filvik Опубликовано 16 марта, 2017 Поделиться Опубликовано 16 марта, 2017 коронка на три импланта, или нужно на каждый.https://cloud.mail.ru/public/5VP9/f5AiZnz4F Ссылка на комментарий
DrNice Опубликовано 16 марта, 2017 Поделиться Опубликовано 16 марта, 2017 http://forum.stom.ru/topic/2813-obiazatelno-k-prochteniiu/ Ссылка на комментарий
filvik Опубликовано 18 марта, 2017 Автор Поделиться Опубликовано 18 марта, 2017 (изменено) http://forum.stom.ru/topic/2813-obiazatelno-k-prochteniiu/В облаке лежат снимки. Архивом 3D - КТ.И вопрос что в данный момент необходимо делать или так оставить. Изменено 18 марта, 2017 пользователем filvik Ссылка на комментарий
Bier Опубликовано 19 марта, 2017 Поделиться Опубликовано 19 марта, 2017 выкладывайте панораму или срез КТ, качать никто не станет. Ссылка на комментарий
Nazim_NV86 Опубликовано 20 марта, 2017 Поделиться Опубликовано 20 марта, 2017 выкладывайте панораму или срез КТ, качать никто не станет.Продолжу: потому что сидят многие с мобильных устройств и часто во время перерывов между пациентами. Ссылка на комментарий
wladdX Опубликовано 20 марта, 2017 Поделиться Опубликовано 20 марта, 2017 (изменено) Несколько скриншотов на скорую руку и снимок из архива, видимо внутриротовая Rg Изменено 20 марта, 2017 пользователем wladdX Ссылка на комментарий
filvik Опубликовано 22 марта, 2017 Автор Поделиться Опубликовано 22 марта, 2017 (изменено) wladdX Спасибо, не знал какие слои выделить.За три года толщина кости уменьшилась где-то на три милиметра.Зубки в коронке стали выше на те-же три милиметра. Изменено 22 марта, 2017 пользователем filvik Ссылка на комментарий
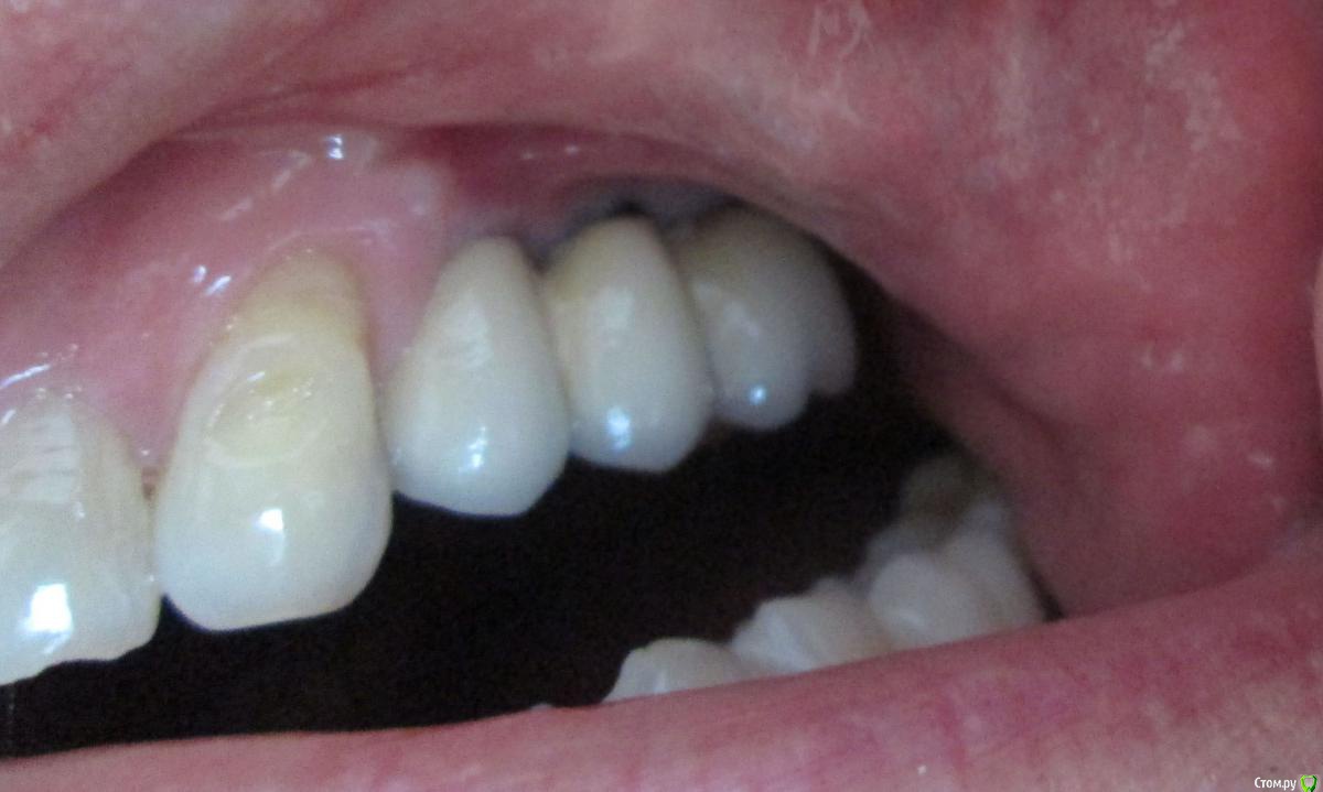
Evikrol Опубликовано 22 марта, 2017 Поделиться Опубликовано 22 марта, 2017 Сфотографируйте коронки Ссылка на комментарий
Bier Опубликовано 22 марта, 2017 Поделиться Опубликовано 22 марта, 2017 последние 2 надо соединять. Если очень хочется, то первый можно оставить отдельно, а можно тоже соединить. 1 Ссылка на комментарий
filvik Опубликовано 23 марта, 2017 Автор Поделиться Опубликовано 23 марта, 2017 (изменено) Сфотографируйте коронкиКак-то, так. Изменено 23 марта, 2017 пользователем filvik Ссылка на комментарий
filvik Опубликовано 24 марта, 2017 Автор Поделиться Опубликовано 24 марта, 2017 Как-то, так.К 3-D КТ приложен рентгеновский снимок то, что было в конце в 2013 года, по ниткам резьбыхорошо видна толщина кости в которой сидит дальний имплант (при длине импланта 9 мм.), на КТ 2017 годавидно что с дальней стороны последнего зуба осталось 1,8 милиметра кости.Коронки ставить 1+2 или на каждый отдельно, да и задний имплант похоже держится на честном слове.Вопрос остался прежний что предпринять в данной ситуации? Ссылка на комментарий
Bier Опубликовано 24 марта, 2017 Поделиться Опубликовано 24 марта, 2017 решить вопрос с мягкими тканями. И с костью все будет ок. Ссылка на комментарий
filvik Опубликовано 26 марта, 2017 Автор Поделиться Опубликовано 26 марта, 2017 решить вопрос с мягкими тканями. И с костью все будет ок.Обьясни , пожалуйста.Эта коронка с фото (ракурс подкачал, вид как-бы с низу),установлена после наращивания кости и мягких тканей.До операции было 3 коронки (пролежни и тд и тп),это первая коронка в этом году после операции. Ссылка на комментарий
