккаунт в нашем сообществе. Это очень просто!

Регистрация нового пользователя

Войти

Уже есть аккаунт? Войти в систему.

Войти
×
×
  • Создать...
Вверх