Ника9115 Опубликовано 1 марта, 2017 Поделиться Опубликовано 1 марта, 2017 (изменено) Здравствуйте, очень волнуюсь из за лунки, удаление было 14 февраля, сложное, более часа, лунка была заложена лекарством, сгустка не получилось, 2 недели ходила меняли губки + пытались 2 раза накладывать швы, один раз они сами рассосались на следующий день, а второй раз наложили которые надо снимать через неделю, так на след день они тоже разошлись, поэтому ложили постоянно губки, так как они выпадали постоянно, в то воскресенье положили последнюю и сказали больше не надо, всё так затянется, присутствую ноющие, иногда тянущие боли, не сильные, но не приятные, врач сказал, что лунка большая и болеть будет долго, вчера заметила внутри лунки какое-то уплотнение, со стороны языка, испугалась, пошла к врачу, он просто посмотрел , не трогал не чего, сказал всё нормально и отправил домой, сказал это лунка так стягивается, но что то мне подсказывает, что это не так, я все ровно переживаю... Живем в маленьком городе и больше обратиться некуда. Сказал если будут нестерпимые боли , то приходить. Фото прилагаю , первое и второе фото как вчера и сегодня , а последнее как было 22 февраля, прям как шишечка появилась. Изменено 1 марта, 2017 пользователем Ника9115 1 1 Ссылка на комментарий
Ника9115 Опубликовано 1 марта, 2017 Автор Поделиться Опубликовано 1 марта, 2017 (изменено) отредактировала первое сообщение . Изменено 1 марта, 2017 пользователем Ника9115 Ссылка на комментарий
Bier Опубликовано 1 марта, 2017 Поделиться Опубликовано 1 марта, 2017 ваш врач прав, все вроде бы неплохо заживает. 1 Ссылка на комментарий
Ника9115 Опубликовано 1 марта, 2017 Автор Поделиться Опубликовано 1 марта, 2017 ваш врач прав, все вроде бы неплохо заживает.А не подскажете , что это за шишечка появилась? Ссылка на комментарий
red_butler Опубликовано 1 марта, 2017 Поделиться Опубликовано 1 марта, 2017 сделайте и покажите Rg Ссылка на комментарий
Ника9115 Опубликовано 2 марта, 2017 Автор Поделиться Опубликовано 2 марта, 2017 сделайте и покажите Rgснимок делали , на руки не дали, сказал что все чисто. Ссылка на комментарий
DrNice Опубликовано 2 марта, 2017 Поделиться Опубликовано 2 марта, 2017 снимок делали , на руки не дали, сказал что все чисто.Попросите на руки и выложите сюда Ссылка на комментарий
колесников Опубликовано 3 марта, 2017 Поделиться Опубликовано 3 марта, 2017 Шишечка-это край лунки. Десна заживает и "обжимает " все выступы. Раньше десну поддерживал зуб,теперь его нет. Ссылка на комментарий
Ника9115 Опубликовано 4 марта, 2017 Автор Поделиться Опубликовано 4 марта, 2017 Здравствуйте еще раз , удалили 14 февраля, то есть прошло почти 3 недели , десна немного ноет, и красная , при дотрагиваться языком немого больно, на фото выше видно лунку, там фибрин как я поняла, сегодня посмотрела в лунку, а там нету этого налета белого больше , шишечка та прошла помойму. Вот как выглядит лунка сейчас, боюсь воспаления опять , но вроде становится меньше, беспокоит десна, о что она красноватая и болит при дотрагивание. Ссылка на комментарий
Bier Опубликовано 4 марта, 2017 Поделиться Опубликовано 4 марта, 2017 оставьте организм в покое. 4 Ссылка на комментарий
Ника9115 Опубликовано 15 марта, 2017 Автор Поделиться Опубликовано 15 марта, 2017 Снова здравствует, хотела спросить , сколько будет заживать пустая лунка как у меня? и можно туда днем закладывать солкосерил? не удобно кушать, постоянно забивается еда((( Ссылка на комментарий
red_butler Опубликовано 15 марта, 2017 Поделиться Опубликовано 15 марта, 2017 Снова здравствует, хотела спросить , сколько будет заживать пустая лунка как у меня? и можно туда днем закладывать солкосерил? не удобно кушать, постоянно забивается еда(((около 3-4 недель. в солкосериле смысла не вижу. Ссылка на комментарий
Ника9115 Опубликовано 15 марта, 2017 Автор Поделиться Опубликовано 15 марта, 2017 около 3-4 недель. в солкосериле смысла не вижу.просто после удаления прошел уже месяц , 14 февраля удалили, а дырка все еще большая . Ссылка на комментарий
red_butler Опубликовано 15 марта, 2017 Поделиться Опубликовано 15 марта, 2017 сделайте и покажите Rgдождемся? Ссылка на комментарий
Ника9115 Опубликовано 15 марта, 2017 Автор Поделиться Опубликовано 15 марта, 2017 дождемся?ехать за снимком за 180км муж не собирается , а в нашей поликлиники спросили "болит?" я сказала что нет, они сказали , тогда и снимок делать не надо, и отправили... меня просто интересует вопрос, долго ли будет затягиваться пустая лунка, без сгустка , прошел просто уже месяц после удаления . Ссылка на комментарий
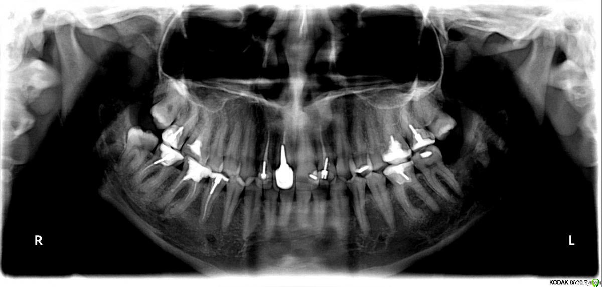
Ника9115 Опубликовано 29 марта, 2017 Автор Поделиться Опубликовано 29 марта, 2017 Cделала снимок, хотела бы еще спросить по поводу других зубов, стоит ли удалять 8 ? Да и другие зубы интересуют, хотелось бы все пролечить перед планированием . Ссылка на комментарий
red_butler Опубликовано 29 марта, 2017 Поделиться Опубликовано 29 марта, 2017 Все восьмерки удаляйте. Работы во рту предстоит много... Ссылка на комментарий
Рекомендуемые сообщения
Для публикации сообщений создайте учётную запись или авторизуйтесь
Вы должны быть пользователем, чтобы оставить комментарий
Создать аккаунт
Зарегистрируйте новый аккаунт в нашем сообществе. Это очень просто!
Регистрация нового пользователяВойти
Уже есть аккаунт? Войти в систему.
Войти