Alex19_73 Опубликовано 15 февраля, 2017 Поделиться Опубликовано 15 февраля, 2017 Доброго времени суток!Оцените пожалуйста качество имплантации и последующего протезирования. Имплантация проводилась с расщеплением гребня, имплант оказался смещен внутрь относительно других зубов. Хотел металлокерамическую коронку на винте, но ортопед сказал что возможно поставить только на цементе т.к. имплант сильно смещён внутрь. Вчера установили коронку но после дома стал разглядывать и она мне совсем не понравилась. По ощущениям очень неприятна, громоздка, когда жуешь то же как то не как родной зуб, языки щека постоянно по ней трут. С обратной стороны коронки обнаружил что то белое, наверно цемент, зубочисткой и ирригатором снять не удалось. Ортопед обратную поверхность зуба ковырял крюком счищая цемент. Это белое спускается с коронки прямо на десну.Можно ли если это цемент счистить его не испортив керамику коронки? Не может ли спровоцировать переимплантит такое затекание цемента, и вообще насколько это профессионально и соответствует протоколам (работа имплантолога и ортопеда)? Заранее спасибо. Ссылка на комментарий
M@estro Опубликовано 15 февраля, 2017 Поделиться Опубликовано 15 февраля, 2017 Здравствуйте! Это не цемент, так размоделирована коронка, насколько я могу судить по представленным фотографиям. Ссылка на комментарий
Alex19_73 Опубликовано 16 февраля, 2017 Автор Поделиться Опубликовано 16 февраля, 2017 Как оказалось позже, во время еды, под зуб ещё и большие куски еды попадают и там остаются, флос под зубом проходит очень свободно. Ссылка на комментарий
dok1 Опубликовано 16 февраля, 2017 Поделиться Опубликовано 16 февраля, 2017 Выложите снимок импланта. Только чёткий. Ещё лучше срез КТ. Ссылка на комментарий
M@estro Опубликовано 16 февраля, 2017 Поделиться Опубликовано 16 февраля, 2017 Шарф из волокнистого мяса на абатменте... ммм, вот что мне не хватало увидеть этим прекрасным вечером Кидайте снимок 3 Ссылка на комментарий
Alex19_73 Опубликовано 17 февраля, 2017 Автор Поделиться Опубликовано 17 февраля, 2017 К сожалению снимок после имплантации пока не делал, сразу после имплантации врач делал томографию, но она есть наверно только на компьютере в клинике. Перед протезированием имплант был в хорошем (насколько я могу судить) состоянии под нагрузкой проверяли. Был вчера у ортопеда, оказалось что это не цемент а коронка, просто если смотреть спереди низ кажется светлее. Что бы уменьшить застревание еды хирург предложил бесплатно сделать пластику десны, с чем я согласился. Коронку снять не удалось, несмотря на значительные усилия в течении часа . Цемент mis. Пластику решили делать с установленной коронкой. Спасибо ответившим. Ссылка на комментарий
