1979ната Опубликовано 3 февраля, 2017 Поделиться Опубликовано 3 февраля, 2017 (изменено) После имплантации прошло две недели, боль не совсем прошла. Болят три зуба возле импланта - боль ноющая. При постукивании по зубу врачом - острая. Врач предлагает депульпировать нерв. Посмотрите - действительно это необходимо. Изменено 3 февраля, 2017 пользователем 1979ната Ссылка на комментарий
Bier Опубликовано 3 февраля, 2017 Поделиться Опубликовано 3 февраля, 2017 спасибо что потренировали нам шею. я бы предложил удалить ближний имплантат и подождать немного, если боли не пройдут, тогда только депульпировать. Имплантат переустановить. 1 Ссылка на комментарий
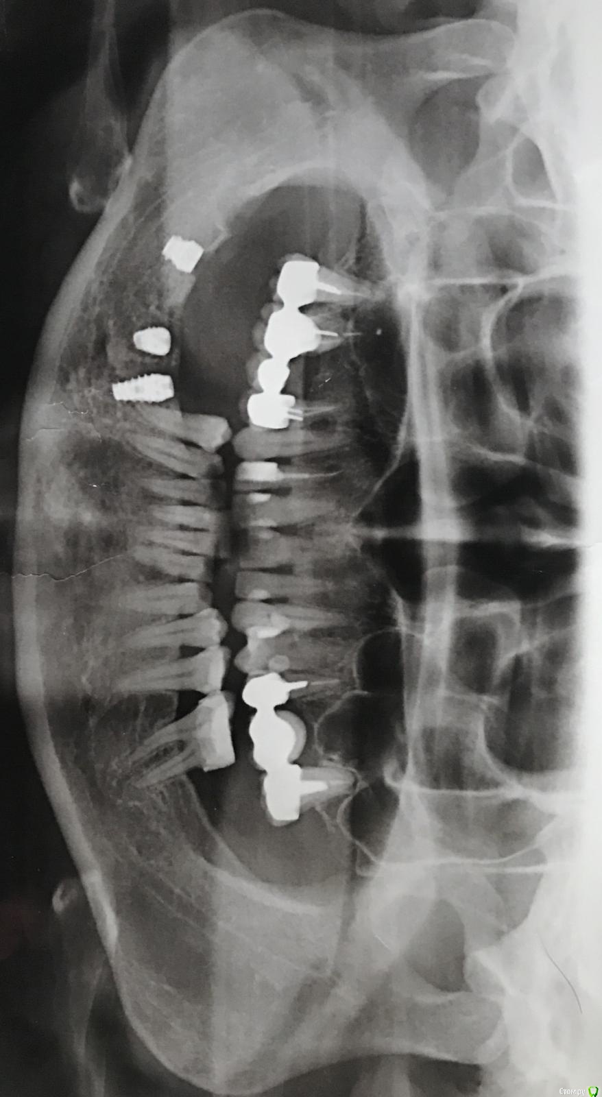
dok1 Опубликовано 3 февраля, 2017 Поделиться Опубликовано 3 февраля, 2017 По снимку похоже на контакт импланта с корнем. И, возможно, с нижнечелюстным нервом. Нужно сделать томограмму и выложить срезы этой области. Но вероятность причины в контакте корня и импланта достаточно большая. Ссылка на комментарий
red_butler Опубликовано 3 февраля, 2017 Поделиться Опубликовано 3 февраля, 2017 +1 убрать для начала первый имплант Ссылка на комментарий
1979ната Опубликовано 3 февраля, 2017 Автор Поделиться Опубликовано 3 февраля, 2017 Спасибо за ответ. Мой врач считает что с имплантом все в порядке нужна только депульпация - получается что это не поможет. Ссылка на комментарий
Bier Опубликовано 3 февраля, 2017 Поделиться Опубликовано 3 февраля, 2017 нет, депульпировать здоровый зуб не нужно. Ссылка на комментарий
1979ната Опубликовано 4 февраля, 2017 Автор Поделиться Опубликовано 4 февраля, 2017 А другие имплантанты на Ваш взгляд нормально установлены? Как вы вообще оцениваете данную работу? Ссылка на комментарий
dok1 Опубликовано 4 февраля, 2017 Поделиться Опубликовано 4 февраля, 2017 Другие можно было подлиннее попробовать поставить. Но истинную картину покажут только срезы КТ. Ссылка на комментарий
DrNice Опубликовано 6 февраля, 2017 Поделиться Опубликовано 6 февраля, 2017 Согласен с коллегами. Имплант на выход, зуб наблюдаем. Ссылка на комментарий
1979ната Опубликовано 13 февраля, 2017 Автор Поделиться Опубликовано 13 февраля, 2017 Сделала томограмму посмотрите пожалуйста. Показала своему врачу он утверждает что все супер. Зуб продолжает болеть. Ссылка на комментарий
dok1 Опубликовано 13 февраля, 2017 Поделиться Опубликовано 13 февраля, 2017 Выложите скрин этого места томограммы. Всю ненадо. Ссылка на комментарий
1979ната Опубликовано 13 февраля, 2017 Автор Поделиться Опубликовано 13 февраля, 2017 Не могу прикрепить КТ Ссылка на комментарий
DrNice Опубликовано 13 февраля, 2017 Поделиться Опубликовано 13 февраля, 2017 Прикрепите интересующие нас срезы, не надо выкладывать все КТ. Ссылка на комментарий
Рекомендуемые сообщения
Для публикации сообщений создайте учётную запись или авторизуйтесь
Вы должны быть пользователем, чтобы оставить комментарий
Создать аккаунт
Зарегистрируйте новый аккаунт в нашем сообществе. Это очень просто!
Регистрация нового пользователяВойти
Уже есть аккаунт? Войти в систему.
Войти