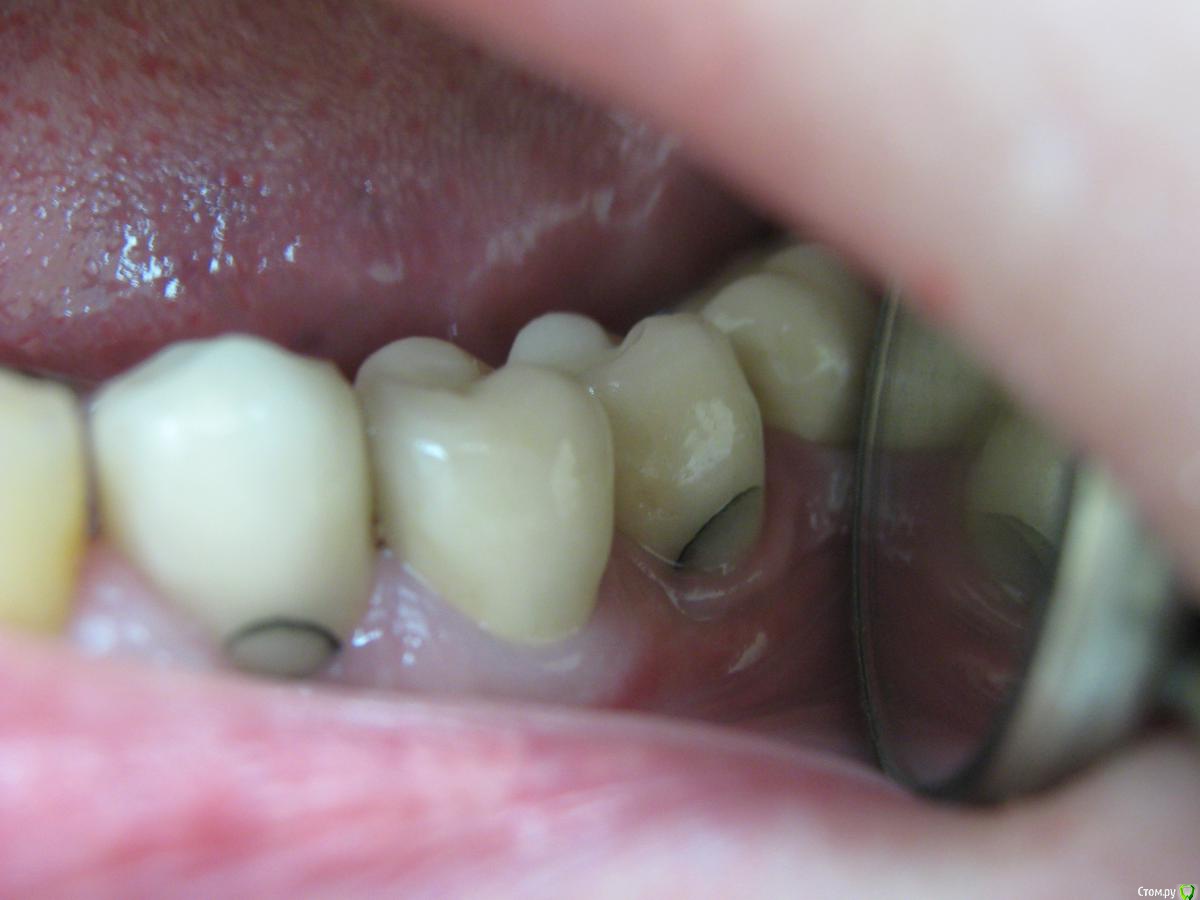
Кирилл 1986 Опубликовано 15 февраля, 2017 Поделиться Опубликовано 15 февраля, 2017 Уважаемые коллеги, какие могут быть причины появления подобных трещин?3.4,3.6 - коронки на имплантатах (цементная фиксация), 3.5 - коронка на зубе. Фиксированы 1.5 года назад.Потемнения появились только сейчас. Ранее никаких жалоб не было. Раз в полгода пациенту проводились чистки. Ссылка на комментарий
anvladd Опубликовано 15 февраля, 2017 Поделиться Опубликовано 15 февраля, 2017 Скалером похоже лишканули Ссылка на комментарий
DmitrySH Опубликовано 15 февраля, 2017 Поделиться Опубликовано 15 февраля, 2017 Коронки с плечевой массой были? Скалером похоже лишканулиТогда были бы мелкие сколы, кмк Ссылка на комментарий
dok1 Опубликовано 15 февраля, 2017 Поделиться Опубликовано 15 февраля, 2017 Если не лень - выложите чёткие снимки этих коронок. Ссылка на комментарий
zubovolok Опубликовано 16 февраля, 2017 Поделиться Опубликовано 16 февраля, 2017 Уважаемые коллеги, какие могут быть причины появления подобных трещин?3.4,3.6 - коронки на имплантатах (цементная фиксация), 3.5 - коронка на зубе. Фиксированы 1.5 года назад.Потемнения появились только сейчас. Ранее никаких жалоб не было. Раз в полгода пациенту проводились чистки.присоединяюсь к вопросу, точно такие же "полосы" появляются на мк коронках на цементной фиксации на абатментах, не зондируются,а росполагаются как будто внутри. В нашей клинике не у одного меня такая проблема и техники разные. Грешили на металл, поменяли, все равно появляются. Достаточно работ уже переделал. Не знаем что делать, коллеги подскажите?! Ссылка на комментарий
zubovolok Опубликовано 16 февраля, 2017 Поделиться Опубликовано 16 февраля, 2017 Коронки с плечевой массой были? Тогда были бы мелкие сколы, кмку меня без плечевой и без проф гигиены Ссылка на комментарий
Кирилл 1986 Опубликовано 16 февраля, 2017 Автор Поделиться Опубликовано 16 февраля, 2017 Точно не помню,на счёт плечевой массы. Ссылка на комментарий
beststomatolog Опубликовано 15 марта, 2017 Поделиться Опубликовано 15 марта, 2017 (изменено) Может проблема не в металле, а в печке? Изменено 15 марта, 2017 пользователем beststomatolog Ссылка на комментарий
zubovolok Опубликовано 16 марта, 2017 Поделиться Опубликовано 16 марта, 2017 Может проблема не в металле, а в печке? какая например, что с ней не так. Из разных лабораторий коронки были. Ссылка на комментарий
dentikl Опубликовано 19 марта, 2017 Поделиться Опубликовано 19 марта, 2017 (изменено) бруксизм(или тонкий край металла у шейки и треск при примерке,или плохочитаемый преп или слепок).А почему в разных лабах? Изменено 19 марта, 2017 пользователем dentikl Ссылка на комментарий
Рекомендуемые сообщения
Для публикации сообщений создайте учётную запись или авторизуйтесь
Вы должны быть пользователем, чтобы оставить комментарий
Создать аккаунт
Зарегистрируйте новый аккаунт в нашем сообществе. Это очень просто!
Регистрация нового пользователяВойти
Уже есть аккаунт? Войти в систему.
Войти