Stomka Опубликовано 12 марта, 2017 Поделиться Опубликовано 12 марта, 2017 Добрый день, коллеги. В последнее время навалилось много неприятных ситуаций, поделиться, увы, не с кем. Накопилось несколько вопросов, помогите, на каких курсах я могу их задать. 1. Вот исходная ситуация, у пациента первичная адентия, фронтальные зубы интактны, я заказываю wax-up и принимаю решение препарировать под виниры:На мой взгляд все хорошо, снимаю оттиски, отправляю в лабораторию, техник говорит что преп говно, надо делать колпачки. Перетачиваю, делаем коронки, все довольны, кроме меня. Вопрос: где косяк? 2. У пациента зубы практически все интактны, небольшие отклонения по оси и не устраивает цвет. Хочет 20 реставраций. Заказываем wax-up, техник утверждает, что на все зубы надо делать колпачки. Точу первый раз, оставил острые грани на границах поверхностей, переточил, второй раз оказалось, что недостаточно редуцировал вестибулярную поверхность, хотя коронки по ключу не просвечивают, переточил третий раз, пациента измучал донельзя, ей уже больно с кучей анестезии, отправил в работу, одновременно приняв решение, что это будет моя последняя работа, пока что-либо не поменяю. Вероятно, по фото нельзя объективно оценить качество препарирования, но все же. Вопроса два. Неужели всегда присутствует необходимость такого препарирования? Я думал, что 0,6 мм вполне достаточно для e.max. однако от эмали там уже мало что осталось. Жалко мне столько пилить. Вопрос второй: что менять? 3. Оттяжки на оттисках. Практически в каждой работе. Покрываю весь зуб коррегирующей массой, наношу эту массу и в ложку на базу, однако часто случается такая беда. Что делать? 4. Пришел пациент, зубы 13, 12, 11, 21 интактны. 18, 17, 28 отс. Зубы 16, 15, 14, 22, 23, 24, 26, 27 с полным разрушением коронковых частей, рекомендовано удалить их и установить имплантаты. Зуб 25 частично сохранен, будет восстановлен культевой вкладкой и искусственной коронкой. Направляю на клкт и к имплантологу, с рекмендацией по имплантации в карте. Появляется у меня этот пациент через несколько месяцев с установленными имплантатами в области 15 и 16 (расстояние между ними 2 мм) и