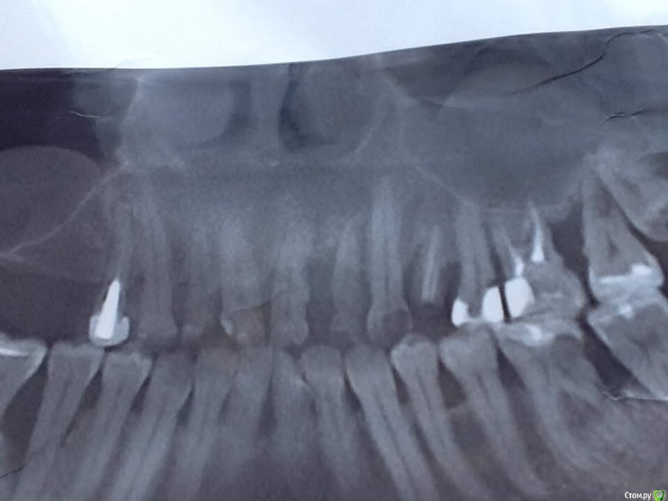
NoSpane Опубликовано 27 марта, 2017 Поделиться Опубликовано 27 марта, 2017 Добрый день, уважаемые доктора! Нужен ваш профессиональный совет касательно удаления всех ( ?! ) зубов мудрости и проблем с оставшимися жевательными зубами. Прокомментируйте, пожалуйста, весь снимок - что и как нужно делать! Хотелось бы сохранить хотя бы нижние " семерки" , но местные стоматологи соглашаются только на вариант удаление 7,8 в паре либо просто не берутся . По поводу верхней челюсти тоже разноречивые мнения - парно удалять, либо вначале 7, потом 8. В случае перфорации пазухи тоже разделились во мнениях- КАК ушивать и ушивать ли вообще Удалять по частям не хотят, предлагают целиком дергать Хотя сразу же мельком обмолвились, что не гарантируют сохранность челюсти при таком удалении Ходила-ходила по врачам, только время потеряла - в итоге полная неразбериха в голове Одинаковых мнений у врачей нет и какому специалисту довериться я не знаю Помогите, пожалуйста, определиться!!! Буду благодарна за любое мнение! Ссылка на комментарий
kramer Опубликовано 27 марта, 2017 Поделиться Опубликовано 27 марта, 2017 Нижние 7 никак не должны помешать удалению 8. Ссылка на комментарий
NoSpane Опубликовано 28 марта, 2017 Автор Поделиться Опубликовано 28 марта, 2017 Kramer,спасибо Вам! Значит не помешают, понятно. А нижние восьмерки вообще надо удалять? Слева дистопирован, наверное надо, а справа- там нет ни скученности ни дистопии ?!И еще предлагают депульпировать семерки перед удалением восьмерок Это обязательно? Ссылка на комментарий
NoSpane Опубликовано 28 марта, 2017 Автор Поделиться Опубликовано 28 марта, 2017 Уважаемые доктора, не проходите мимо, пожалуйста! Подскажите как быть- удалять/ не удалять, депульпировать или нет? Ссылка на комментарий
St. Опубликовано 28 марта, 2017 Поделиться Опубликовано 28 марта, 2017 Да оставьте в покое 7, не надо их ни депульпировать профилактически, ни удалять. Если не берутся у Вас, едьте в больший город, ищите доктора который возьмется.8 я бы рекомендовала удалить все 4. И да, после удалений лунку обычно ушивают.Еще по этому снимку есть проблемы с десной и другими зубами. Ссылка на комментарий
NoSpane Опубликовано 29 марта, 2017 Автор Поделиться Опубликовано 29 марта, 2017 (изменено) St,спасибо большое! Будьте добры, укажите какие конкретно зубы и десна проблемные? И что с ними делать - с зубами (лечить/ удалять) и и десной? Изменено 29 марта, 2017 пользователем NoSpane Ссылка на комментарий
St. Опубликовано 29 марта, 2017 Поделиться Опубликовано 29 марта, 2017 У Вас на всех зубах уходит кость, и под десной есть камень. Скорее всего десна периодически кровоточат при чистке. Нужно сделать гигиену и снять воспаление с десны. Ссылка на комментарий
NoSpane Опубликовано 29 марта, 2017 Автор Поделиться Опубликовано 29 марта, 2017 Странно, зубные отложения ( поддесневые) уже снимали .Снимок сделан после снятия камней Я интересовалась , как проверить не остались ли камушки после чистки Врач ответил, что по снимку это невозможно определить Десны сильно кровят, даА в районе нижней правой пятерки десна синюшная и сам зуб шатается Укрепить как- нибудь подвижный зуб возможно? Шина ? Ссылка на комментарий
St. Опубликовано 29 марта, 2017 Поделиться Опубликовано 29 марта, 2017 Если десна сильно кровит и камней много, их сложно хорошо и с первого раза все убрать. Иногда необходимо несколько визитов чтобы хорошо все очистить. По снимку есть отложения на дальних зубах вверху слева. Укрепить как- нибудь подвижный зуб возможно? Шина ? Это очень временное мероприятие, к сожалению. Ссылка на комментарий
NoSpane Опубликовано 30 марта, 2017 Автор Поделиться Опубликовано 30 марта, 2017 С шиной все ясно, спасибо! А есть ли зубы- кандидаты на перелечивание? Если сдаться ЧЛХ , то первым условием будет полная санация С камнями ,естественно, опять пойду к пародонтологу . Может надо что-то переделать и у стоматолога? Ссылка на комментарий
NoSpane Опубликовано 4 апреля, 2017 Автор Поделиться Опубликовано 4 апреля, 2017 Уважаемая St, можно задам последний вопрос? Наверху слева между 1 и 2 большой промежуток, зубы как то быстро разъехались Что можно предпринять в таком случае - как вернуть 2ку на законное место?! Над двойкой десна воспалена и "болит кость" ( по ощущениям) Ссылка на комментарий
St. Опубликовано 4 апреля, 2017 Поделиться Опубликовано 4 апреля, 2017 Зубы разьехались потому что кость ушла от воспаления, обратно она уже не выростет. Ссылка на комментарий
NoSpane Опубликовано 5 апреля, 2017 Автор Поделиться Опубликовано 5 апреля, 2017 Если "кость ушла" каким способом можно закрыть эту трему? Вырвать скособоченный зуб и вставить имплант при нехватке костного материала в той зоне наверное невозможно? Есть какой- нибудь выход в данном случае?Наши эскулапы просто молчат и не слышат вопроса, на который не знают ответа - " надо подумать" длится уже четыре месяца, поэтому приходиться самой искать ответ Ссылка на комментарий
Рекомендуемые сообщения
Для публикации сообщений создайте учётную запись или авторизуйтесь
Вы должны быть пользователем, чтобы оставить комментарий
Создать аккаунт
Зарегистрируйте новый аккаунт в нашем сообществе. Это очень просто!
Регистрация нового пользователяВойти
Уже есть аккаунт? Войти в систему.
Войти