Популярный пост kamranchick Опубликовано 7 февраля, 2017 Популярный пост Поделиться Опубликовано 7 февраля, 2017 21 Ссылка на комментарий
Aquarius Опубликовано 7 февраля, 2017 Поделиться Опубликовано 7 февраля, 2017 без кости? только мясо? Ссылка на комментарий
kamranchick Опубликовано 7 февраля, 2017 Автор Поделиться Опубликовано 7 февраля, 2017 без кости? только мясо?Ага Ссылка на комментарий
karasov Опубликовано 7 февраля, 2017 Поделиться Опубликовано 7 февраля, 2017 osstem esset kit? можно ли обойтись лишь одним диском из набора,а расширять самим имплантом по часовой - против часовой-по часовой....и тд? Ссылка на комментарий
kamranchick Опубликовано 7 февраля, 2017 Автор Поделиться Опубликовано 7 февраля, 2017 osstem esset kit? можно ли обойтись лишь одним диском из набора,а расширять самим имплантом по часовой - против часовой-по часовой....и тд?Нет, набор От Миса, пока вы вкручиваете-выкручиваете, пациент то языком дотронется имплантата то еще что то, лучше все подготовить и закрутиться и вы не сможете расширить имплантатом, он либо в ложе не войдет, ли торк будет сразу же очень высокий что в итоге сломает вестибулярку Ссылка на комментарий
dentikl Опубликовано 7 февраля, 2017 Поделиться Опубликовано 7 февраля, 2017 А что и какой размер ставили?Послабляющий распил не делали? Ссылка на комментарий
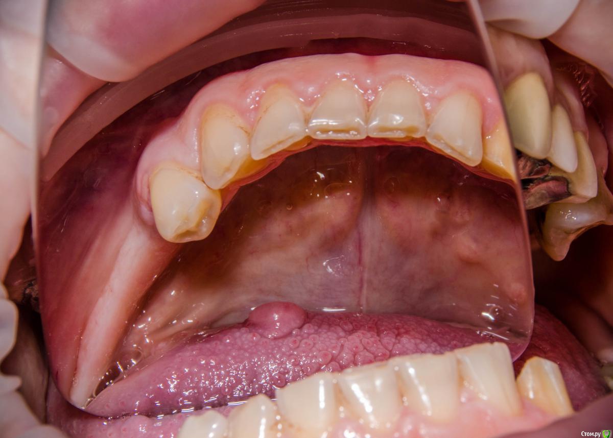
red_butler Опубликовано 7 февраля, 2017 Поделиться Опубликовано 7 февраля, 2017 когда до языка доберетесь? 1 Ссылка на комментарий
Astronaft Опубликовано 8 февраля, 2017 Поделиться Опубликовано 8 февраля, 2017 когда до языка доберетесь?Хороший вопрос. Как фибромы языка вырезать: по кругу ? И как потом заживает? Ссылка на комментарий
kamranchick Опубликовано 8 февраля, 2017 Автор Поделиться Опубликовано 8 февраля, 2017 когда до языка доберетесь?у нее 8 лет уже такая штучка, не растет и не мешает. а так, я думаю либо получать доступ как в Фрагискосе написано, либо коагулятором Ссылка на комментарий
kamranchick Опубликовано 8 февраля, 2017 Автор Поделиться Опубликовано 8 февраля, 2017 А что и какой размер ставили?Послабляющий распил не делали?я тут не делал распилы, тут нет расщепления3,5-8,5 Ссылка на комментарий
4ebstom Опубликовано 8 февраля, 2017 Поделиться Опубликовано 8 февраля, 2017 Спасибо за публикацию.Какова ширина гребня? Ссылка на комментарий
kamranchick Опубликовано 8 февраля, 2017 Автор Поделиться Опубликовано 8 февраля, 2017 Спасибо за публикацию.Какова ширина гребня?5мм сверху в области кристального модуля имплантата дальше около 7мм) Ссылка на комментарий
surf Опубликовано 8 февраля, 2017 Поделиться Опубликовано 8 февраля, 2017 Все же, думаю,карлосс бы здесь расщеплял и добавлял)Десна хорошо получилась Ссылка на комментарий
Bier Опубликовано 8 февраля, 2017 Поделиться Опубликовано 8 февраля, 2017 Он перестал расщеплять в последние годы в таких случаях. 2 Ссылка на комментарий
Рекомендуемые сообщения
Для публикации сообщений создайте учётную запись или авторизуйтесь
Вы должны быть пользователем, чтобы оставить комментарий
Создать аккаунт
Зарегистрируйте новый аккаунт в нашем сообществе. Это очень просто!
Регистрация нового пользователяВойти
Уже есть аккаунт? Войти в систему.
Войти