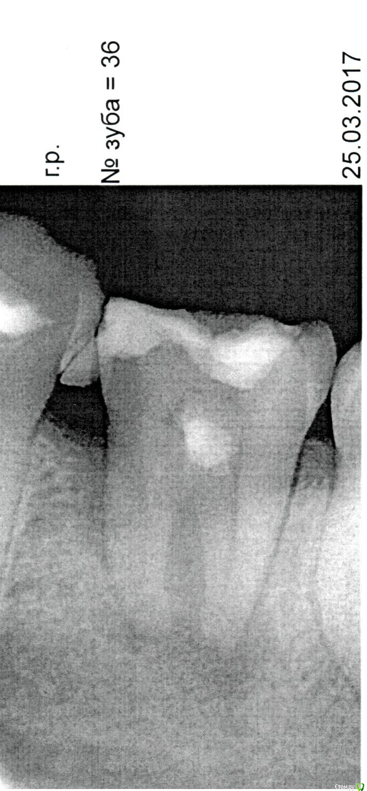
Андрей54 Опубликовано 27 марта, 2017 Поделиться Опубликовано 27 марта, 2017 (изменено) Добрый день!Подскажите, пожалуйста, обязательно нужно удалять зуб или его можно как-то вылечить?Снимок прилагаю. Изменено 27 марта, 2017 пользователем Андрей54 Ссылка на комментарий
shishok Опубликовано 27 марта, 2017 Поделиться Опубликовано 27 марта, 2017 Лечить однозначно имеет смысл. Ссылка на комментарий
Андрей54 Опубликовано 27 марта, 2017 Автор Поделиться Опубликовано 27 марта, 2017 В этом и вопрос, возможно ли его вылечить?Врач на приеме сказал, что зуб раскололся и лечению не подлежит, его только 100% удалять. Ссылка на комментарий
red_butler Опубликовано 27 марта, 2017 Поделиться Опубликовано 27 марта, 2017 В этом и вопрос, возможно ли его вылечить?Врач на приеме сказал, что зуб раскололся и лечению не подлежит, его только 100% удалять.Мы видим только снимок, причем плохого качества. Для окончательного ответа нужен очный осмотр. Ссылка на комментарий
Рекомендуемые сообщения
Для публикации сообщений создайте учётную запись или авторизуйтесь
Вы должны быть пользователем, чтобы оставить комментарий
Создать аккаунт
Зарегистрируйте новый аккаунт в нашем сообществе. Это очень просто!
Регистрация нового пользователяВойти
Уже есть аккаунт? Войти в систему.
Войти