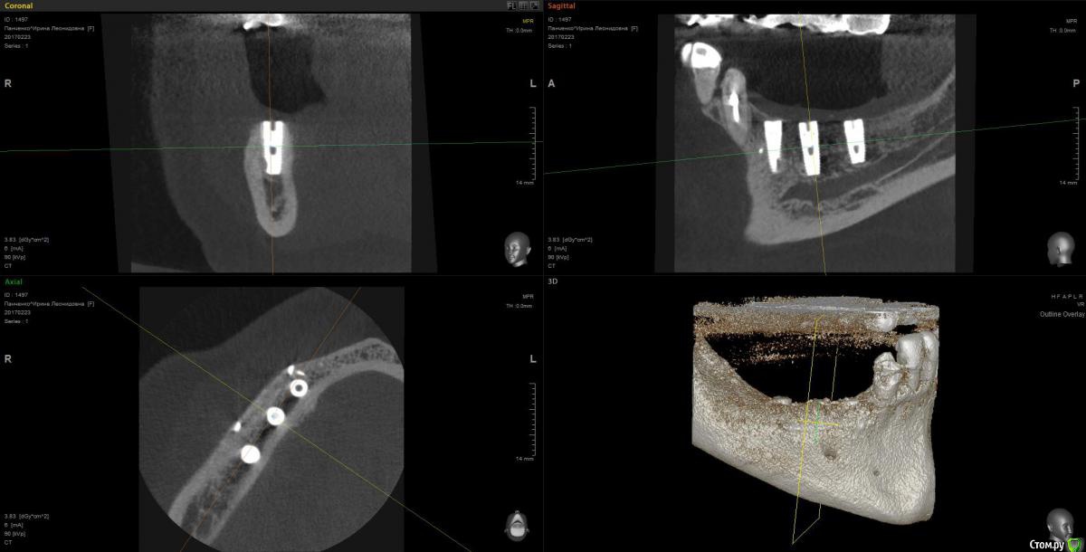
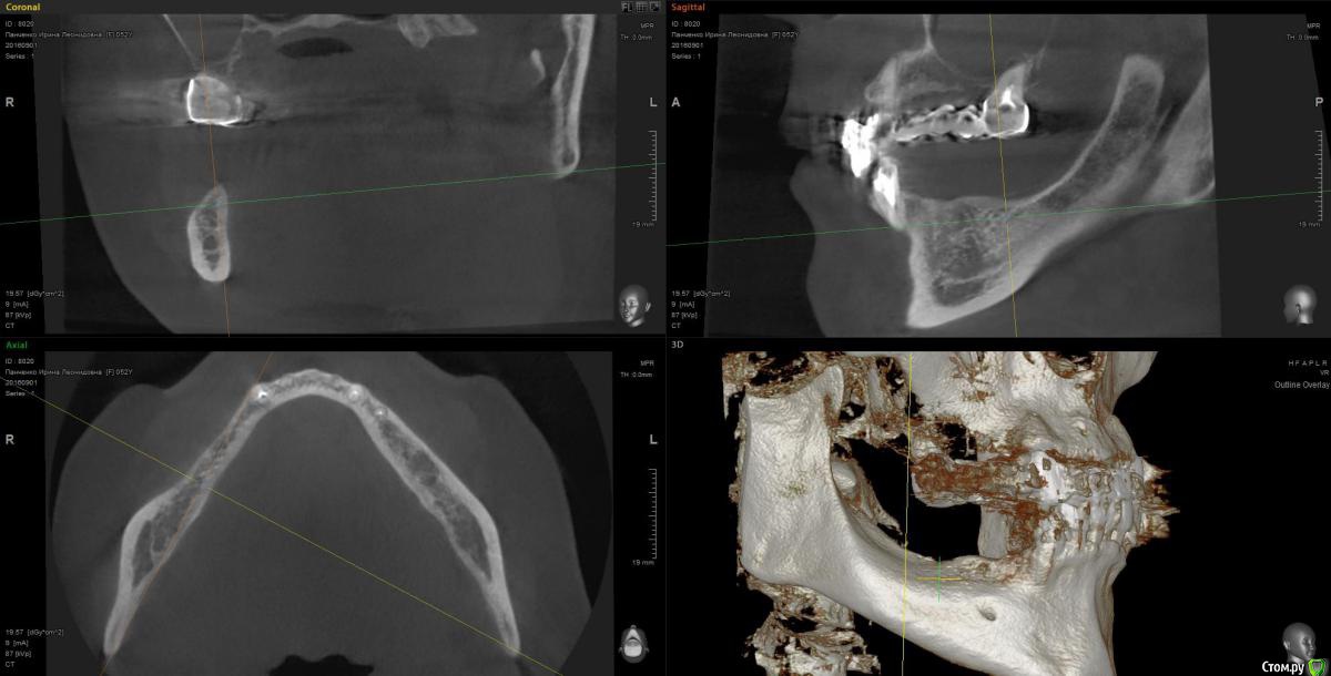
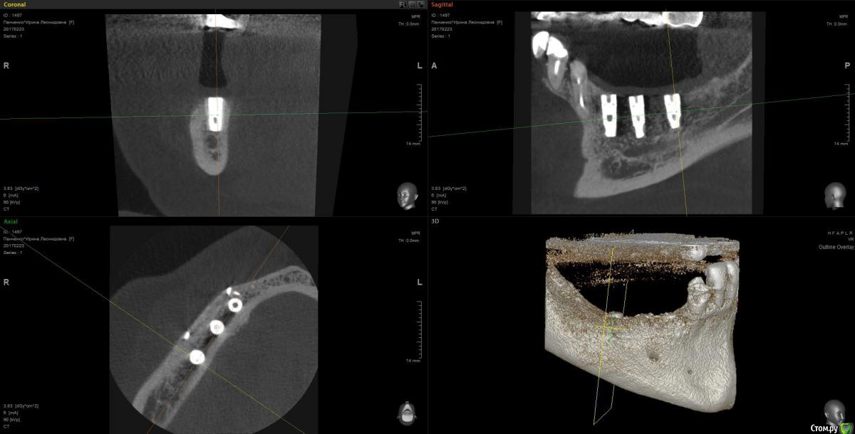
Kostoprav Опубликовано 13 марта, 2017 Поделиться Опубликовано 13 марта, 2017 рецепт сосиски: 70%биопласт by владмива +30%аутокость, мембрана hyprosorb кт до кт сразу после имплантации кт через пол года 3 Ссылка на комментарий
Kostoprav Опубликовано 14 марта, 2017 Автор Поделиться Опубликовано 14 марта, 2017 по порядку 8 Ссылка на комментарий
егорджан Опубликовано 14 марта, 2017 Поделиться Опубликовано 14 марта, 2017 Доброго!какой именно биопласт? Ссылка на комментарий
Kostoprav Опубликовано 14 марта, 2017 Автор Поделиться Опубликовано 14 марта, 2017 биопласт-дент крошка Ссылка на комментарий
егорджан Опубликовано 14 марта, 2017 Поделиться Опубликовано 14 марта, 2017 спасибо! Ссылка на комментарий
Macor Опубликовано 26 марта, 2017 Поделиться Опубликовано 26 марта, 2017 Мембрану чем то фиксировали или уложили и ушили? Ссылка на комментарий
red_butler Опубликовано 26 марта, 2017 Поделиться Опубликовано 26 марта, 2017 Мембрану чем то фиксировали или уложили и ушили?посмотрите снимки еще раз, пины для мембраны на них видно Ссылка на комментарий
Хью Крейн Опубликовано 26 марта, 2017 Поделиться Опубликовано 26 марта, 2017 Уважаемые коллеги. Вопрос такой:какую лучше для такой методики использовать мембрану?Сделал несколько работ с резорбируемой. Жду результатов. Несколько работ уже открыл.Лучше ли ПТФЕ мембраны,т.к. эпителий под нее не мигрирует,или можно добиться хороших результатов обычной двуслойной резорбируемой. Спасибо. Ссылка на комментарий