Bier Опубликовано 26 марта, 2017 Поделиться Опубликовано 26 марта, 2017 я вижу на фото дефицит кератинизированной десны и тонкий биотип. Вот это надо поменять и все станет стабильнее.У нас принято общаться на Вы с незнакомыми. 1 Ссылка на комментарий
filvik Опубликовано 26 марта, 2017 Автор Поделиться Опубликовано 26 марта, 2017 (изменено) я вижу на фото дефицит кератинизированной десны и тонкий биотип. Вот это надо поменять и все станет стабильнее.У нас принято общаться на Вы с незнакомыми.На ВЫ без проблем (извините за невежество). Вас не затруднило-бы - вот это :дефицит кератинизированной десны и тонкий биотип. Вот это надо поменять.перевести на более понятный язык (не обижайтесь, мне просто пока не все понятно, я технарь) Изменено 26 марта, 2017 пользователем filvik Ссылка на комментарий
Doctor Vlad Опубликовано 1 апреля, 2017 Поделиться Опубликовано 1 апреля, 2017 На ВЫ без проблем (извините за невежество). Вас не затруднило-бы - вот это :дефицит кератинизированной десны и тонкий биотип. Вот это надо поменять.перевести на более понятный язык (не обижайтесь, мне просто пока не все понятно, я тех подсадка десны трансплантатом с неба наприме... Ссылка на комментарий
filvik Опубликовано 2 апреля, 2017 Автор Поделиться Опубликовано 2 апреля, 2017 подсадка десны трансплантатом с неба наприме...Перед изготовлением этой коронки. делали подсадку.надо повторно? Ссылка на комментарий
filvik Опубликовано 3 апреля, 2017 Автор Поделиться Опубликовано 3 апреля, 2017 подсадка десны трансплантатом с неба наприме...Сходил на совместную консультацию хирурга и ортодонта.1 вариант - подсадка десны трансплантатом с неба не проходит говорят что оголенонесколько витков резьбы на импланте и это не поможет --- предлагают оставить как есть.Хотя перед этим делали подсадку т.к все прогнило до кости и что получилось видно на фото.2 вариант - удалить импланты, нарастить кость , подсадить десну сделать синуслифтинг, установить импланты,поставить формироватили и делать по новой протезирование.В общем говорят что-бы я решал ????????????????????????????????????? Ссылка на комментарий
Fibez Опубликовано 4 апреля, 2017 Поделиться Опубликовано 4 апреля, 2017 а что решать-то? если беспокоит - вариант 2. если хотите подождать пока само вывалится - вариант 1 (но в итоге проблем будет больше, так как ткани уменьшатся) Ссылка на комментарий
filvik Опубликовано 4 апреля, 2017 Автор Поделиться Опубликовано 4 апреля, 2017 а что решать-то? если беспокоит - вариант 2. если хотите подождать пока само вывалится - вариант 1 (но в итоге проблем будет больше, так как ткани уменьшатся)Ели-бы зто был не свой рот. Поиметь такой геморой еще то счастье.Судя по криворукости делателей, это будет еще тот процесс.Хочется что-бы все было хорошо, но опять все с начала без надежды на успех,менять Боливара на переправе. не хватит финансов. (хотя он и хромает). Ссылка на комментарий
Рекомендуемые сообщения
Для публикации сообщений создайте учётную запись или авторизуйтесь
Вы должны быть пользователем, чтобы оставить комментарий
Создать аккаунт
Зарегистрируйте новый аккаунт в нашем сообществе. Это очень просто!
Регистрация нового пользователяВойти
Уже есть аккаунт? Войти в систему.
Войти