Wolfenstein Опубликовано 9 февраля, 2017 Поделиться Опубликовано 9 февраля, 2017 Сделал КТ всех зубов, прокомментируйте с чего начать?Архив Snimok_1.rarhttps://yadi.sk/d/Z95V-9OL3DhHBq Ссылка на комментарий
red_butler Опубликовано 10 февраля, 2017 Поделиться Опубликовано 10 февраля, 2017 весь архив качать мало кто захочет или сможет технически. Выкладывайте срезы зоны интереса. И напишите что Вас беспокоит. Ссылка на комментарий
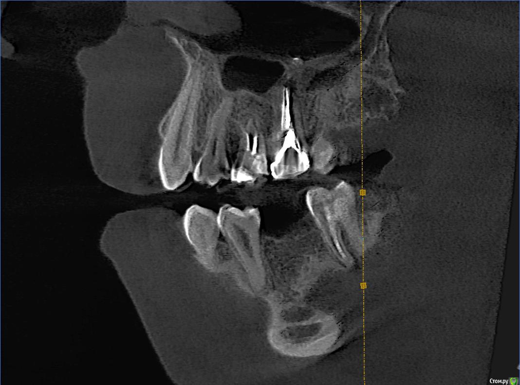
Wolfenstein Опубликовано 12 февраля, 2017 Автор Поделиться Опубликовано 12 февраля, 2017 Снимки прикрепил Ссылка на комментарий
Wolfenstein Опубликовано 12 февраля, 2017 Автор Поделиться Опубликовано 12 февраля, 2017 (изменено) вот еще один снимок Изменено 12 февраля, 2017 пользователем Wolfenstein Ссылка на комментарий
Doc Опубликовано 12 февраля, 2017 Поделиться Опубликовано 12 февраля, 2017 вот еще один снимокСнимки видно, вопросов нет. 1 Ссылка на комментарий
DrNice Опубликовано 12 февраля, 2017 Поделиться Опубликовано 12 февраля, 2017 Снимки видно, вопросов нет. Ссылка на комментарий
Wolfenstein Опубликовано 13 февраля, 2017 Автор Поделиться Опубликовано 13 февраля, 2017 Теперь вопрос, что стоит удалить? а что оставить? Ссылка на комментарий
red_butler Опубликовано 13 февраля, 2017 Поделиться Опубликовано 13 февраля, 2017 И напишите что Вас беспокоит. Ссылка на комментарий
Wolfenstein Опубликовано 13 февраля, 2017 Автор Поделиться Опубликовано 13 февраля, 2017 36 Ссылка на комментарий
red_butler Опубликовано 13 февраля, 2017 Поделиться Опубликовано 13 февраля, 2017 363.6 отсутствует, планируйте имплантацию и протезирование Ссылка на комментарий
Wolfenstein Опубликовано 13 февраля, 2017 Автор Поделиться Опубликовано 13 февраля, 2017 3.7 с пломбой Ссылка на комментарий
red_butler Опубликовано 13 февраля, 2017 Поделиться Опубликовано 13 февраля, 2017 3.7 с пломбойИ??? Ссылка на комментарий
Wolfenstein Опубликовано 14 февраля, 2017 Автор Поделиться Опубликовано 14 февраля, 2017 что с ним? Ссылка на комментарий
red_butler Опубликовано 14 февраля, 2017 Поделиться Опубликовано 14 февраля, 2017 что с ним?Да что же из вас жалобы клещами вытягивать приходится...с зубом - периодонтит, требуется повторное эндо лечение и последующее протезирование. Ссылка на комментарий
Wolfenstein Опубликовано 14 февраля, 2017 Автор Поделиться Опубликовано 14 февраля, 2017 Мне сказали, зуб с кистой и требуется удаление, но зуб вроде хороший, и хочется сохранить, думаю возможно ли это? Ссылка на комментарий
Паращук Роман Опубликовано 14 февраля, 2017 Поделиться Опубликовано 14 февраля, 2017 Найдите врача,что понимает толк в "лечении каналов" и с большей вероятностью вас ждет успех. Ссылка на комментарий
red_butler Опубликовано 14 февраля, 2017 Поделиться Опубликовано 14 февраля, 2017 Мне сказали, зуб с кистой и требуется удаление, но зуб вроде хороший, и хочется сохранить, думаю возможно ли это? Удалить успеете, ищите врача и перелечивайте. Ссылка на комментарий
Wolfenstein Опубликовано 14 февраля, 2017 Автор Поделиться Опубликовано 14 февраля, 2017 спасибо Ссылка на комментарий
Doc Опубликовано 15 февраля, 2017 Поделиться Опубликовано 15 февраля, 2017 Тяжелый был случай. Я думал, что ТС никогда не расколется. ))Вытянули клещами жалобы. 5 Ссылка на комментарий
Wolfenstein Опубликовано 16 февраля, 2017 Автор Поделиться Опубликовано 16 февраля, 2017 хотел получить комментарии по всем зубкам) но в итоге конкретика победила. Ссылка на комментарий
DmitrySH Опубликовано 16 февраля, 2017 Поделиться Опубликовано 16 февраля, 2017 Ну и 24 кариес лечить, 25 ревизия каналов, 26 непонятно что с ним Ссылка на комментарий
Wolfenstein Опубликовано 28 февраля, 2017 Автор Поделиться Опубликовано 28 февраля, 2017 спасибо! Ссылка на комментарий
Wolfenstein Опубликовано 28 февраля, 2017 Автор Поделиться Опубликовано 28 февраля, 2017 26 - удалил, это вкладка, 27 - нормальный , 28 - нет, он спрятался за деснами, там пусто Ссылка на комментарий
Рекомендуемые сообщения
Для публикации сообщений создайте учётную запись или авторизуйтесь
Вы должны быть пользователем, чтобы оставить комментарий
Создать аккаунт
Зарегистрируйте новый аккаунт в нашем сообществе. Это очень просто!
Регистрация нового пользователяВойти
Уже есть аккаунт? Войти в систему.
Войти