Bier Опубликовано 26 марта, 2017 Поделиться Опубликовано 26 марта, 2017 Уважаемые коллеги. Вопрос такой:какую лучше для такой методики использовать мембрану?Сделал несколько работ с резорбируемой. Жду результатов. Несколько работ уже открыл.Лучше ли ПТФЕ мембраны,т.к. эпителий под нее не мигрирует,или можно добиться хороших результатов обычной двуслойной резорбируемой. Спасибо.лучше обычная биогайд или эволюшен. Чтобы лучше понимать теорию и практику надо бы на учебу сходить ) 1 Ссылка на комментарий
Хью Крейн Опубликовано 26 марта, 2017 Поделиться Опубликовано 26 марта, 2017 Учебы эти... Каждый извращается,как только может. И мнения у лекторов абсолютно противоположные. Один титановую сетку,другой костный блок,третий резорбируемую мембрану... Один утверждает,что высоту блоками не увеличишь,т.к. вверх кость не растет,другой вообще против блоков. Понятнее не стало. Ссылка на комментарий
Kostoprav Опубликовано 26 марта, 2017 Автор Поделиться Опубликовано 26 марта, 2017 самая лучшая методика та которая работает в ваших руках!попробовать нужно все, а там уже определиться что лучше Ссылка на комментарий
Sergiosse Опубликовано 26 марта, 2017 Поделиться Опубликовано 26 марта, 2017 (изменено) Вопрос к оператору накладывали вы ауто в чистом виде на имплантант или использовали микстВопрос к форумчанамКто-нибудь использовал В подобных случаях низкие ФДМ в качестве тентовых винтов для удержания высоты мембраны и получения вертикального объема кости?. Изменено 26 марта, 2017 пользователем Sergiosse Ссылка на комментарий
Kostoprav Опубликовано 26 марта, 2017 Автор Поделиться Опубликовано 26 марта, 2017 смешивал Ссылка на комментарий
