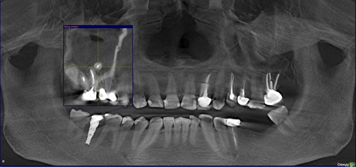
Jozjoz Опубликовано 8 марта, 2017 Поделиться Опубликовано 8 марта, 2017 Лет 8 назад удалял верхний зуб. Часть зуба попала в гайморову пазуху. КТ от октября 2016 года в приложении к теме. За эти 8 лет не было гайморитов и данный осколок никак меня не беспокоит. Вопрос:1. Обязательно ли удалять данный осколок зуба в ближайшее время (полгода) или можно потерпеть, пока не начнется гайморит (а он может никогда не начнется)?2. Я так понимаю операция называется гайморотомия. Предлагают сделать в амбулаторных условиях. Сколько дней после операции я не смогу работать в офисе ? 3. Может есть другие менее болезненные варианты удаления осколка зуба ? 4. Какие последствия возможны, если не удалять данный осколок зуба Спасибо большое Ссылка на комментарий
krokomot Опубликовано 8 марта, 2017 Поделиться Опубликовано 8 марта, 2017 По снимку у вас явная гипертрофия слизистой, то что должно быть запоненно воздухом, увас заполненно разросшейся слизистой практически вся пазуха, но тут еще нужно покрутить срезы кт. Может причина и не только в этом корне Ссылка на комментарий
Jozjoz Опубликовано 9 марта, 2017 Автор Поделиться Опубликовано 9 марта, 2017 Могу выложить в drive.google.com или на disk.yandex.ru полную КТ(размер около 300 Мб). Возникли вопросы: 1) а к кому лучше обращаться по поводу операции по удалению части зуба из гайморовой пазухи ? К челюстно-лицевому хирургу или к ЛОР врачу ? 2) И в какую клинику в Москве лучше ? 3) Чем мне грозит данная ситуация ? Гайморитом ? Спасибо Ссылка на комментарий
krokomot Опубликовано 9 марта, 2017 Поделиться Опубликовано 9 марта, 2017 1. к челюстно-лицевому хирургу, либо к лору владеющему эндоскопией2. по поводу клиники, необходимо найти именно врача, воспользуйтесь форумом и темой ищу врача в городе Н3.Гайморит уже есть в хронической форме Ссылка на комментарий
Bier Опубликовано 9 марта, 2017 Поделиться Опубликовано 9 марта, 2017 В Москве есть замечальный ЛОР, дал контакты в личку. Ссылка на комментарий
Jozjoz Опубликовано 3 мая, 2017 Автор Поделиться Опубликовано 3 мая, 2017 Спасибо за помощьУ меня есть ДМС в клиниках ниже в какую из них лучше обратиться по поводу осколка зуба или лучше обратитсья по ОМС, может быть отправят в ЦНИИС и ЧЛХ ? Филиал «Мединцентр» ГЛАВ УпДК при МИД России ЗАО МЕДИЦИНСКИЙ РЕАБИЛИТАЦИОННЫЙ ЦЕНТР «ЗДОРОВЬЕ ДЛЯ ВАС» (К+31) К+31 - ЗАО «К 31 Сити» КДЦ «АРБАТСКИЙ» ФГБУ «НМХЦ ИМ. Н.И.ПИРОГОВА» МИНЗДРАВА РОССИИ ЗАО «МЕДСИ»ЗАО МВП «Семейный доктор»ФГБУ «ЛРЦ» МИНЗДРАВСОЦРАЗВИТИЯ РОССИИ ООО Медико-Диагностический Центр «ОЛИМП» ЗАО «Центральная поликлиника Литфонда»ООО «КЛИНИКА ЛМС» (КЛИНИКА БУДЬ ЗДОРОВ) ФИЛИАЛ № 5 ФГУ «3 ЦВКГ ИМ.А.А.ВИШНЕВСКОГО МИНОБОРОНЫ РОССИИ» (ФИЛИАЛ) (бывш. ЛДЦ №9 Мин.обороны РФ) МУ «П-ка ФНПР»КДЦ «ИЗМАЙЛОВСКИЙ» ФГБУ «НМХЦ ИМ Н.И.ПИРОГОВА» МИНЗДРАВА РОССИИ ПОЛИКЛИНИЧЕСКОЕ ОТДЕЛЕНИЕ НА СТАНЦИИ ЛЮБЛИНО НУЗ "ДОРОЖНАЯ КЛИНИЧЕСКАЯ БОЛЬНИЦА ИМ.Н.А. СЕМАШКО НА СТАНЦИИ ЛЮБЛИНО ОАО «РЖД»ООО «НИАРМЕДИК ПЛЮС»ФИЛИАЛ ФГБЛПУ «ЛЕЧЕБНО-ОЗДОРОВИТЕЛЬНЫЙ ЦЕНТР МИД РОССИИ» - ПОЛИКЛИНИКА АВС-медицина (ООО «Мед-Лидер»)АНО "ГУТА-КЛИНИК"ООО "Доктор рядом" Ссылка на комментарий
Bier Опубликовано 5 мая, 2017 Поделиться Опубликовано 5 мая, 2017 я же вам дал контакты хорошего ЛОРа. Я бы пошел туда, а не играл бы в лоторею с ДМС. И уж тем более с ОМС ) 1 Ссылка на комментарий
ПалСаныч Опубликовано 5 мая, 2017 Поделиться Опубликовано 5 мая, 2017 Истина есть в ваших словах, Олег Юрьевич... но и пациента понять можно... он платит страховку дмс, которая обеспечивает его медпомощью, а тут еще самому платить надо.... из перечисленных однозначно не 9 лдц. Могу из списка отметить только измайловский НМХЦ. про остальные не знаю. Ссылка на комментарий
Bier Опубликовано 5 мая, 2017 Поделиться Опубликовано 5 мая, 2017 Истина есть в ваших словах, Олег Юрьевич... но и пациента понять можно... он платит страховку дмс, которая обеспечивает его медпомощью, а тут еще самому платить надо.... ну если к здоровью относиться, как к помидорам на рынке, то конечно правильное рассуждение.Ну, а платит не пациент, платит его работодатель скорее всего. В нашей стране первичен выбор врача, если получается пойти к своему врачу по ДМС, то и хорошо. Ссылка на комментарий
ПалСаныч Опубликовано 5 мая, 2017 Поделиться Опубликовано 5 мая, 2017 Ну так то да... Ссылка на комментарий
Рекомендуемые сообщения
Для публикации сообщений создайте учётную запись или авторизуйтесь
Вы должны быть пользователем, чтобы оставить комментарий
Создать аккаунт
Зарегистрируйте новый аккаунт в нашем сообществе. Это очень просто!
Регистрация нового пользователяВойти
Уже есть аккаунт? Войти в систему.
Войти