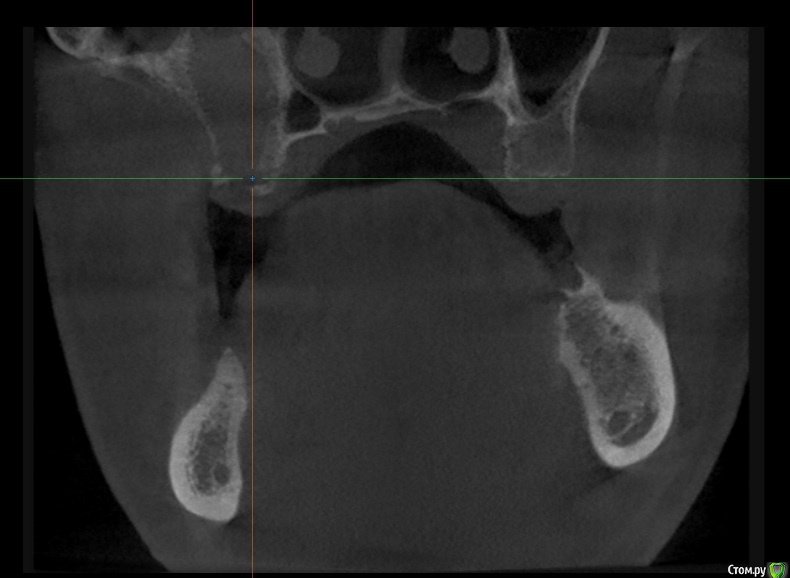
alboard Опубликовано 9 марта, 2017 Поделиться Опубликовано 9 марта, 2017 В области 16,17,18 дно отсутствует. Какая здесь может быть тактика? Ссылка на комментарий
TIGER Опубликовано 9 марта, 2017 Поделиться Опубликовано 9 марта, 2017 Ещё скрины есть? Ссылка на комментарий
alboard Опубликовано 9 марта, 2017 Автор Поделиться Опубликовано 9 марта, 2017 Еще парочка Ссылка на комментарий
Bier Опубликовано 9 марта, 2017 Поделиться Опубликовано 9 марта, 2017 зондировать пробовали? что там рентгеноконтрастное? Ссылка на комментарий
alboard Опубликовано 9 марта, 2017 Автор Поделиться Опубликовано 9 марта, 2017 Провалился, по ощущениям будто и нет ничего. Ссылка на комментарий
Dok22 Опубликовано 9 марта, 2017 Поделиться Опубликовано 9 марта, 2017 В пазухе какое то образование. 1 Ссылка на комментарий
Bier Опубликовано 9 марта, 2017 Поделиться Опубликовано 9 марта, 2017 да, надо с этим разбираться. Ссылка на комментарий
Gennadiy Опубликовано 9 марта, 2017 Поделиться Опубликовано 9 марта, 2017 Мне кажется корректно томограмму нужно поставить, и потом уже план работы строить Ссылка на комментарий
alboard Опубликовано 9 марта, 2017 Автор Поделиться Опубликовано 9 марта, 2017 К ЛОРу? Ссылка на комментарий
mr.Fog Опубликовано 9 марта, 2017 Поделиться Опубликовано 9 марта, 2017 Скорее всего это кальцифицированные останки радикулярной кисты. Ссылка на комментарий
Oscar Опубликовано 9 марта, 2017 Поделиться Опубликовано 9 марта, 2017 давно зубы удалены? Похоже на ретенционную кисту пазухи... Можно попробовать отслоить шнайдер снизу, если перфорация выход только "парашют"... Ссылка на комментарий
drpetrovich Опубликовано 13 марта, 2017 Поделиться Опубликовано 13 марта, 2017 Действительно по томограмме больше похоже на резидуальную кисту, т.е. при зондировании проваливаешься не в пазуху, а в полость кисты. Отделяемое было кстати? Вопрос про давность удаления актуален. Ссылка на комментарий
Рекомендуемые сообщения
Для публикации сообщений создайте учётную запись или авторизуйтесь
Вы должны быть пользователем, чтобы оставить комментарий
Создать аккаунт
Зарегистрируйте новый аккаунт в нашем сообществе. Это очень просто!
Регистрация нового пользователяВойти
Уже есть аккаунт? Войти в систему.
Войти