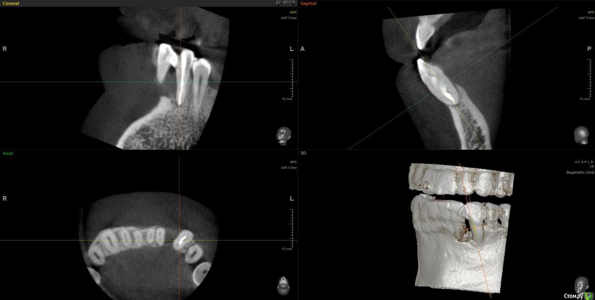
wladdX Опубликовано 3 февраля, 2017 Поделиться Опубликовано 3 февраля, 2017 Пациент 37 лет. 2,5 года назад в другом лечебном учреждении оперировали, по представленной ксерокопии карты, пародонтальную кисту. Прежних Rg-грамм нет.Сейчас следующая картина: Зубы 32 и 33 удаляем, а как далее правильно поступить?Каким способом лучше возместить дефект кости? Ваше мнение, коллеги? Ссылка на комментарий
колесников Опубликовано 3 февраля, 2017 Поделиться Опубликовано 3 февраля, 2017 смотря какая временная конструкция будет. на сколько высоки эстетические требования пациента.можно удалить 32,консервация лунки.33 коронка-консоль ,сст вестибулярно у 33.можно этим ограничится,либо сделать паузу месяца на 2 ,удалить 33, имплант с нагрузкой и консоль на 32,сст в обл 32. Ссылка на комментарий
wladdX Опубликовано 6 февраля, 2017 Автор Поделиться Опубликовано 6 февраля, 2017 Боюсь, что ничего из предложенного выше не выйдет. Вестибулярная и язычная стенки альвеол отсутствуют почти полностью. Зубы подвижны, почти постоянное гноетечение из карманов. Ссылка на комментарий
Доктор Добрых Дел Опубликовано 6 февраля, 2017 Поделиться Опубликовано 6 февраля, 2017 Сетка или цитопласт. Главное чтоб костные пики были медиально и дистально. Предварительно основательно пролечить парадонтит Ссылка на комментарий
Д-р Доктор Опубликовано 6 февраля, 2017 Поделиться Опубликовано 6 февраля, 2017 Ксено и аутографт 50\50, цитопласт, перекрыть сст. Ссылка на комментарий
wladdX Опубликовано 6 февраля, 2017 Автор Поделиться Опубликовано 6 февраля, 2017 (изменено) Тоже склоняюсь либо к сетке либо к "sausage".Плохо, что есть гноетечение, из-за этого опасаюсь делать сразу после удаления. Изменено 6 февраля, 2017 пользователем wladdX Ссылка на комментарий
Bier Опубликовано 6 февраля, 2017 Поделиться Опубликовано 6 февраля, 2017 не делайте сразу ) 4 Ссылка на комментарий
bullbull Опубликовано 7 февраля, 2017 Поделиться Опубликовано 7 февраля, 2017 Кто торгует цитопластом? В личку, пожалуйста. Ссылка на комментарий
wladdX Опубликовано 7 февраля, 2017 Автор Поделиться Опубликовано 7 февраля, 2017 Как думаете, сколько подождать после удаления? 4 недели достаточно? Ссылка на комментарий
Bier Опубликовано 7 февраля, 2017 Поделиться Опубликовано 7 февраля, 2017 Как думаете, сколько подождать после удаления? 4 недели достаточно?Если сст в лунку засунуть, то 4 недели. Если ничего, то 6-7 Ссылка на комментарий
wladdX Опубликовано 7 февраля, 2017 Автор Поделиться Опубликовано 7 февраля, 2017 Спасибо) Ссылка на комментарий
Доктор Добрых Дел Опубликовано 7 февраля, 2017 Поделиться Опубликовано 7 февраля, 2017 Если сст в лунку засунуть, то 4 недели. Если ничего, то 6-7Олег, а что произойдёт через 4 недели с сст в лунке? Имеете ввиду всю лунку им заполнить? В чем преимущество в такой ситуации засунуть туда сст помимо того что десны может стать больше? Ссылка на комментарий
Bier Опубликовано 7 февраля, 2017 Поделиться Опубликовано 7 февраля, 2017 Предотвратит от коллапса, он приживет и лунка заживет быстрееТолько надо жирненький брать, как у меня на видео, а не с бугра. Ссылка на комментарий
kamranchick Опубликовано 7 февраля, 2017 Поделиться Опубликовано 7 февраля, 2017 Всегда страшно через 1,5-2 месяца ставить имплантат в лунку, вкручиваешь в какую то кашу, но спустя 4 месяца чудненько все. Ссылка на комментарий
Рекомендуемые сообщения
Для публикации сообщений создайте учётную запись или авторизуйтесь
Вы должны быть пользователем, чтобы оставить комментарий
Создать аккаунт
Зарегистрируйте новый аккаунт в нашем сообществе. Это очень просто!
Регистрация нового пользователяВойти
Уже есть аккаунт? Войти в систему.
Войти