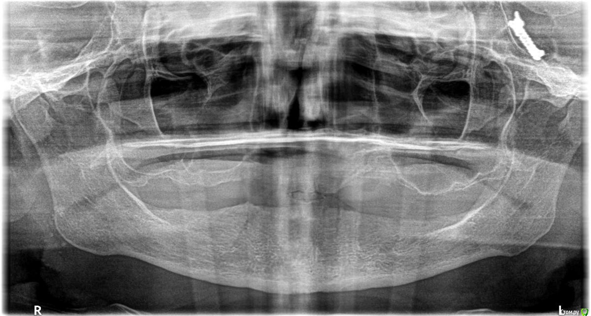
tigrosha86 Опубликовано 1 февраля, 2017 Поделиться Опубликовано 1 февраля, 2017 Здравствуйте!Моя мама длительно жалуется на дискомфорт в левой части лица, говорит что такое чувство что что-то мешает, есть не удобно.Неоднократно обращались в институт стоматологии, но там даже ни разу не направили на рентген.Короче, мне все это надоело, т.к. проблема есть - решения нет, а мама хочет себе протезы сделать, но сильно сомневается, что протезы исправят эту ситуацию. И я организовала ей в частной клинике панорамный рентген. Результат меня ошеломил, только я не знаю, что ЭТО. Смотреть слева - обозначена буквой L.Спасибо. Ссылка на комментарий
red_butler Опубликовано 1 февраля, 2017 Поделиться Опубликовано 1 февраля, 2017 Результат меня ошеломил, только я не знаю, что ЭТО похоже заколку с волос не сняли Ссылка на комментарий
tigrosha86 Опубликовано 1 февраля, 2017 Автор Поделиться Опубликовано 1 февраля, 2017 похоже заколку с волос не сняли Да нет, у мамы короткая стрижка.Это какой то инородный предмет Ссылка на комментарий
DmitrySH Опубликовано 1 февраля, 2017 Поделиться Опубликовано 1 февраля, 2017 Тогда сделайте КТ, будет понятнее. Ссылка на комментарий
tigrosha86 Опубликовано 1 февраля, 2017 Автор Поделиться Опубликовано 1 февраля, 2017 Тогда сделайте КТ, будет понятнее. Меня интересует что это за область, и является ли этот предмет инородным? И как он мог туда попасть?Ну и собственно, что делать? Ссылка на комментарий
Большой Зеленый Опубликовано 1 февраля, 2017 Поделиться Опубликовано 1 февраля, 2017 http://nkcollection.narod.ru/images/aligator.jpg 1 Ссылка на комментарий
tigrosha86 Опубликовано 1 февраля, 2017 Автор Поделиться Опубликовано 1 февраля, 2017 http://nkcollection.narod.ru/images/aligator.jpgПохоже... И как удалять? Ссылка на комментарий
red_butler Опубликовано 1 февраля, 2017 Поделиться Опубликовано 1 февраля, 2017 Похоже... И как удалять? вы серьезно? 1 Ссылка на комментарий
tigrosha86 Опубликовано 1 февраля, 2017 Автор Поделиться Опубликовано 1 февраля, 2017 вы серьезно? Да, я серьезно. Вы не сталкивались с нашими докторами. Латвия, слышали про такое место на планете? Ссылка на комментарий
Большой Зеленый Опубликовано 1 февраля, 2017 Поделиться Опубликовано 1 февраля, 2017 Да, я серьезно. Вы не сталкивались с нашими докторами. Латвия, слышали про такое место на планете? Это заколка для волос "крокодильчик" .Удаляется путем нажимания на короткий рычажок.. 2 Ссылка на комментарий
tigrosha86 Опубликовано 1 февраля, 2017 Автор Поделиться Опубликовано 1 февраля, 2017 Это заколка для волос "крокодильчик" .Удаляется путем нажимания на короткий рычажок.. Я смотрю, здесь не врачи, а остряки...Повторяю: нету у мамы ни таких заколок, ни каких либо других. Ссылка на комментарий
red_butler Опубликовано 1 февраля, 2017 Поделиться Опубликовано 1 февраля, 2017 Я смотрю, здесь не врачи, а остряки...Повторяю: нету у мамы ни таких заколок, ни каких либо других. Сделайте новый снимок. Ссылка на комментарий
St. Опубликовано 1 февраля, 2017 Поделиться Опубликовано 1 февраля, 2017 Сделайте новый снимок.+1. Причем обязательно проверьте чтоб не было ничего металлического в области головы и шеи ( заколки, сережки, очки , цепочки, булавки и т.п.)И сравните оба снимка. Ссылка на комментарий
dok1 Опубликовано 2 февраля, 2017 Поделиться Опубликовано 2 февраля, 2017 Томограмму лучше сразу делайте. 1 Ссылка на комментарий
Рекомендуемые сообщения
Для публикации сообщений создайте учётную запись или авторизуйтесь
Вы должны быть пользователем, чтобы оставить комментарий
Создать аккаунт
Зарегистрируйте новый аккаунт в нашем сообществе. Это очень просто!
Регистрация нового пользователяВойти
Уже есть аккаунт? Войти в систему.
Войти