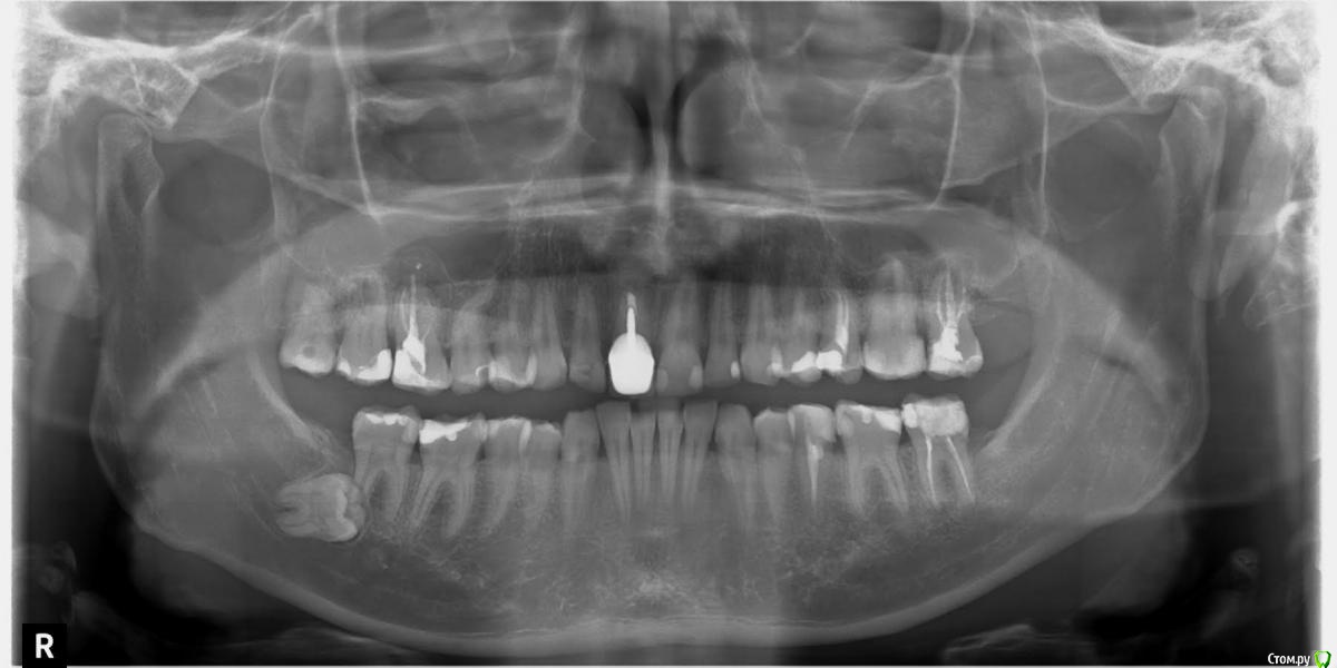
timson Опубликовано 18 марта, 2017 Поделиться Опубликовано 18 марта, 2017 (изменено) Здравствуйте, помогите советом пожалуйста. Ситуация сследующая: Почувствовал чувство давления справа вверху и внизу, врач терапевт осмотрел полость рта и пульпит не нашел.Направлен я был на ортопантомограмму https://yadi.sk/i/6HkZCRSm3FEaGc, на ней обнаружена ретенция 8 зуба мудрости справа.Обратился к стоматологу хирургу , у него сделана фрагментарная КТ правой стороны челюсти. https://yadi.sk/d/FdOB70aA3ErpHn -образ ктhttps://yadi.sk/d/cf0GB6vR3ErpHt программа в архиве deamons tools в rar архивеКто не знает, устанавливаем программу daemons tools, выбираем монтировать и указываем скаченный образ.В итоге обнаружена радиальная киста 6 зуба спрва вверху, из за предположительной причины, некачественная эндодонтия, не закрыты каналы.(Обратился в ЧЛХ отделение, где 6 зуб хотят удалить.После чего обратился в частную клинику, где врач стоматолог хирург позвонив в ЧЛХ отделение, посоветовавшись там с доктором, отказался заниматься этим зубом.За ретенированный зуб берется, просит 7000.Обратился по совету врача хирурга к опытному хирургу. Его заключение надо заняться 6 зубом и кистой-цена вопроса 5000, а для удаления ретинированного зуба рекомендовал депульпировать вначале 7 зуб, что бы избежать затем осложнений и сохранить 7 зуб. Хотелось бы сохранить зуб,не очень понятно почему нельзя удалить корни зубов и не удаляя зуб.Помогите кто может сталкивался с такой проблемой.Клиники гайморита пока слава Богу нет. Отмечается эпизодическое чувство давления снизу справа.Хотелось бы сохранить зуб, можно ли в данном случае сохранить зуб и какие варианты кто предложит.Так же интересует стоит ли идти на амбулаторное иссечение кисты или стационар ЧЛХ? Спасибо за внимание. Изменено 18 марта, 2017 пользователем timson Ссылка на комментарий
red_butler Опубликовано 18 марта, 2017 Поделиться Опубликовано 18 марта, 2017 Вы не задали вопросов Ссылка на комментарий
timson Опубликовано 18 марта, 2017 Автор Поделиться Опубликовано 18 марта, 2017 Странно писал вроде. повторю. Хотелось бы сохранить зуб, можно ли в данном случае сохранить зуб и какие варианты кто предложит.Так же интересует стоит ли идти на амбулаторное иссечение кисты или стационар ЧЛХ? Спасибо за внимание. Ссылка на комментарий
red_butler Опубликовано 18 марта, 2017 Поделиться Опубликовано 18 марта, 2017 зуб 1.6 лечить, 4.8 удалять. Седьмой специально депульпировать не нужно. стационар тревожить не нужно. 1 Ссылка на комментарий
timson Опубликовано 18 марта, 2017 Автор Поделиться Опубликовано 18 марта, 2017 (изменено) зуб 1.6 лечить, 4.8 удалять. Седьмой специально депульпировать не нужно. стационар тревожить не нужно.Все почему то предлагают удалить 16 зуб. Уж больно не хочется, насколько знаю проводят резекцию корней зуба и кисту убирают, может есть еще варианты лечения? почему хирурги не берутся за 16 мне не понятно. Кто берется настаивает удалить зуб и под прикрытием антибиотиков провести операцию, опасается синусита. Если кто смотрел кт, выше выложенное, 8 лезет в той же плоскости, что и 7 лежит. Хирург предположил, что зуб будет удаляться по частям, что бы сохранить 7 зуб. Этот же хирург предполагает, что в члх 7 зуб удалят с 8. Какие у кого мысли? Мне надо решить эту проблему, желательно сохранить зуб.Т Изменено 18 марта, 2017 пользователем timson Ссылка на комментарий
