Перейти к содержанию
Стоматология для всех

Нужно ли переклеивать брекеты ?


_nala_

Рекомендуемые сообщения

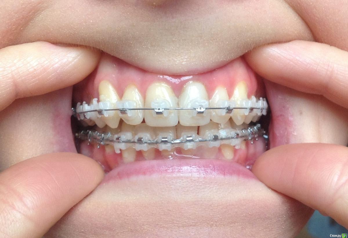
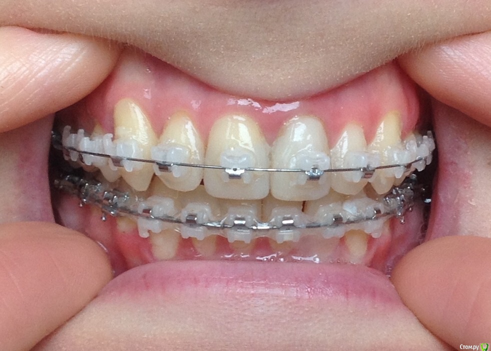
Добрый день ! Мне 29 лет. Ношу брекеты 10 мес. На данном этапе лечения сделали панорамный снимок, чтобы посмотреть ровно ли стоят корни зубов. После этого врач решил переклеить один брекет на клыке ( на снимке его видно слева ). А мне по снимку бросились в глаза , помимо этого клыка, рядом стоящий боковой резец ( он же не нравится мне как стоит и внешне) , и на нижней челюсти : 1- ый премоляр,и рядом стоящие 3 резца. Врач сказал подумать неделю и решить, хочу ли я переклеить или нет какой либо из брекетов,тк дальше они так и останутся. На её взгляд ничего переклеивать , кроме клыка, больше не нужно.

П.с. На нижн. челюсть уже поставили резинки для стягивания щелей. Я так понимаю после этого этапа уже на них брекеты не будут переклеиваться ?

Главный вопрос : Нужно ли мне переклеивать еще какие- нибудь брекеты , опускать или поднимать какой- либо из зубов, чтобы добиться большей эстетики и в дальнейшем правильного прикуса ? Или же не нужно. Заранее спасибо за внимание.

post-48307-0-44280600-1486887614_thumb.jpg

post-48307-0-09879700-1486888195_thumb.jpg

post-48307-0-73339000-1486888545_thumb.jpg

post-48307-0-79307500-1486892705_thumb.jpg

post-48307-0-73974300-1486892726_thumb.jpg

post-48307-0-61368100-1486892747_thumb.jpg

post-48307-0-78509300-1486892761_thumb.jpg

post-48307-0-42754400-1486892774_thumb.jpg

post-48307-0-90864700-1486892785_thumb.jpg

post-48307-0-83446100-1486893567_thumb.jpg

post-48307-0-07086400-1486893655_thumb.jpg

  • Поддерживаю 1
Ссылка на комментарий

Для публикации сообщений создайте учётную запись или авторизуйтесь

Вы должны быть пользователем, чтобы оставить комментарий

Создать аккаунт

Зарегистрируйте новый аккаунт в нашем сообществе. Это очень просто!

Регистрация нового пользователя

Войти

Уже есть аккаунт? Войти в систему.

Войти
×
×
  • Создать...
Вверх