Перейти к содержанию
Стоматология для всех

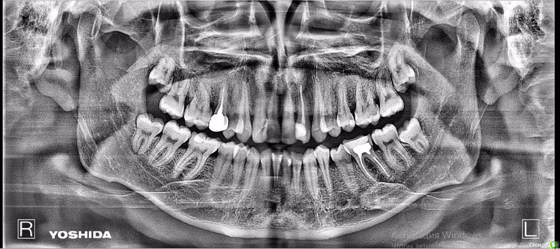
Состояние костной ткани, пародонтит средней степени?


МаксимНК

Рекомендуемые сообщения

Добрый день!
Скажите пожалуйста, при таком состоянии костной ткани/десны возможно лечение с БС?
И какой план лечения/подготовки к брекетам подскажите?

post-50607-0-80094500-1486560424_thumb.jpg

Изменено пользователем МаксимНК
Ссылка на комментарий

Если у Вас есть парадонтит, то его нужно пролечить. Желательно хирургическим путём.

 

Признаки парадонтита есть на снимке, но диагноз можно поставить и назначить соответствующее лечение можно только после осмотра полости рта.

 

Ортодонтическое лечение однозначно можно начинать только после полной санации. В том числе и парадонтологической.

  • Поддерживаю 2
Ссылка на комментарий

Для публикации сообщений создайте учётную запись или авторизуйтесь

Вы должны быть пользователем, чтобы оставить комментарий

Создать аккаунт

Зарегистрируйте новый аккаунт в нашем сообществе. Это очень просто!

Регистрация нового пользователя

Войти

Уже есть аккаунт? Войти в систему.

Войти
×
×
  • Создать...
Вверх