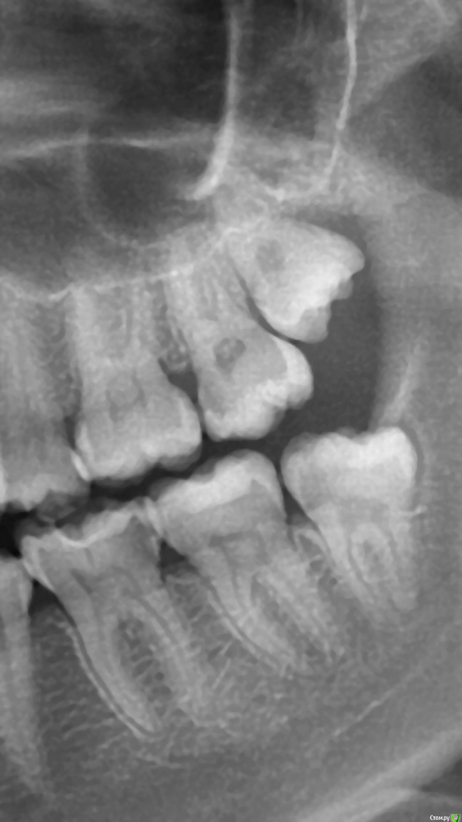
Malalejandra Опубликовано 1 февраля, 2017 Поделиться Опубликовано 1 февраля, 2017 (изменено) Добрый день!В последние несколько лет при чистке зубной нитью пространства между 6 и 7 верхними левыми зубами есть неприятное ощущение, как будто нить задевает нерв. Вечером начинает ныть, успокаивается, когда прочистишь нитью и прополощешь. Есть карманы с обеих сторон от 6ки. Два раза ходила к стоматологам,оба раза делали снимок, но ничего не нашли. Скажите пожалуйста, есть ли проксимальный кариес на снимке? Спасибо заранее! Изменено 1 февраля, 2017 пользователем Malalejandra Ссылка на комментарий
red_butler Опубликовано 1 февраля, 2017 Поделиться Опубликовано 1 февраля, 2017 Скажите пожалуйста, есть ли проксимальный кариес на снимке? а где снимок? Ссылка на комментарий
Malalejandra Опубликовано 1 февраля, 2017 Автор Поделиться Опубликовано 1 февраля, 2017 Еще один снимок, прицельный, сделан сегодня. Ссылка на комментарий
Malalejandra Опубликовано 1 февраля, 2017 Автор Поделиться Опубликовано 1 февраля, 2017 (изменено) а где снимок? теперь все есть. В первом сообщении - часть снимка панорамного, сделан ~3 года назад. Во втором - сегодняшний Изменено 1 февраля, 2017 пользователем Malalejandra Ссылка на комментарий
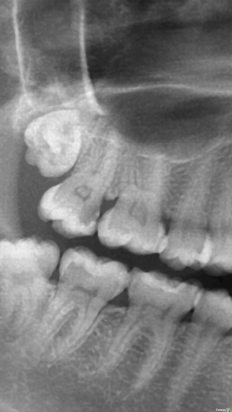
red_butler Опубликовано 1 февраля, 2017 Поделиться Опубликовано 1 февраля, 2017 похоже что на седьмом кариес, лечите Ссылка на комментарий
Malalejandra Опубликовано 1 февраля, 2017 Автор Поделиться Опубликовано 1 февраля, 2017 Спасибо, но, похоже, я немного сглупила, и сделала скриншот правой стороны панорамного снимка. Вот оба снимка, оба левые. Ссылка на комментарий
shishok Опубликовано 1 февраля, 2017 Поделиться Опубликовано 1 февраля, 2017 Я бы еще проверила нижние 6 и 8(6-лечить,8-проще удалить).На верхнем 7 кариес(как уже раньше сказали). Ссылка на комментарий
Malalejandra Опубликовано 1 февраля, 2017 Автор Поделиться Опубликовано 1 февраля, 2017 Я бы еще проверила нижние 6 и 8(6-лечить,8-проще удалить).На верхнем 7 кариес(как уже раньше сказали).Спасибо, 6ку уже вылечила. а 8ку удалить можно, если еще не до конца прорезались? Ссылка на комментарий
Ирина Игоревна Опубликовано 2 февраля, 2017 Поделиться Опубликовано 2 февраля, 2017 Спасибо, 6ку уже вылечила. а 8ку удалить можно, если еще не до конца прорезались?Можно Ссылка на комментарий
Рекомендуемые сообщения
Для публикации сообщений создайте учётную запись или авторизуйтесь
Вы должны быть пользователем, чтобы оставить комментарий
Создать аккаунт
Зарегистрируйте новый аккаунт в нашем сообществе. Это очень просто!
Регистрация нового пользователяВойти
Уже есть аккаунт? Войти в систему.
Войти