Bier Опубликовано 26 марта, 2017 Поделиться Опубликовано 26 марта, 2017 Учебы эти... Каждый извращается,как только может. И мнения у лекторов абсолютно противоположные. Один титановую сетку,другой костный блок,третий резорбируемую мембрану... Один утверждает,что высоту блоками не увеличишь,т.к. вверх кость не растет,другой вообще против блоков. Понятнее не стало.потому что всем расскажи КАК. ЧТО и ПОЧЕМУ мало кого волнует. Я на лекции спрашиваю у аудитории что такое остеоиндукция - в лучшем случае один человек знает половину правильного ответа. 1 Ссылка на комментарий
Goacasper Опубликовано 26 марта, 2017 Поделиться Опубликовано 26 марта, 2017 потому что всем расскажи КАК. ЧТО и ПОЧЕМУ мало кого волнует. Я на лекции спрашиваю у аудитории что такое остеоиндукция - в лучшем случае один человек знает половину правильного ответа. А когда назовут ремесленником (который механически повторяет действия без понимания сути процесса) обижаются. Не знают, что врач должен "хорошо учиться", биологию изучать, химию и т.д. Ссылка на комментарий
doca Опубликовано 26 марта, 2017 Поделиться Опубликовано 26 марта, 2017 потому что всем расскажи КАК. ЧТО и ПОЧЕМУ мало кого волнует. Я на лекции спрашиваю у аудитории что такое остеоиндукция - в лучшем случае один человек знает половину правильного ответа.так ты лекцию готовил,а они нет)) 2 Ссылка на комментарий
Bier Опубликовано 27 марта, 2017 Поделиться Опубликовано 27 марта, 2017 так ты лекцию готовил,а они нет))да, лекторская деятельность помогает самообразовываться. Но согласись, что человеку занимающемуся аугментацией нужно бы эти понятия знать. Ссылка на комментарий
Рекомендуемые сообщения
Для публикации сообщений создайте учётную запись или авторизуйтесь
Вы должны быть пользователем, чтобы оставить комментарий
Создать аккаунт
Зарегистрируйте новый аккаунт в нашем сообществе. Это очень просто!
Регистрация нового пользователяВойти
Уже есть аккаунт? Войти в систему.
Войти