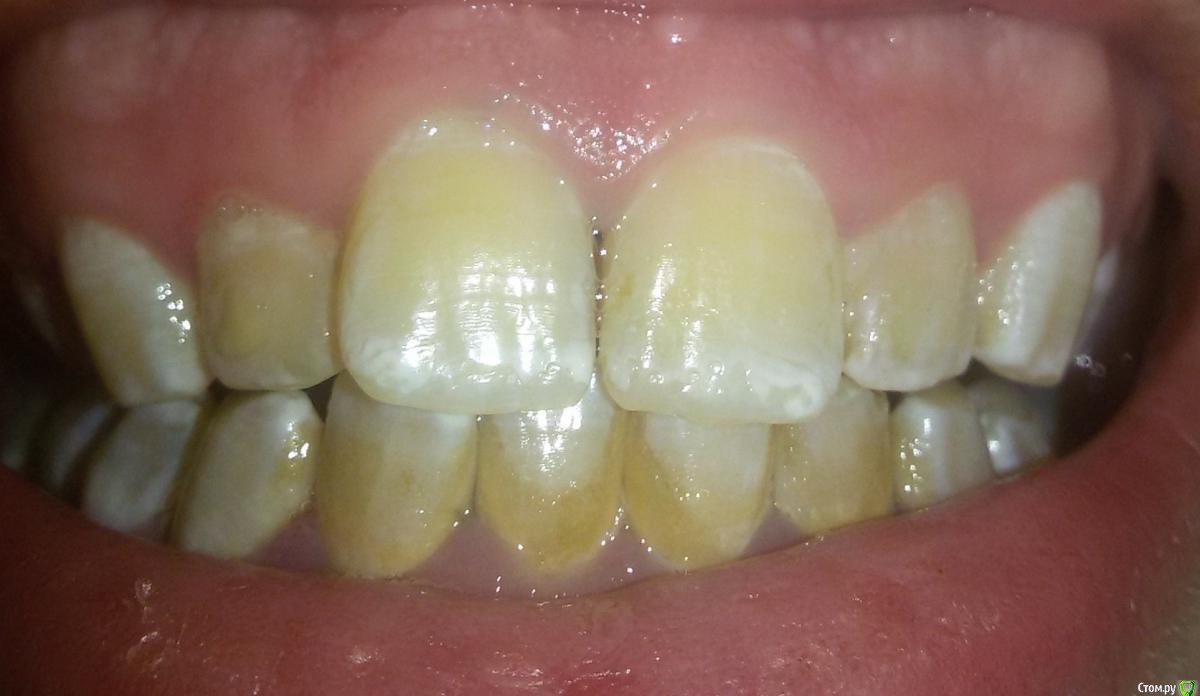
akalamu Опубликовано 29 марта, 2017 Поделиться Опубликовано 29 марта, 2017 (изменено) Здравствуйте. нужна Ваша помощь. Комментарий к фото. Проблема эта беспокоит уже довольно долго. Парень 22 года.Белые пятна на передних зубах + зубы относительно больше в сравнении с другими, "как у кролика", знаю что нужно выравнивать. Вопрос относительно пятен. Как можно правильно диагностировать проблему наличия этих пятен и как их можно устранить, к какому стоматологу обратиться по специальности. Как это поддается лечению.P.S. белые пятна также есть на зубах на нижней челюсти.Ниже прикрепляю фото.Спасибо. Изменено 29 марта, 2017 пользователем akalamu Ссылка на комментарий
DmitrySH Опубликовано 29 марта, 2017 Поделиться Опубликовано 29 марта, 2017 Насколько это мешает Вам? Такие пятна появляются на этапе формирования зубов, лечение зубов не требуется. Внешний вид можно откорректировать винирами А чистку зубов надо налаживать. Ссылка на комментарий
akalamu Опубликовано 30 марта, 2017 Автор Поделиться Опубликовано 30 марта, 2017 Насколько это мешает Вам? Такие пятна появляются на этапе формирования зубов, лечение зубов не требуется. Внешний вид можно откорректировать винирами А чистку зубов надо налаживать.Вы правы. Белые пятна, у меня появились еще на стадии формирования зубов в детстве. Мешает не то слово, улыбнуться нормально не могу, мягко говоря не очень эстетично смотрится. Зубы чищу каждый день по 2 раза, но улучшений не вижу. Виниры буду приобретать, насчет белых пятен, как с ними можно бороться, чтобы они прошли? Ссылка на комментарий
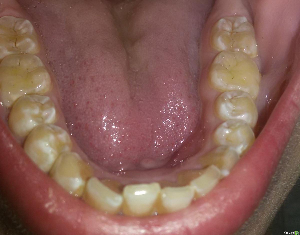
St. Опубликовано 30 марта, 2017 Поделиться Опубликовано 30 марта, 2017 (изменено) насчет белых пятен, как с ними можно бороться, чтобы они прошли? Они в самой структуре зуба, и сами по себе не пройдут. Зубы от них не портятся, это только косметический недостаток.Вам нужно сделать профессиональную гигиену и возможно скорректировать домашний уход, на нижних зубах много налета. Если кардинально от них (пятен) избавляться, то это "спиливается" верхний слой эиали зуба и потом перекрывается керамическими винирами.Из относительно консервативного варианта можно попробовать отбеливание. Пятна оно естественно не уберет, но остальные зубы будут светлее и соответственно разницу в цвете будет видно меньше. Изменено 30 марта, 2017 пользователем St. Ссылка на комментарий
Рекомендуемые сообщения
Для публикации сообщений создайте учётную запись или авторизуйтесь
Вы должны быть пользователем, чтобы оставить комментарий
Создать аккаунт
Зарегистрируйте новый аккаунт в нашем сообществе. Это очень просто!
Регистрация нового пользователяВойти
Уже есть аккаунт? Войти в систему.
Войти