Гарриевич Опубликовано 19 марта, 2017 Поделиться Опубликовано 19 марта, 2017 6 зуб лечить однозначно, удаление пока тут не требуется, на счёт остального уже ответили 1 Ссылка на комментарий
timson Опубликовано 19 марта, 2017 Автор Поделиться Опубликовано 19 марта, 2017 (изменено) Если лечить, то значит идти к терапевту? Есть смысл переплачивать под микроскопом или достаточно просто перелечить? Изменено 19 марта, 2017 пользователем timson Ссылка на комментарий
red_butler Опубликовано 19 марта, 2017 Поделиться Опубликовано 19 марта, 2017 Если лечить, то значит идти к терапевту? Есть смысл переплачивать под микроскопом или достаточно просто перелечить?да, Вам нужен грамотный стоматолог-эндодонтист, в идеале работающий с микроскопом. Ссылка на комментарий
Bier Опубликовано 19 марта, 2017 Поделиться Опубликовано 19 марта, 2017 да, добавить нечего.Депульпировать не нужно. Зуб с "кистой" лечить у эндодонтиста. Ссылка на комментарий
timson Опубликовано 20 марта, 2017 Автор Поделиться Опубликовано 20 марта, 2017 (изменено) Был у терапевта, сказала, что киста слишком большая, терапевтически не вылечится. Кто что скажет? Еще рассказывала, что если в канале какое то стекловидное вещество не рентген контрастное, что то чем канал закрывали раньше , то пройти его не получится. Изменено 20 марта, 2017 пользователем timson Ссылка на комментарий
St. Опубликовано 20 марта, 2017 Поделиться Опубликовано 20 марта, 2017 Был у терапевта, сказала, что киста слишком большая, терапевтически не вылечится. Кто что скажет? Размер значения не имеет в этом случае. Ищите доктора который возьмется и имеет опыт в подобных вещах. Еще рассказывала, что если в канале какое то стекловидное вещество не рентген контрастное, что то чем канал закрывали раньше , то пройти его не получится. Лечение каналов сложная и не всегда прогнозируемая процедура, тем более когда лечение повторное. Но это не повод не пытаться спасти зуб. Хирургически пока в 16 делать нечего, вот если его перелечат и ничего не изменится за пару лет или перелечить не смогут, допустим, тогда возможно понадобится хирургия. Но точно не сейчас. Хирург предположил, что зуб будет удаляться по частям, что бы сохранить 7 зуб. Скорее всего так и будет. Если потом 7 начнет болеть , тогда и депульпируете. Для профилактики такое делать не нужно. 2 Ссылка на комментарий
Bier Опубликовано 21 марта, 2017 Поделиться Опубликовано 21 марта, 2017 ищите эндодонтиста с микроскопом. Ссылка на комментарий
timson Опубликовано 27 марта, 2017 Автор Поделиться Опубликовано 27 марта, 2017 Из терапевтов никто не взялся в городе Воронеже(. В итоге сегодня собираюсь к хирургу , на сегодня назначена операция по поводу 6 зуба сверху справа. Если все нормально будет отпишусь. Вдруг кому потом поможет. Ссылка на комментарий
timson Опубликовано 27 марта, 2017 Автор Поделиться Опубликовано 27 марта, 2017 В итоге 6 вырвали, кисту удалил хирург. Терь зализываю раны. 1 Ссылка на комментарий
Рекомендуемые сообщения
Для публикации сообщений создайте учётную запись или авторизуйтесь
Вы должны быть пользователем, чтобы оставить комментарий
Создать аккаунт
Зарегистрируйте новый аккаунт в нашем сообществе. Это очень просто!
Регистрация нового пользователяВойти
Уже есть аккаунт? Войти в систему.
Войти