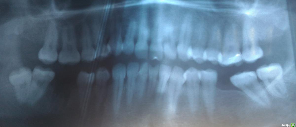
dim-nat Опубликовано 14 марта, 2017 Поделиться Опубликовано 14 марта, 2017 Добрый день! Планирую беременность, при плановом посещении стоматолога залечила кариес на 6 зубах, шестерку не спасли - удалили. Перед удалением сделала снимок и врач сказал, что нужно удалять восьмерку слева. Начиталась ужасов про удаление, нахожусь в предобморочном состоянии. Прошу Вашего мнения о сложности моего случая (читала, что бывает быстрое и долгое удаление) и необходимости удаления. P.S. До сего момента восьмерки не беспокоили, начитавшись же интернета начали ныть попеременно слева и справа. К сожалению, я подвержена истерии и приступам паники, боль практически не переношу. Ссылка на комментарий
Карен Аванесов Опубликовано 14 марта, 2017 Поделиться Опубликовано 14 марта, 2017 Лучше удалить. Ссылка на комментарий
dim-nat Опубликовано 14 марта, 2017 Автор Поделиться Опубликовано 14 марта, 2017 Лучше удалить.Обе? Сложное ли будет удаление? Ссылка на комментарий
Карен Аванесов Опубликовано 14 марта, 2017 Поделиться Опубликовано 14 марта, 2017 (изменено) Вторая еще пожует. Как получится. Изменено 14 марта, 2017 пользователем Карен Аванесов Ссылка на комментарий
red_butler Опубликовано 14 марта, 2017 Поделиться Опубликовано 14 марта, 2017 Обе? Сложное ли будет удаление?Обе удаляйте. Ссылка на комментарий
Рекомендуемые сообщения
Для публикации сообщений создайте учётную запись или авторизуйтесь
Вы должны быть пользователем, чтобы оставить комментарий
Создать аккаунт
Зарегистрируйте новый аккаунт в нашем сообществе. Это очень просто!
Регистрация нового пользователяВойти
Уже есть аккаунт? Войти в систему.
Войти