удаленными остальными зубами (22, 23, 24, 26 (27 почему-то оставили). Звонит имплантолог, говорит, что справа импланты поставили, а слева у нас условия не позволяют, посоветуйте пациенту что-нибудь. Вопрос: как быть и где косяк в моем планировании. Простите, что текста много. В связи с эффектом снежного кома я в полном расстройстве от своей несостоятельности. Алкоголь не употребляю, потому вдвойне тяжелее. Посоветуйте, какие курсы посетить, пожалуйста. Ссылка на комментарий
Stomka Опубликовано 12 марта, 2017 Автор Поделиться Опубликовано 12 марта, 2017 Дополнение: нашел к первому пункту фото окончательного препарирования и сданной работы. Мне не нравится монотонность коронок. Ссылка на комментарий
chervoncevdaniil Опубликовано 12 марта, 2017 Поделиться Опубликовано 12 марта, 2017 Мне кажется у вас просто техник не в состоянии исполнить работу при такой толщине препарирования.Вы соотнесите реальные возможности лаборатории и то,что вы от них требуете.Мое мнение,на таком препе,как на фото номер 2 например,имакс сделать реально,но отнюдь не среднестатистическому технику.Вы либо ищите реально крутого мастера,либо обработать придется чуть инвазивнее,у меня бы техник тоже завернул такой преп,к сожалению.Хотя по фото видно,что вы очень аккуратно работаете и стараетесь.По поводу оттяжек извечные проблемы,попробуйте в базе сделать канавку и туда залить коррегир,ложку вносите ооооочень медленно,а ассистент пусть замешивает оооочень быстро 3 Ссылка на комментарий
Fibez Опубликовано 12 марта, 2017 Поделиться Опубликовано 12 марта, 2017 1 и 2. попробуйте сменит техника, если это возможно. обойдите лабы. посмотрите на живые работы. их толщину. и т.д. 3. быстро вносите 4. а вот это ужасно. хирург должен был сразу Вам перезвонить и сказать о том что он не может реализовать план. заменить хирурга 1 Ссылка на комментарий
StomV Опубликовано 12 марта, 2017 Поделиться Опубликовано 12 марта, 2017 1,2- по фото действительно сложно оценить преп,но думаю тут дело в технике.3- какой вязкости коррегирующую исполтзуете для одноэтапника?4. Странная ситуация,но по большей части проблема в недокоммуникации между докторами, на мой взгляд. Ссылка на комментарий
