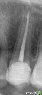
IvanStepanovich Опубликовано 23 марта, 2017 Поделиться Опубликовано 23 марта, 2017 Добрый день, имеется зуб – депульпированный второй премоляр слева сверху. После лечения каналов зуб был обточен под эндокоронку Cerec Empress. В настоящий момент жалоб и болей нет, зуб никак не беспокоит. Но эту конструкцию хочу заменить т.к. не нравится шероховатость жевательной поверхности и форма реставрации.Будет ли установка новой эндокоронки наиболее адекватным средством восстановлением моего зуба? Или же в моем случае коронка (с культевой вкладкой или композитом) будет лучшим решением? Спасибо. Ссылка на комментарий
hemchik Опубликовано 23 марта, 2017 Поделиться Опубликовано 23 марта, 2017 Когда установили протез? Может просто Нужно подполировать.зуб восстановлен адекватно 1 Ссылка на комментарий
AndyAndy Опубликовано 23 марта, 2017 Поделиться Опубликовано 23 марта, 2017 Для начала дополируйте. А там видно будет Ссылка на комментарий
IvanStepanovich Опубликовано 23 марта, 2017 Автор Поделиться Опубликовано 23 марта, 2017 Зуб был пролечен и восстановлен в январе 16г, сразу после фиксации все было ОК, не было никаких шероховатостей. Через пару недель в этом зубе появилась боль (тупого характера, ближе к корню, боль лишь при накусывании), доктор сказал, что вкладка возможно чуть завышает прикус и подпилил ее прямо во рту (между снятием слепка и фиксацией вкладки были заменены 2 реставрации - одна на 2 моляре справа снизу, вторая на 1 моляре слева сверху). Сразу после первого подпиливания (начало-середина февраля 2016) боль в зубе утихла, однако временами все же была (боль тупого, ноющего характера в районе корня зуба, эпизодически при жевании), где-то в апреле-мае 2016 тот же доктор вновь мне подпилил эту вкладку, с тех пор зуб не беспокоит никак. Делали снимок в конце 2016г, по словам врача (он же лечил каналы и подпиливал эту вкладку) с каналом зуба все хорошо, и что вроде как все предыдущие боли были вызваны перегрузкой зуба из-за того, что вкладка завышала прикус. Сейчас кроме собственно формы и шероховатости жалоб нет. Ссылка на комментарий
DmitrySH Опубликовано 24 марта, 2017 Поделиться Опубликовано 24 марта, 2017 Сходите к своему врачу отполировать ее и все. Коронка на него когда-то потребуется, но потом. Ссылка на комментарий
Рекомендуемые сообщения
Для публикации сообщений создайте учётную запись или авторизуйтесь
Вы должны быть пользователем, чтобы оставить комментарий
Создать аккаунт
Зарегистрируйте новый аккаунт в нашем сообществе. Это очень просто!
Регистрация нового пользователяВойти
Уже есть аккаунт? Войти в систему.
Войти