red_butler Опубликовано 17 февраля, 2017 Поделиться Опубликовано 17 февраля, 2017 не забудьте поделиться результатом. Ссылка на комментарий
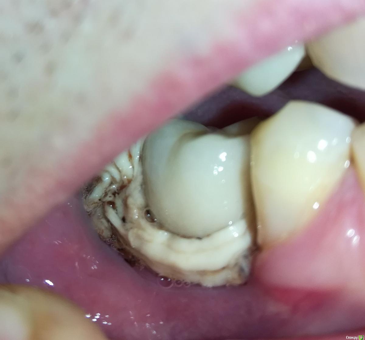
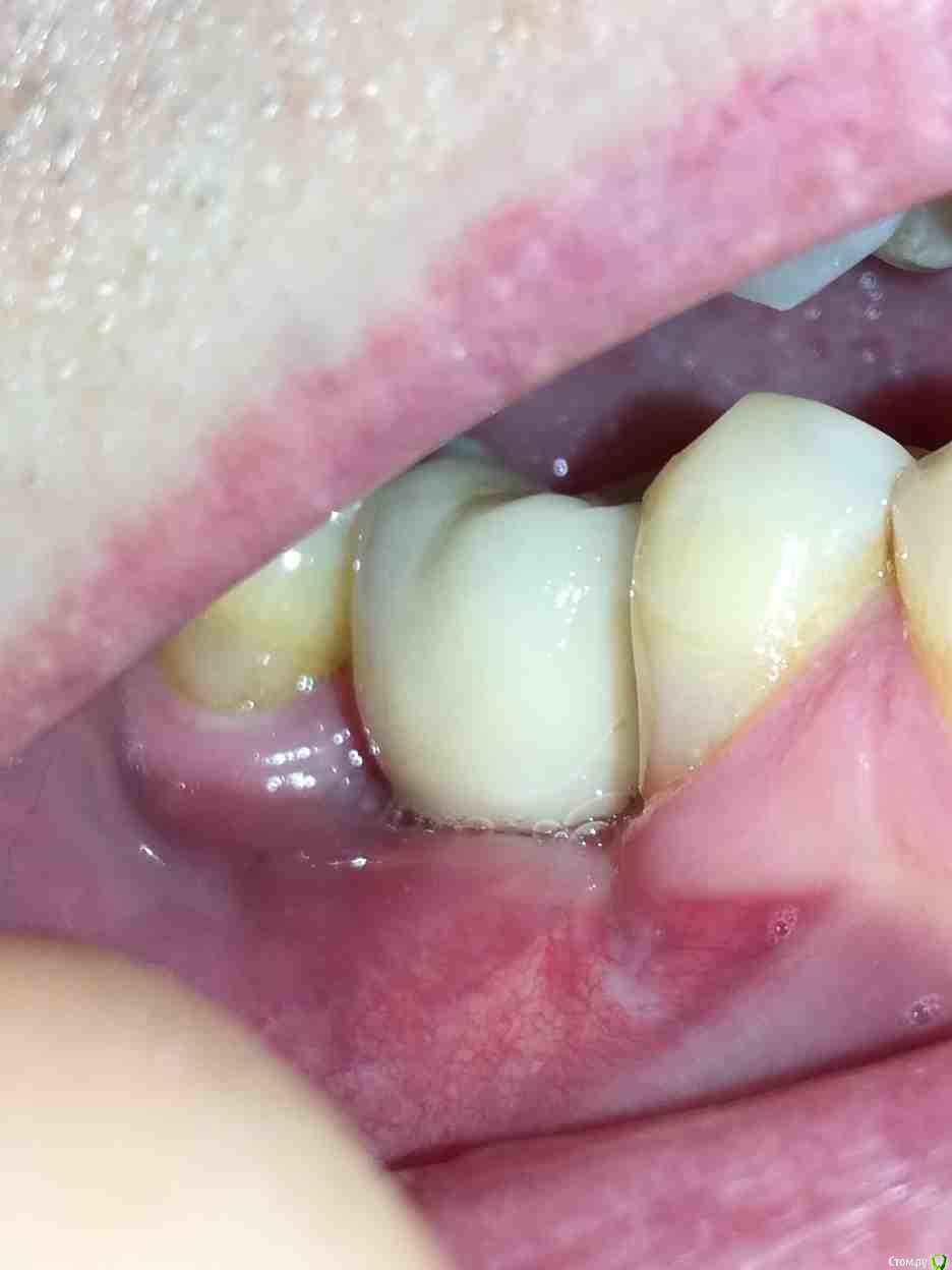
Alex19_73 Опубликовано 3 апреля, 2017 Автор Поделиться Опубликовано 3 апреля, 2017 Первую пластику десны сделали, фото ниже, на днях намечена вторая операция пластики десны.Но обнаружилась проблема в том месте в котором подозревал ее изначально. В четверг начал разглядывать десну со стороны языка и показалось подозрительным что ее край слишком светлый. Разглядел что в районе края десны на коронке какая то неоднородность, ощущение что она трет по десне и похоже десна уже несколько опустилась и вдобавок там не заживающая рана. Фото с кровью было сделано утром до чистки зубов, хотел сделать фотографию, но мешали пузырьки слюны, провел по десне языком и пошла кровь.Врачу еще об этом не говорил. Помогите пожалуйста определиться с тем что делать в такой ситуации, что просить у врача, что должен сделать врач. Коронка несъемная. Ее можно только распилить. Ссылка на комментарий
Alex19_73 Опубликовано 3 апреля, 2017 Автор Поделиться Опубликовано 3 апреля, 2017 здесь наверно лучше видно структуру этого фрагмента , что типа "грозди" Ссылка на комментарий
AndyAndy Опубликовано 3 апреля, 2017 Поделиться Опубликовано 3 апреля, 2017 Ну, по-хорошему коронку надо бы снять. Привести в порядок десну (купировать воспаление, сделать пластику), поставить формирователь на время. Коронку можно попробовать пропилить по месту выхода шахты винта и снять вместе с абатментом, это чтобы не распиливать её Ссылка на комментарий
Alex19_73 Опубликовано 4 апреля, 2017 Автор Поделиться Опубликовано 4 апреля, 2017 Руководитель клиники-очень ответственный и хороший человек, грамотный врач, предложил все то же самое, коронку уже сняли, на очереди пластика и новая коронка, все по гарантии.Считаю что повезло с клиникой. 3 Ссылка на комментарий
Рекомендуемые сообщения
Для публикации сообщений создайте учётную запись или авторизуйтесь
Вы должны быть пользователем, чтобы оставить комментарий
Создать аккаунт
Зарегистрируйте новый аккаунт в нашем сообществе. Это очень просто!
Регистрация нового пользователяВойти
Уже есть аккаунт? Войти в систему.
Войти