dentikl Опубликовано 12 марта, 2017 Поделиться Опубликовано 12 марта, 2017 (изменено) а покажите стрелочкой оттяжки на этом слепкеи ,если возможно,фото с воском первой работы Изменено 12 марта, 2017 пользователем dentikl Ссылка на комментарий
chervoncevdaniil Опубликовано 12 марта, 2017 Поделиться Опубликовано 12 марта, 2017 а покажите стрелочкой оттяжки на этом слепкеи ,если возможно,фото с воском первой работы21 и 22 с вестибулярки от уступа и выше по культе Ссылка на комментарий
krokomot Опубликовано 12 марта, 2017 Поделиться Опубликовано 12 марта, 2017 По мне преп уже достатостаточно инвазивный. Для того чтобы техник мог работать с уступами 0.3, ему нужен микроскоп или как минимум бинокуляры, подругому не реально. С моих уговоров мой техник тоже приобрел микроскоп, ненарадовался тогда, теперь благодарит. Ссылка на комментарий
Stomka Опубликовано 12 марта, 2017 Автор Поделиться Опубликовано 12 марта, 2017 Наш техник тоже с микроскопом. фото времяшек сделаю, когда сдавать будем. У меня с препарированием определенно есть проблемы, но чтоб со второго раза не получилось, я прям расстроился. 3- какой вязкости коррегирующую исполтзуете для одноэтапника? silagum putty. Возможно дело в скорости введения. Сегодня снял без оттяжек. Был у Бойкова на препарировании, но мне не понравилась его идея с уступом в 135 град, да и боры он очень жирные раздавал.. хотя, помню, хвалил)) Ссылка на комментарий
BasDent Опубликовано 12 марта, 2017 Поделиться Опубликовано 12 марта, 2017 Наш техник тоже с микроскопом. фото времяшек сделаю, когда сдавать будем. У меня с препарированием определенно есть проблемы, но чтоб со второго раза не получилось, я прям расстроился.А вы берите у техника контрольки, или необрезанную модель смотрите, чтобы вы с ним вместе выясняли где и что именно недоточено, на пальцах и с шаблонами. А то может ему западло виниры делать, вот он и вешает вам лапшу. При всём уважении к техникам, бывает у них такое дело... Ссылка на комментарий
