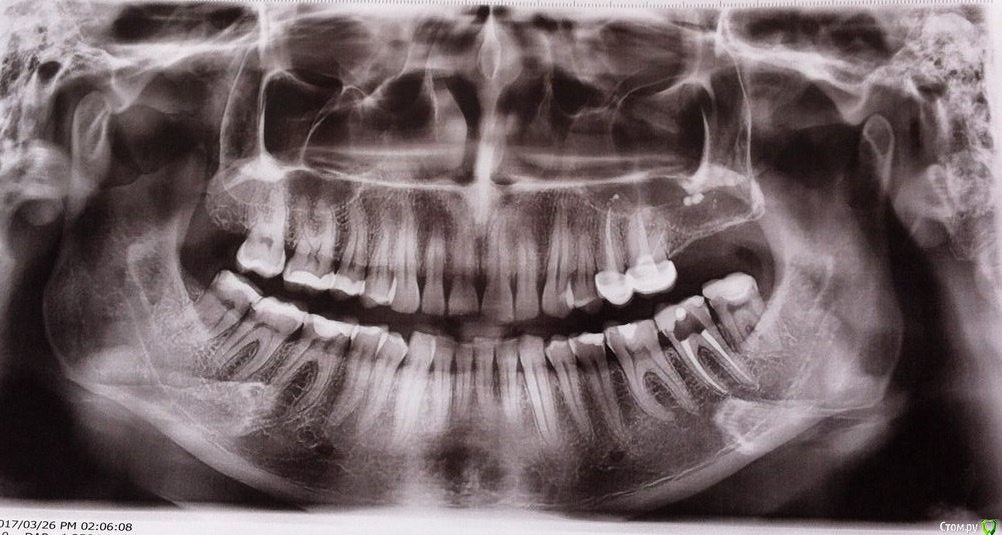
olkl Опубликовано 28 марта, 2017 Поделиться Опубликовано 28 марта, 2017 Добрый день! Сделала панорамный снимок, а к врачу еще не скоро. Попробовала расшифровать самостоятельно (я вообще не медик) и если верить инету у меня все в кистах (вот эти темные пятна в районе подбородка - это кисты? И еще волнуют белые точки сверху справа - что это может быть? Вообще беспокоит боль во всей челюсти уже несколько недель. Особенно там, где челюсть открывается. Пока причина не выявлена - занимаюсь пломбированием 7-ки слева снизу. Подскажите, что видно на моем снимке страшного? Огромное спасибо заранее. Ссылка на комментарий
red_butler Опубликовано 28 марта, 2017 Поделиться Опубликовано 28 марта, 2017 кист нет Ссылка на комментарий
olkl Опубликовано 28 марта, 2017 Автор Поделиться Опубликовано 28 марта, 2017 кист нетОгромное спасибо! Прошу прощение, а Вы случайно не видите по снимку, что может вызывать бесконечную ноющую боль по всей челюсти? Ссылка на комментарий
red_butler Опубликовано 28 марта, 2017 Поделиться Опубликовано 28 марта, 2017 какая челюсть и сторона, какой характер боли? Ссылка на комментарий
red_butler Опубликовано 28 марта, 2017 Поделиться Опубликовано 28 марта, 2017 а к врачу еще не скоро Почему? Ссылка на комментарий
olkl Опубликовано 28 марта, 2017 Автор Поделиться Опубликовано 28 марта, 2017 ноюящая....постоянная. особенно по ночам. и особенно в уголках где челюсть смыкается и размыкается. есть подозрение, что все началось после установки двух коронок (слева сверху - на 5 и 6 зубы). иногда ночью "стреляет" справа сверху как-то и наступать больно на 6-ку справа (снизу)....точно очень сложно понять...потому как вчера болела вся челюсть сверху, сегодня вся челюсть снизу.. ничгео подобного раньше не было. Ссылка на комментарий
olkl Опубликовано 28 марта, 2017 Автор Поделиться Опубликовано 28 марта, 2017 Почему? временная пломба стоит до пятницы. по-моему это не скоро Ссылка на комментарий
red_butler Опубликовано 28 марта, 2017 Поделиться Опубликовано 28 марта, 2017 нужно искать пульпит в молярах правой стороны. по снимку грешу на 4.7 Ссылка на комментарий
olkl Опубликовано 28 марта, 2017 Автор Поделиться Опубликовано 28 марта, 2017 Он-то, на который грешите, как раз и под временной пломбой.. А про белые остатки чего-то справа сверху- не заморачиваться? Ссылка на комментарий
red_butler Опубликовано 28 марта, 2017 Поделиться Опубликовано 28 марта, 2017 Он-то, на который грешите, как раз и под временной пломбой.. А про белые остатки чего-то справа сверху- не заморачиваться?Вы стороны путаете. На снимке временная пломба на зубе 3.6По поводу пломбировочного материала в верхнечелюстном синусе слева, делайте Кт. Ссылка на комментарий
olkl Опубликовано 28 марта, 2017 Автор Поделиться Опубликовано 28 марта, 2017 Да, точно спутала. Спасибо Вам большое! Ссылка на комментарий
Рекомендуемые сообщения
Для публикации сообщений создайте учётную запись или авторизуйтесь
Вы должны быть пользователем, чтобы оставить комментарий
Создать аккаунт
Зарегистрируйте новый аккаунт в нашем сообществе. Это очень просто!
Регистрация нового пользователяВойти
Уже есть аккаунт? Войти в систему.
Войти