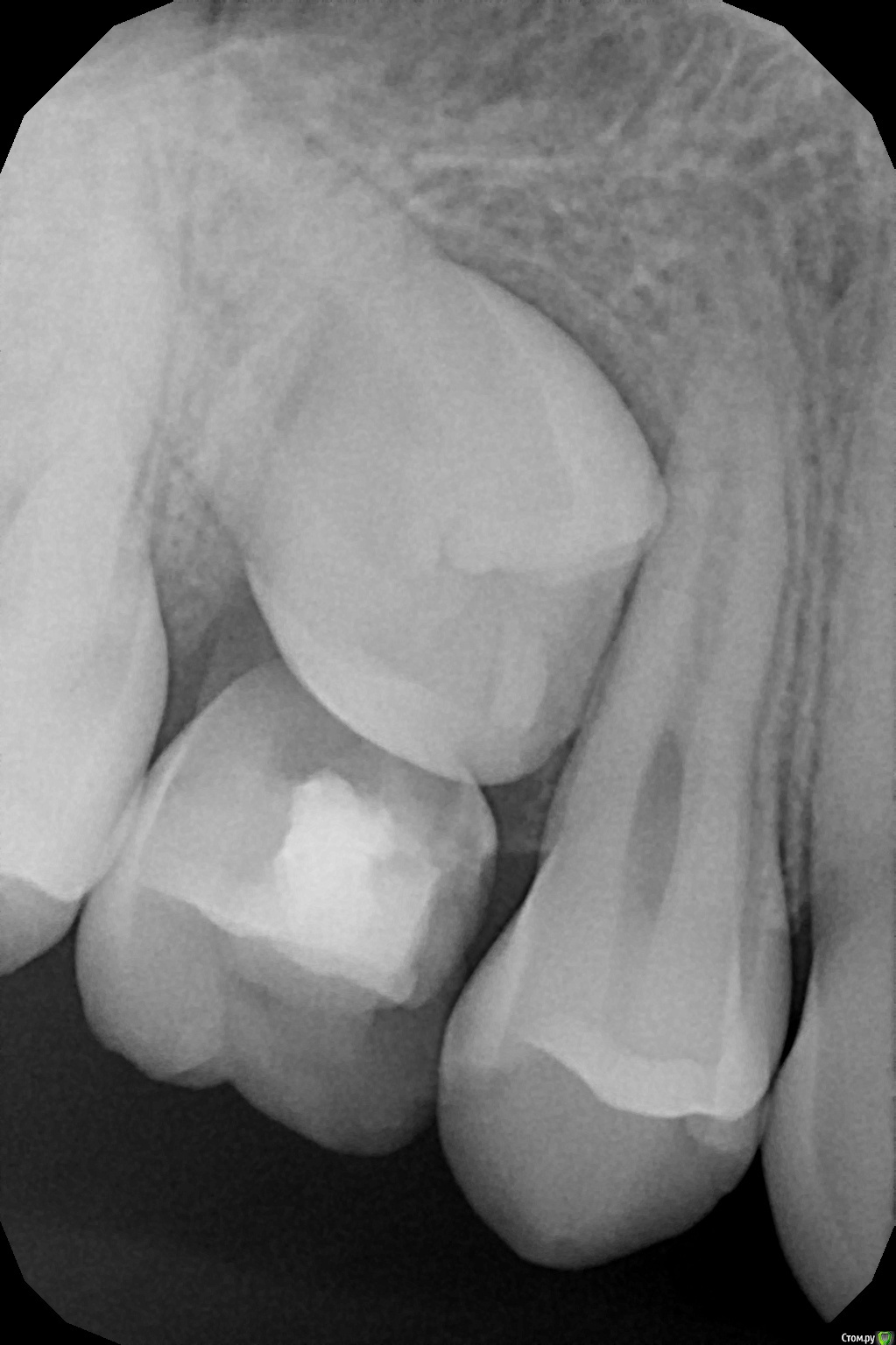
crown Опубликовано 14 марта, 2017 Поделиться Опубликовано 14 марта, 2017 12 лет, 55 "резорциненный", сегодня удалил, что делать с зачатком? Встанет ли он на место? Ссылка на комментарий
Opdihatop Опубликовано 14 марта, 2017 Поделиться Опубликовано 14 марта, 2017 Возможно... Пол-года подождите, а затем повторный снимок и контроль. Ссылка на комментарий
azerty Опубликовано 16 марта, 2017 Поделиться Опубликовано 16 марта, 2017 Тоже подождал бы полгода, а дальше скорей всего брекеты или другие методики, думаю сам не выйдет. Ссылка на комментарий
Рекомендуемые сообщения
Для публикации сообщений создайте учётную запись или авторизуйтесь
Вы должны быть пользователем, чтобы оставить комментарий
Создать аккаунт
Зарегистрируйте новый аккаунт в нашем сообществе. Это очень просто!
Регистрация нового пользователяВойти
Уже есть аккаунт? Войти в систему.
Войти