dentikl Опубликовано 13 марта, 2017 Поделиться Опубликовано 13 марта, 2017 (изменено) 21 и 22 с вестибулярки от уступа и выше по культене вижу там.Если б модельки необрезанные глянуть.Без фото перенесенной восковки это просто крик души.а не просьба о помощи. Изменено 13 марта, 2017 пользователем dentikl Ссылка на комментарий
StomV Опубликовано 13 марта, 2017 Поделиться Опубликовано 13 марта, 2017 silagum putty.Я про коррегирующую спрашивал. Ссылка на комментарий
AndyAndy Опубликовано 13 марта, 2017 Поделиться Опубликовано 13 марта, 2017 По поводу первой ситуации - там было не вырулить винирами и с таким препом, если была поставлена цель закрыть диастему/тремы Ссылка на комментарий
TIGER Опубликовано 14 марта, 2017 Поделиться Опубликовано 14 марта, 2017 про оттяжки....тут поможет только Пентамикс и однородность масс(корректура и база)сталкивался с таким...именно вязкость.Плюс позиционеры на ложке,от смещения Ссылка на комментарий
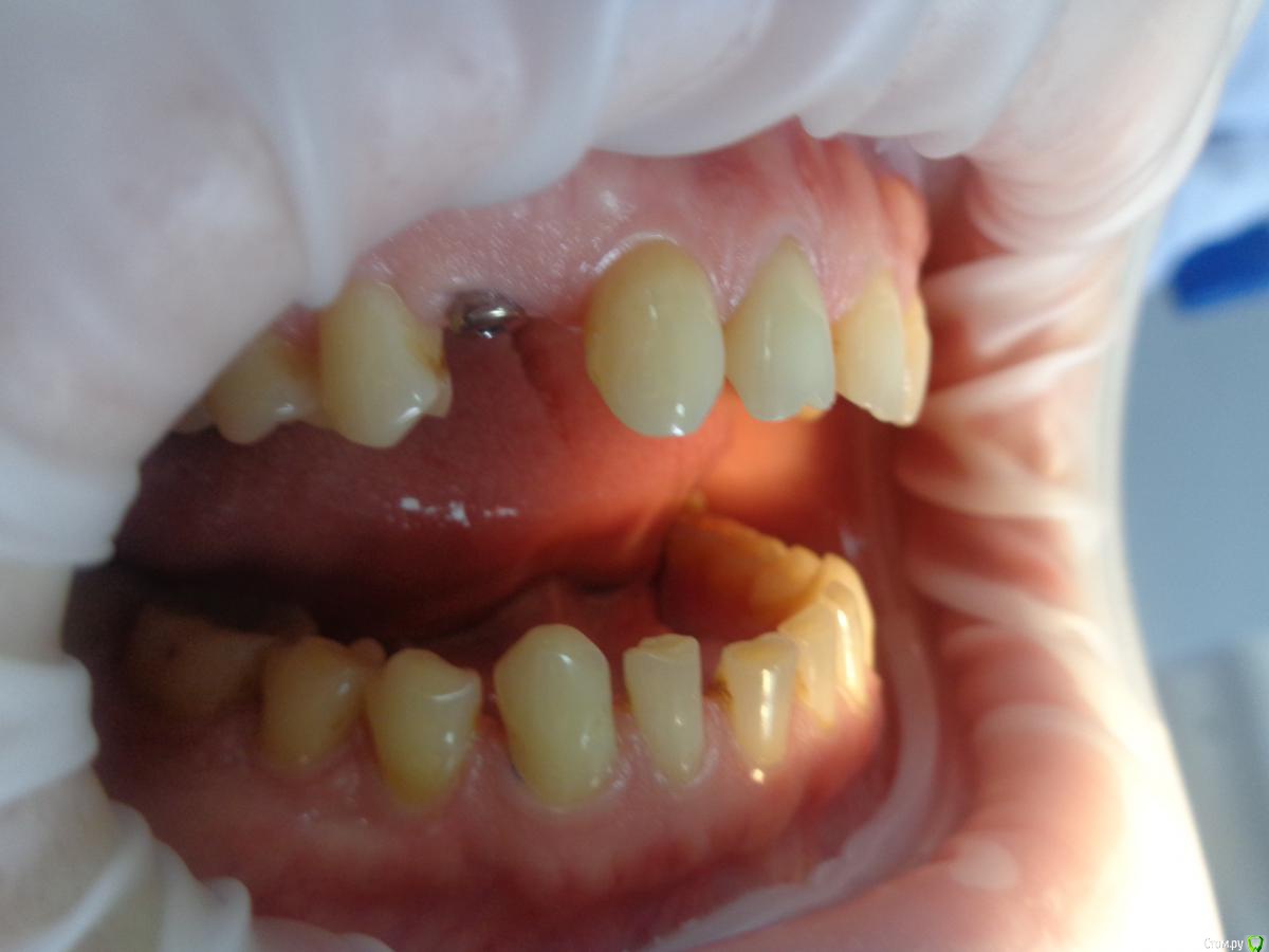
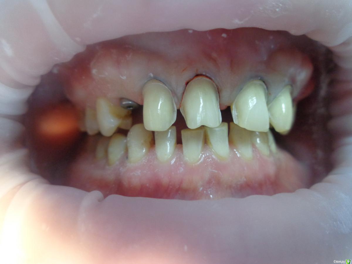
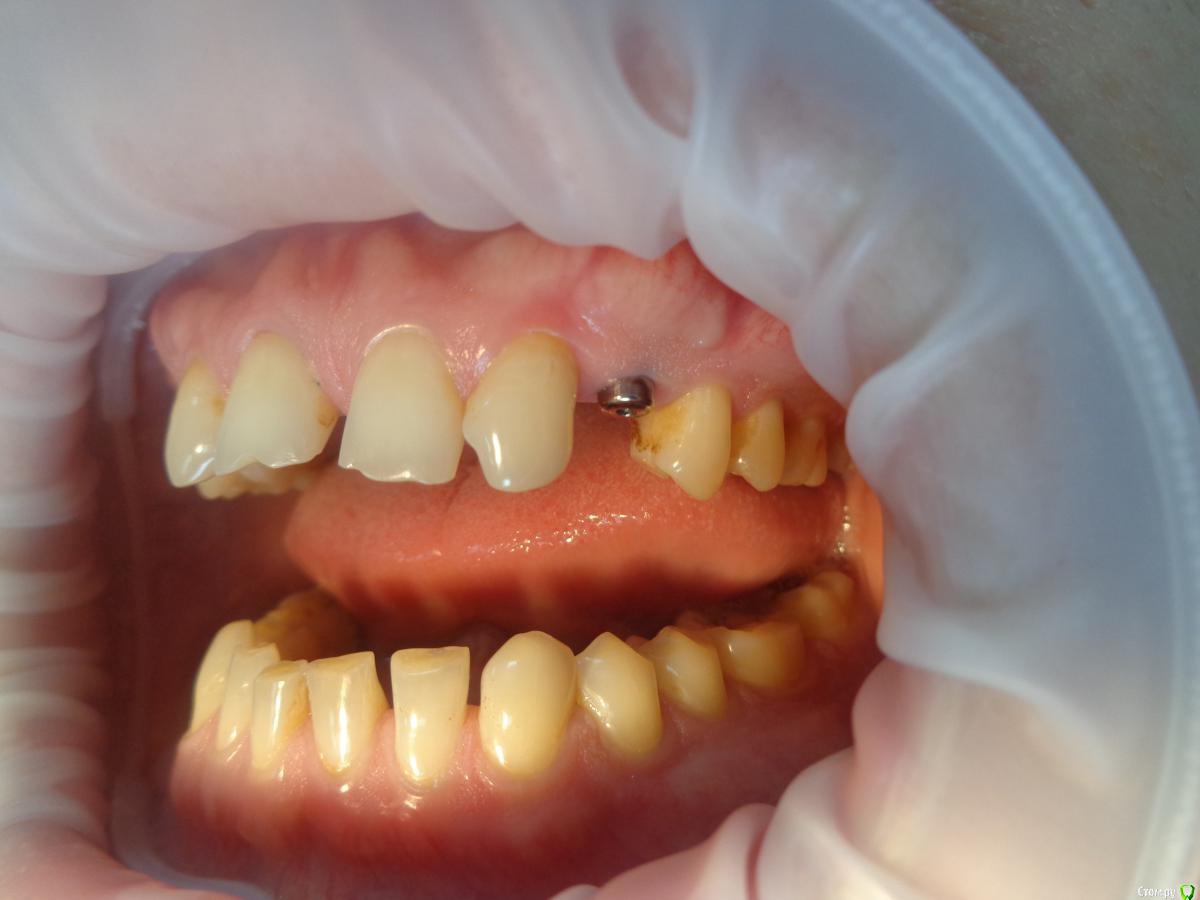
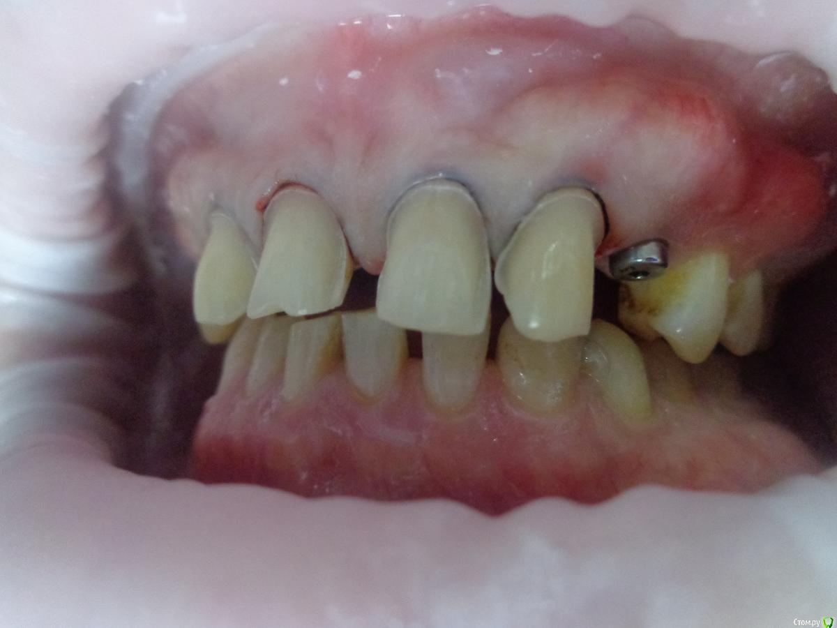
Stomka Опубликовано 2 апреля, 2017 Автор Поделиться Опубликовано 2 апреля, 2017 (изменено) Я про коррегирующую спрашивал.Итак, коррегирующая мне больше нравится текучая (Light), В более вязкой получается больше пор (лично у меня). Прикладываю фото до, фото временных реставраций и постоянных. Таблетки как я понял НО, техник сказал надо перекрывать (А3.5-->B1). В общем мне совсем не понравилось, в отличие от пациента. Фиксировал на U200 без платка, в этой клинике их нет. Как считаете, есть смысл поработать с другим техником? Свои недочеты я в принципе понял.До: Люксатемп: Сразу после фиксации: Фоткал на тел, когда буду делать красивые работы, возьмусь за хороший аппарат, пока стыдно... Изменено 2 апреля, 2017 пользователем Stomka 1 1 Ссылка на комментарий
gum Опубликовано 3 апреля, 2017 Поделиться Опубликовано 3 апреля, 2017 Посмотрите на коронки они монотонные и не красивые, вы молодец и на правильном пути меняйте техника и все у вас будет хорошо, если он такие коронки в клинику отдает, верните пару раз пусть переделает и послушайте, что скажет. Ссылка на комментарий
