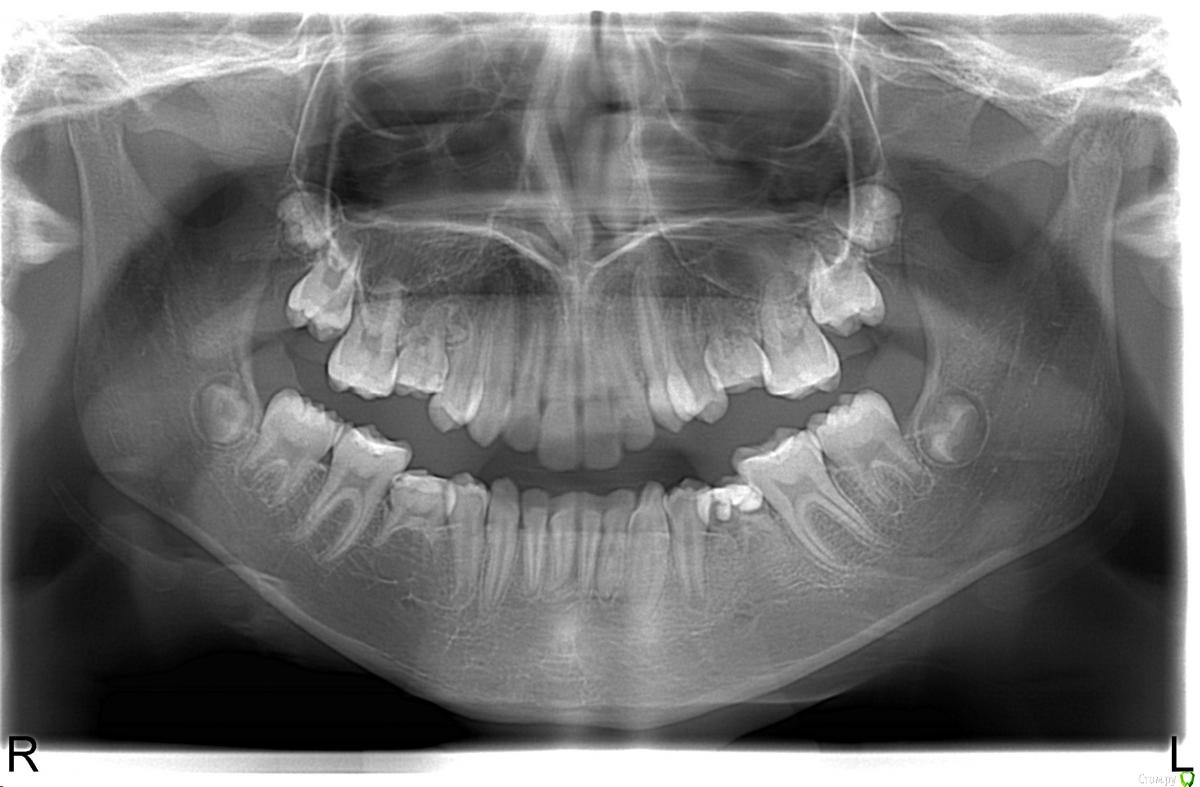
Cemenoff Опубликовано 6 февраля, 2017 Поделиться Опубликовано 6 февраля, 2017 Добрый день, Ребенок , девочка 10 лет, адекватная и мама и дочь. как поступить в данной ситуации?удалить молочные? (75 удален) или пусть держат место для роста челюсти?и получится ли в 13-14(может раньше?) лет подвинуть моляры медиально для закрытия промежутков.Как бы вы лечили ? Ссылка на комментарий
Доктор Добрых Дел Опубликовано 6 февраля, 2017 Поделиться Опубликовано 6 февраля, 2017 Сохранять до последнего. В будущем при удалении решать ортодонтически закрывать промежутки или имплантацию проводить. Есть несколько пациентов (женщины) у которых такая же история с отсутствием постоянных пятерок. Всем в районе 30 лет. Молочные начали разваливаться удалили и поставили имплантаты. Кости много условия отличные. (Единственный нюанс это то, что молочный больше по размеру чем постоянный) Ссылка на комментарий
Cemenoff Опубликовано 6 февраля, 2017 Автор Поделиться Опубликовано 6 февраля, 2017 Спасибо. а в области 55 просто наблюдать? Может какой то активатор назначить для сохранения места в обл. 75, или распорку с кольцом на 26(может косметичку из нейлона) сделать, первый раз столкнулся Ссылка на комментарий
Yana guapa Опубликовано 6 февраля, 2017 Поделиться Опубликовано 6 февраля, 2017 (изменено) Спасибо. а в области 55 просто наблюдать? Может какой то активатор назначить для сохранения места в обл. 75, или распорку с кольцом на 26(может косметичку из нейлона) сделать, первый раз столкнулсяДоктор из ЧеМябинска , а Вы ортодонт? Вы сами хотите вести? для ясности картины)))) потому что если нет - то лучше пошлите к коллеге. Если сами планируете вести, то взвесьте все плюсы и минусы двух разных подходов в лечении (с удалением молочных пятерок и закрытием места или сохранением пятерок и последующим протезированием) Какой подход выберете Вы - зависит от многих факторов (и во что верите, и какой размер зубов, их положение, их гармоничность ... и тд, какими техника владеет врач... платежеспосбность пациента в целом и особенно в будущем(!) ) Мое личное мнение - сохранять пятерки и готовить под протезирование. По крайней мере не было у меня еще таких детей которым захотелось бы удалить и закрывать промежутки. если 7.5 удалили и остальные зубы будете сохранять, конечно берегите место тогда! каким способом выбирать вам (у съемного и несъемного свои + и -) заговорили про нейлон - а с чего вдруг нейлон в детской стоматологии? чем вам обычная пластмасса не нравится? и какая" косметичка"?? у детей мы сохраняем функцию (поэтому даже простонаречные термины не совсем уместны и не актуальны) Было бы хорошо, если бы кейс был выложен полностью, чтобы выбрать конструкцию (потому что если есть проблемы с прикусом, то можно сразу двух зайцев - и протезирование и лечение прикуса) Изменено 6 февраля, 2017 пользователем Yana guapa Ссылка на комментарий
Opdihatop Опубликовано 6 февраля, 2017 Поделиться Опубликовано 6 февраля, 2017 а Вы ортодонт? Любите вы об этом спрашивать. Ссылка на комментарий
Cemenoff Опубликовано 7 февраля, 2017 Автор Поделиться Опубликовано 7 февраля, 2017 Всем спасибо. еще раз убедился, что выбрал правильное лечение. --сохранять и наблюдать. 1 Ссылка на комментарий
Yana guapa Опубликовано 7 февраля, 2017 Поделиться Опубликовано 7 февраля, 2017 Любите вы об этом спрашивать. мне кажется было бы удобнее, если коллеги в графе специальность указывали об этом))) или они стесняются?))))) Ведь если человек не ортодонт , но хочет помочь пациенту , ему нужно объяснять одним языком и терминами, а если ортодонт, но сомневается в плане лечения - то там другой разговор))) я люблю конкретику)))))) Ссылка на комментарий
Рекомендуемые сообщения
Для публикации сообщений создайте учётную запись или авторизуйтесь
Вы должны быть пользователем, чтобы оставить комментарий
Создать аккаунт
Зарегистрируйте новый аккаунт в нашем сообществе. Это очень просто!
Регистрация нового пользователяВойти
Уже есть аккаунт? Войти в систему.
Войти