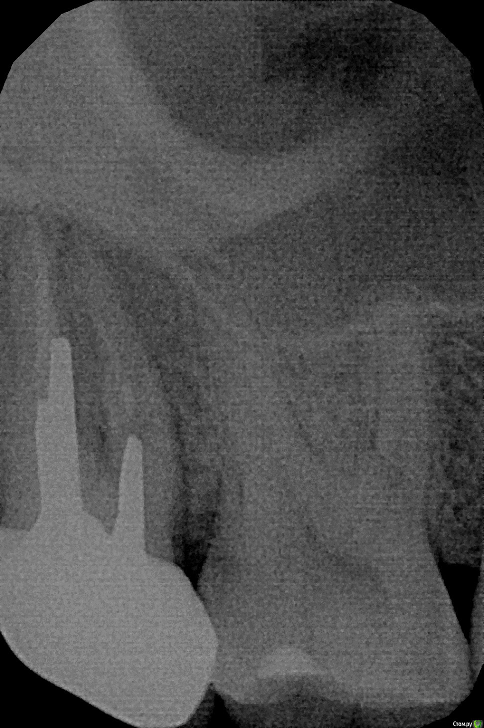
viavvv Опубликовано 25 февраля, 2017 Поделиться Опубликовано 25 февраля, 2017 Добрый день! Хотелось бы узнать мнение врачей по ситуации.Верхние восьмёрки давно удалены.Каналы в верхней 7-ке были запломбированы более 5 лет назад, и тогда же была установлена культевая вкладка + коронка. 5 лет зуб не беспокоил никак.Недавно в командировке зуб 7ка заболел.Боль проявлялась при нажатии на зуб, а также была лёгкая постоянная боль, которая утихала после полоскания тёплой солёной водой. Через 6 дней вернулся в Москву, показался стоматологу, он сделал рентген и по нему сказал:1) есть воспаление у корня2) лечить зуб не удастся, т.к. такую культевую вкладку достать нельзя - она стоит враспорку3) каналы запломбированы не до конца4) сказал, что может "дать лекарство", но зуб будет болеть и в будущем - при любом ослаблении иммунитета5) поэтому нужно удалять Зуб удалили. Врач сказал, что через полгода можно приходить, ставить имплант. Спустя несколько дней после удаления зуба изучил тему и похожие случаи на форумах, выяснил про то, что вкладку в некоторых случаях можно убрать ультразвуком и начал сомневаться в решении доктора - а можно ли было всё-таки убрать вкладку и вылечить зуб, обойдясь без удаления? Рентген прикладываю. Спасибо Ссылка на комментарий
Ker Опубликовано 27 февраля, 2017 Поделиться Опубликовано 27 февраля, 2017 Чисто теоритически - можно, но прогноз хуже чем удаление и имплантация. Ссылка на комментарий
viavvv Опубликовано 1 марта, 2017 Автор Поделиться Опубликовано 1 марта, 2017 Спасибо.А по рентгену - можете, пожалуйста, подсказать - как выглядит и где именно тут воспаление?На аналогичных снимках в интернете увидел, что воспаление отображается чёрной областью на рентгене, а тут я не вижу этой области.. Ссылка на комментарий
Рекомендуемые сообщения
Для публикации сообщений создайте учётную запись или авторизуйтесь
Вы должны быть пользователем, чтобы оставить комментарий
Создать аккаунт
Зарегистрируйте новый аккаунт в нашем сообществе. Это очень просто!
Регистрация нового пользователяВойти
Уже есть аккаунт? Войти в систему.
Войти