Audutor Опубликовано 3 апреля, 2017 Поделиться Опубликовано 3 апреля, 2017 Итак, коррегирующая мне больше нравится текучая (Light), В более вязкой получается больше пор (лично у меня). Прикладываю фото до, фото временных реставраций и постоянных. Таблетки как я понял НО, техник сказал надо перекрывать (А3.5-->B1). В общем мне совсем не понравилось, в отличие от пациента. Фиксировал на U200 без платка, в этой клинике их нет. Как считаете, есть смысл поработать с другим техником? Свои недочеты я в принципе понял.До: IMG_0276.JPGIMG_0277.JPGIMG_0282.JPGЛюксатемп: IMG_0390.JPGIMG_0391.JPGСразу после фиксации: IMG_0392.JPGIMG_0393.JPGФоткал на тел, когда буду делать красивые работы, возьмусь за хороший аппарат, пока стыдно...U200 редкостное г.....но, фиксируйте лучше на жидкотекучий композит, с полноценной протравкой и адгезивной обработкой.Хотя если у вас там фиксация работы на весь фронт, не иметь кофер как то даже смешно...Забейте на курсы и микропреп, первый пациент на фото явно в микропрепе не нуждаеться...) Гораздо важнее правильная подготовка, обработка песком, адгезивный протокол итд... Ссылка на комментарий
Stomka Опубликовано 4 апреля, 2017 Автор Поделиться Опубликовано 4 апреля, 2017 первый пациент на фото явно в микропрепе не нуждаеться...) можно было и без препарирования обойтись? Ссылка на комментарий
Audutor Опубликовано 4 апреля, 2017 Поделиться Опубликовано 4 апреля, 2017 можно было и без препарирования обойтись? Можно было бором поглубже)Касательно диастемы либо ортодонтия перед, либо апроксимально немного глубже, что впрочем не есть гуд...Микропреп есть фикция, рассчитанная на 20летних девочек, которые хотят себе люминиры, ультраниры и прочее несусветное... Ссылка на комментарий
TIGER Опубликовано 5 апреля, 2017 Поделиться Опубликовано 5 апреля, 2017 по поводу оттяжек при одноэтапном оттиске...Пентамикс и правильное сочетание масс вам в помощь Ссылка на комментарий
Рекомендуемые сообщения
Для публикации сообщений создайте учётную запись или авторизуйтесь
Вы должны быть пользователем, чтобы оставить комментарий
Создать аккаунт
Зарегистрируйте новый аккаунт в нашем сообществе. Это очень просто!
Регистрация нового пользователяВойти
Уже есть аккаунт? Войти в систему.
Войти